Les caries dentaires: causes et traitements
Dernière mise à jour le 17/06/2023
Que sont les caries dentaires ?
Les caries dentaires sont des cavités qui se forment dans vos dents. Elles commencent par être petites et deviennent progressivement plus grandes lorsqu’elles ne sont pas traitées. Comme de nombreuses caries dentaires ne provoquent pas de douleur au début, il peut être difficile de se rendre compte qu’un problème existe. Des visites régulières chez le dentiste permettent de détecter rapidement une carie dentaire.
Les caries dentaires font partie des problèmes de santé les plus fréquents dans le monde. Toute personne ayant des dents peut développer des caries, y compris les bébés (carie du biberon).
Découvrir que vous avez une carie peut être une surprise. C’est particulièrement vrai si vous pensez avoir une bonne hygiène bucco-dentaire. Cependant, même si votre dentiste vous annonce cette nouvelle, il existe des moyens de traiter une carie et d’empêcher la formation de nouvelles caries.
Symptômes de la carie dentaire
Les symptômes d’une carie dépendent de la gravité de la carie. Ils comprennent :
– la sensibilité des dents,
– la douleur dentaire,
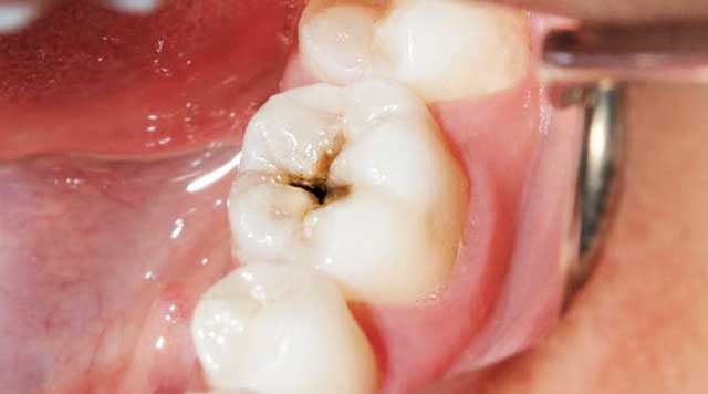
– un trou visible dans les dents,
– des taches brunes, noires ou blanches sur les dents.
Les causes des caries dentaires
Les caries dentaires sont causées par la plaque dentaire, une substance collante qui se lie aux dents. La plaque dentaire est une combinaison de :
– bactéries,
– salive,
– acide,
– particules alimentaires.
Tout le monde a des bactéries dans la bouche. Après avoir mangé ou bu des aliments contenant du sucre, les bactéries dans la bouche transforment le sucre en acide. La plaque dentaire commence à se former sur vos dents peu après avoir mangé ou bu quelque chose de sucré. C’est pourquoi il est important de se brosser les dents régulièrement.
La plaque se colle à vos dents et l’acide qu’elle contient peut éroder lentement l’émail des dents. L’émail est une couche dure et protectrice sur vos dents qui protège contre la carie dentaire. Plus l’émail de vos dents s’affaiblit, plus le risque de carie augmente.
Toute personne est exposée au risque de carie, mais certaines personnes courent un risque plus élevé. Les facteurs de risque sont les suivants :
– trop d’aliments et de boissons sucrés ou acides,
– une mauvaise hygiène bucco-dentaire, comme le fait de ne pas se brosser les dents ou de ne pas utiliser le fil dentaire tous les jours,
– ne pas avoir assez de fluor,
– la bouche sèche,
– les troubles alimentaires, tels que l’anorexie et la boulimie,
– le reflux acide, qui peut entraîner une usure de l’émail des dents par l’acide gastrique.
Les caries se développent plus souvent au niveau des dents arrière. Ces dents ont des rainures et des ouvertures qui peuvent emprisonner des particules de nourriture. En outre, ces dents sont parfois plus difficiles à atteindre lors du brossage et de l’utilisation du fil dentaire.
Options de traitement des caries dentaires
Parlez à votre dentiste des symptômes désagréables que vous ressentez comme la sensibilité des dents ou la douleur. Il peut identifier la carie dentaire après un examen buccal. Cependant, certaines caries ne sont pas visibles lors d’un examen buccal. Votre dentiste peut alors utiliser une radiographie dentaire pour débusquer une carie.
Les options de traitement dépendent de la gravité de la carie. Il existe plusieurs façons de traiter une carie :
Remplissage des dents
Un dentiste utilise une perceuse et enlève la matière cariée d’une dent. Il remplit ensuite la dent d’une substance, telle que de l’argent, de l’or ou de la résine composite.
Couronnes
En cas de carie plus grave, votre dentiste peut placer un capuchon sur mesure sur votre dent pour remplacer sa couronne naturelle. Votre dentiste enlèvera le matériau de la dent cariée avant de commencer cette procédure.
Traitement de canal
Lorsque la carie dentaire entraîne la mort de vos nerfs, votre dentiste vous fera un traitement de canal pour sauver votre dent. Il enlève le tissu nerveux, les tissus des vaisseaux sanguins et toute zone cariée de votre dent. Il vérifie ensuite s’il y a des infections et applique des médicaments sur les racines, si nécessaire. Enfin, il comble la dent et peut même y placer une couronne.
Traitement précoce
Si votre dentiste détecte une carie dentaire à un stade précoce, un traitement au fluorure peut restaurer l’émail de vos dents et prévenir d’autres caries.
Faire face à la douleur
Les caries dentaires peuvent être la cause de beaucoup de douleurs et d’inconfort. Vous voudrez peut-être trouver des moyens d’apaiser l’irritation pendant que vous attendez votre rendez-vous chez le dentiste. Il y a plusieurs choses que vous pouvez faire pour gérer l’inconfort temporairement :
– Continuez à brosser et à nettoyer toutes les parties de votre bouche, y compris les zones sensibles,
– Essayez les analgésiques en vente libre et demandez à votre dentiste ou votre médecin si vous pouvez utiliser des anesthésiques en vente libre,
– Faites attention à ce que vous mangez : évitez les aliments extrêmement chauds ou froids ou sucrés lorsque vous mangez ou buvez.
Complications dues aux caries dentaires
Une carie dentaire peut entraîner toute une série de complications si elle n’est pas traitée à temps. Parmi celles-ci, on peut citer :
– une douleur dentaire permanente,
– un abcès dentaire, qui peut s’infecter et déclencher des complications mortelles, comme une infection qui pénètre dans le sang ou une septicémie,
– le développement de pus autour de la dent infectée,
– un risque accru de casser ou d’ébrécher une dent
– difficulté à mastiquer les aliments.
Vous pouvez causer des dommages à votre dent qui ne peuvent être réparés si vous remettez à plus tard votre visite chez le dentiste. À ce stade, la seule façon de réparer la carie est que votre dentiste retire la dent et la remplace par un implant ou un bridge.
Prévention de la carie dentaire
Les caries dentaires sont un problème dentaire courant, mais vous pouvez réduire votre risque en prenant les mesures suivantes :
– Brossez-vous les dents au moins deux fois par jour avec un dentifrice fluoré.
– Utilisez du fil dentaire au moins une fois par jour,
– Mangez moins d’aliments sucrés et acides, comme les sucreries, les bonbons, les jus, les sodas et les glucides raffinés,
– Limitez les grignotages entre les repas,
– Envisagez de vous faire poser des scellants dentaires sur vos dents.
Les aliments suivants peuvent aider à lutter contre la carie dentaire :
– les fruits et légumes riches en fibres,
– aliments riches en calcium,
– Chewing-gum à mâcher sans sucre au xylitol,
– thé noir ou vert non sucré,
– l’eau avec du fluorure.


