H. MOUSSAOUI*, M. NACIRI*, Kh. AMINE**, A. ANDOH*.
* Service de prothèse conjointe
** Service de Parodontologie
Faculté de médecine dentaire de Casablanca
RÉSUMÉ
Dans les cas d’édentements antérieurs, la technique d’extraction, implantation et temporisation immédiate est fortement indiquée d’une part pour ses avantages esthétiques et biologiques et d’autre part pour sa rapidité en termes de délai de réalisation et d’attente.
De nombreuses publications et études ont validé ce protocole particulier, qui doit être conduit en prenant un certain nombre de précautions.
Dans cet article, sera décrit le protocole d’extraction, implantation et temporisation immédiate. Nous citerons ses différentes indications cliniques, avantages et inconvénients et conditions de réussite, puis nous illustrerons notre propos par un cas clinique réalisé au CCTD de Casablanca.
Mots clés : extraction-implantation-temporisation immédiate, conditions de réussite, protocole.
INTRODUCTION
Dans le secteur antérieur, l’adoption d’un protocole implantaire classique peut déboucher sur un résultat fonctionnel et esthétique satisfaisant. Toutefois, ce type de protocole est caractérisé par une durée de traitement très longue pour le patient et par des problèmes thérapeutiques difficiles à solutionner pour le praticien, notamment dans l’obtention d’une bonne topographie des tissus mous et dans la gestion de la prothèse provisoire (1).
Pour répondre à ces problèmes, la plupart des implantologistes s’orientent actuellement, notamment dans le cas d’édentement unitaire, vers le protocole d’extraction, implantation et temporisation immédiate, qui consiste à réaliser simultanément l’extraction, la mise en place immédiate de l’implant et la mise en place en situation prothétique de l’implant par la réalisation d’une prothèse provisoire non fonctionnelle, dans la même séance (1,2).
Paramètres à analyser avant traitement :
L’analyse de la situation avant un traitement par extraction implantation temporisation immédiate (EITI) revêt une importance capitale. 
De multiples paramètres ont une influence sur le résultat. Il est nécessaire de les analyser et de pondérer leur impact afin d’optimiser le traitement (3).
Il s’agit de paramètres :
• Généraux : techniques d’hygiène, personnalité, aspect intellectuel, tabac, ligne du sourire, courbure de l’arcade, demande esthétique, aptitude de l’opérateur et de son équipe…
• Médicaux : pathologie osseuse, déficit immunitaire, traitements corticoïdes, diabète non équilibré, irradiation….
• Parodontaux : parodontite agressive, antécédents de parodontite réfractaire, prédisposition génétique, perte osseuse proximale, hauteur de la papille, perte osseuse vestibulaire (fenestration, déhiscence, combinée), volume osseux apical à la racine, perte de muqueuse vestibulaire (récession) forme +/- festonnée……
• Occlusaux : bruxisme, supraclusion (classe 2 div2), pulsion linguale, habitude de succion.
Avantages de l'EITI : (3,4,5)
Le concept thérapeutique d’extraction, implantation et temporisation immédiate présente de nombreux avantages esthétiques, biologiques, pour le patient et pour le praticien, parmi lesquels:
• Le nombre d’interventions réduit et le confort du patient : Psychologiquement, pour le patient, tout est réalisé en une seule intervention chirurgicale.
• Le délai de traitement.
• Le mode de temporisation : L’encombrement plus réduit pour une couronne provisoire implantoportée que pour une prothèse amovible partielle est apprécié par le patient. 
• La préservation de l’architecture gingivale et osseuse.
• La combinaison de la cicatrisation osseuse péri-implantaire avec la mise en condition tissulaire de la muqueuse péri-implantaire.
• Le taux de succès : équivalent aux techniques conventionnelles.
• Le coût du traitement plus réduit.
Inconvénients de l'EITI :
Les inconvénients sont essentiellement liés :
• A la difficulté de la technique qui est opérateur dépendante nécessitant une bonne maîtrise du protocole.
• Au risque de récession gingivale surtout en présence de biotype parodontal fin. 
• Et parfois à la mauvaise stabilité primaire et/ou mauvais positionnement implantaire à cause de la morphologie alvéolaire : l’alvéole d’extraction influe le clinicien dans l’axe implantaire. Or l’implant n’a pas la même forme géométrique que la dent extraite ni l’axe idéal de l’alvéole d’extraction. Une seule erreur de placement de l’implant dans un des trois sens de l’espace compromet de façon définitive l’objectif esthétique du traitement (3,6,7).
Conditions de réussite d’un protocole d'EITI :
Pour aboutir à un résultat esthétique dans un site postextractionnel, il est nécessaire de réunir les conditions permettant de :
- préserver et sur-corriger le capital osseux consécutif à l’extraction, surtout celui de la table vestibulaire,
- préserver la géométrie des papilles et leur volume ainsi que le contour gingival préexistant,
- transformer le biotype pour maintenir un résultat esthétique au long cours (8).
La réunion des conditions optimales pour envisager ce type de protocole peut être résumée en quatre volets :
• Critères prothétiques :
L'EITI étant indiquée principalement pour le secteur antérieur, il convient de respecter le projet prothétique (4).
Le positionnement tridimensionnel de l’implant est un paramètre essentiel. Tout compromis dans ce positionnement aboutira à un résultat esthétique imparfait (9). Pour proposer l’avulsion implantation immédiate, il faut avoir un environnement osseux post-avulsionnel suffisant :
− dans le sens mésio-distal, l’implant doit être au centre de l’édentement à restaurer tout en ménageant un espace minimum de 1,5 mm entre le col de l’implant et la dent adjacente (10),
− dans le sens corono-apical, le col implantaire doit se trouver à 1 mm du rebord osseux et 3 mm du rebord gingival idéal (11) Ce niveau ménage à la fois la hauteur nécessaire à la réorganisation de l’espace biologique implantaire et va influencer la forme du profil d’émergence de la prothèse d’usage;
− dans le sens vestibulo-lingual, l’émergence implantaire doit se faire au niveau cingulaire de la future prothèse de manière à privilégier la confection d’une prothèse transvissée. Un implant trop vestibulé d’après l’étude de Chen et al. en 2007 (12) sera à l’origine de la résorption de la table externe et donc de la migration apicale des tissus mous et avec un implant trop palatin, la couronne aura un surcontour vestibulaire empêchant le maintien correct de l’hygiène. Le résultat serait donc inesthétique.
• Critères biologiques et esthétiques : 
L’extraction de la dent, étape cruciale de l’intervention doit être réalisée de manière atraumatique, avec un minimum d’intervention sur les tissus mous en privilégiant une chirurgie sans lambeau (6,13) et en prenant soin de préserver la table osseuse vestibulaire, grâce à l’utilisation d’un périotome si nécessaire et une fragmentation radiculaire plutôt qu’une alvéolectomie du rebord vestibulaire.
Un curetage soigneux de l’alvéole (plus un rinçage à la Bétadine® en cas de foyers infectieux) doit être effectué.
L’intégrité des parois osseuses est vérifiée.
Le forage est ensuite réalisé en fonction de l’analyse pré-implantaire. Pour optimiser les résultats esthétiques, le positionnement de l’implant répond aux règles de positionnement 3D déjà énoncées plus haut. Dans le cas où il existe une lésion apicale, le forage doit être réalisé au-delà de cette lésion, pour éliminer le tissu infecté et chercher un ancrage fiable dans un tissu sain.
Du fait de la dureté de la paroi palatine, il est facile de glisser dans l’alvéole et de perforer la table osseuse vestibulaire.
Pour dépasser cette difficulté, le forage peut être initié à l’aide d’une petite fraise boule, à environ un tiers de l’apex sur la paroi palatine de l’alvéole (si la situation clinique le permet). Le forage est ensuite réalisé en gardant une direction palatine par rapport à l’axe de la dent. Lors de la mise en place de l’implant, le chirurgien doit prendre soin de conserver l’axe déterminé lors du forage et ne pas se laisser entraîner dans l’alvéole (13).
Un biotype gingival plutôt épais est plus adapté à cette technique, mais une modification de celui-ci est possible au même stade que la mise en place de l’implant au moyen d’une greffe de conjonctif enfoui.
La paroi osseuse vestibulaire se résorbe après extraction avec ou sans implant (14).
Un matériau de comblement non résorbable (Bio-Oss®) est placé en vestibulaire de l’implant permettant la formation d’un caillot stable sous gingival et un maintien supérieur du niveau osseux vestibulaire.
• Critères mécaniques et implantaires :
Il faut choisir des implants de 10 mm au minimum, à surface rugueuse ou active, car des implants plus courts seraient moins stables et plus sensibles à l’échec implantaire.
Une stabilité primaire de 30 à 35 Ncm selon l’étude de Cornelini en 2005 est nécessaire (15).
En deçà, les risques d’échecs sont trop importants. Ottoni et coll en 2005 (16), rapportent un taux d’échecs de 44% pour des implants unitaires sans contacts occlusaux mais avec un torque final inférieur à 20 N.
Les implants coniques seront les plus indiqués puisqu’ils offrent une meilleure stabilité primaire que les implants cylindriques (2).
Par ailleurs, le « platform switching » ou « shifting », la présence d’une connexion conique, la présence de micro-spires et la mise en place du pilier définitif immédiatement influencent favorablement le maintien du niveau osseux (3).
• Critères occlusaux : 
Le type d'occlusion du patient doit être complètement analysé. Une occlusion défavorable ou la présence de parafonctions peut entraîner l'échec de la cicatrisation osseuse (5).
Dans le protocole d'EITI, la prothèse provisoire doit être réalisée sans aucun contact occlusal aussi bien en occlusion statique que lors des mouvements de protrusion et de latéralité, pour être certain de ne pas dépasser l’amplitude maximale des micromouvements responsables d’empêcher l’ostéo-intégration (6).
• Il est conseillé au patient d'éviter toute pression sur la zone implantée pour ne pas perturber le processus d'ostéointégration durant les 2 mois qui suivront l'intervention. Une alimentation liquide ou semi-liquide est conseillée au patient pendant 1 semaine. Ensuite, le patient peut manger normalement sans solliciter le site implanté.
CAS CLINIQUE
C’est une patiente qui s’est présentée au service de Prothèse conjointe de CCTD de Casablanca pour une réhabilitation prothétique sur la 11 et la 12 qui portaient déjà des provisoires (Fig. 1 et 2).
| 
 
 Fig. 1 - Situation initiale : la 11 et 12 présentent des provisoires. Noter une légère inflammation de la gencive marginale en regard de ces deux dents. 
  | 
| 
 
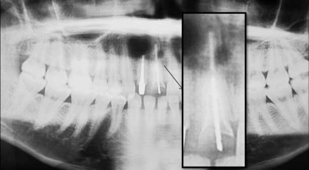
 Fig. 2- L’examen radiographique révèle la présence d’une image périapicale radioclaire en regard de la 12 porteuse d’un inlay core et sur laquelle une résection apicale a été effectuée. La 11 présente des parois radiculaires très fines et une petite image périapicale. (Chirurgie endodontique effectuée par Pr Kh AMINE du service de parodontologie du CCTD de Casablanca). 
  | 
| 
 
 Fig.3- Examen Cone Beam réalisé 6 mois après la chirurgie endodontique montrant la réorganisation osseuse.  | 
L’extraction de la 11 a été posée et un protocole d’extraction implantation et temporisation immédiate est envisagé avec la patiente si les conditions de son application sont réunies. 
L’état des tissus mous est satisfaisant.
L’extraction a été faite de manière atraumatique (Fig. 4) et un implant de 4,2 mm de diamètre et 14mm de longueur a été mis en place (Fig. 5).
Une prothèse provisoire transvissée a été réalisée en utilisant la technique de la facette et un pilier provisoire (Fig. 6-9). 
Apres une période de cicatrisation de 6 mois, et après contrôle clinique et radiographique (Fig. 10 et 11), le profil d’émergence de la couronne provisoire a été dupliqué sur le transfert d’empreinte pour donner le maximum d’informations au technicien de laboratoire (Fig. 12 et 13) et une empreinte à ciel ouvert, en double mélange a été réalisée (Fig. 14).
Les prothèses d’usage scellées ont été réalisées (Fig. 15) et mises en bouche (Fig. 16 et 17).
| 
 
 
  | 
|
![]()  | 
|
| 
 Fig.9- Radiographie rétroalvéolaire de  | 
 
Fig.10 - Le contrôle clinique et radiologique après 6 mois montre une bonne intégration biologique et esthétique de l’implant.
CONCLUSION
Les patients qui doivent faire face à une extraction dans le secteur esthétique posent souvent la requête d’un geste thérapeutique implantaire immédiat.
Les techniques d’extraction-implantation sont désormais très bien codifiées. Le réel défi réside dans l’obtention d’un succès esthétique et non plus d’une survie implantaire.
Ces thérapeutiques permettent des traitements plus rapides, moins coûteux, une bonne préservation des papilles et une temporisation plus confortable pour les patients. Néanmoins, la difficulté opératoire réserve cette technique à des cas bien sélectionnés et des opérateurs expérimentés.
BIBLIOGRAPHIE
1. ARMAND S. La restauration unitaire en implantologie. 2008
2. YALICHEFF S. Gestion de l’esthétique à travers un protocole de mise en charge immédiate. Implant 2014 ; 20 : 373-382
3. BONNET F. Extraction implantation temporisation immédiate unitaire. inf dent 2011 ; 12 :55-66
4. PERRIN J, LAFERTE N. Exemple clinique d’avulsion implantation temporisation immédiate dans le secteur antérieur. Cahiers de prothèse 2015;171:7-16
5. BRINCAT T. Mise en charge précoce non fonctionnelle sur implant unitaire. Implant, 2004. 10(3): 195-206.
6. TAIEB T, AMR. S, GUERIN. T. Amélioration esthétique des contours gingivaux lors des implantations immédiates unitaires : apport des couronnes provisoires. AOS 2013; 264 : 14-19. 
7. SARKIS R, EL OSTA N, ANTOUN H, MISSIKA P. Le point sur les contraintes esthétiques en implantologie. Alternatives n° 18 mai 2003
8. DAVARPANAH M, SZMUKLER-MONCLER S, PHILIPPE RAJZBAUM S, DEGORCE T. Stratégie esthétique : comprendre pour simplifier. Inf Dent 2012 ; 31 :26-32.
9. MATE S, LIMBOUR P, LAMBERT J, CLIPPET F. Facteurs décisionnels d’une extraction implantation mise en cosmétique immédiate unitaire. Med Buccale Chir Buccale 2015;21 : 219-224
10. DAVARPANAH M, SZMUKLER-MONCLER S, PHILIPPE RAJZBAUM S, DAVARPANAH K, DEMURASHVILI G. Manuel d’implantologie clinique, concepts, intégration des protocoles et esquisses de nouveaux paradigmes, 3ème édition 2012.
11. CANEVA M, SALATA LA, DE SOUZA SS, BAFFONE G, LANG NP, BOTTICELLI D. Influence of implant positioning in extraction sockets on osseointegration: histomorphometric analyses in dogs. Clin Oral Implants Res 2010; 21(1):43-9.
12. CHEN ST, DARBY IB, REYNOLDS EC. A prospective clinical study of non-submerged immediate implants: clinical outcomes andesthetic results. Clin Oral Implants Res 2007; 18(5):552-62.
13. ROUACH T, MIARA A, Extraction implantation immédiate : comment limiter les complications. Implants 2013 ; 1, 24 -27.
14. ARAUJO MG. Tissue modeling following implant placement in fresh extraction sockets. Clin Oral Implant Res 2006; 17(6):615-624.
15. CORNELINI R, CANGINI F, COVANI U, WILSON TG. Immediate restoration of implants placed into fresh extraction sockets for single-tooth replacement: a prospective clinical study. Int J Periodontics Restorative Dent 2005; 25 (5):439-47.
16. OTTONI JM, OLIVEIRA ZF, MANSINI R, CABRAL AM. Correlation between placement torque and survival of single-tooth implants. Int J Oral Maxillofac Implants. 2005 Sep-Oct;20(5):769-76.
			










