Publié le 03-02-2014
S. CHEMLALI *, N. KHLIL*, A. GHARIBI*, S. BELLEMKHANATE**, J. KISSA*.
* Service de Parodontologie, CCTD Casablanca.
** Service de Prothèse Adjointe, CCTD Casablanca
Université Hassan II - Maroc
RÉSUMÉ
Les Parodontites agressives, affections à évolution précoce, apparaissent le plus souvent chez des sujets jeunes. Elles sont caractérisées par une perte d’attache sévère ainsi que des lyses osseuses importantes (1).
Le traitement d’une parodontite agressive avancée nécessite une prise en charge multidisciplinaire permettant d’identifier les facteurs étiologiques et de guider les choix thérapeutiques. Ces facteurs peuvent être liés au patient (appartenance à un groupe à risque limité, acceptation d’un long traitement, certitude du maintien d’un parfait contrôle de plaque dans le temps, demande esthétique et motivation du patient …), liés aux dents elles mêmes (antérieures ou postérieures ; type de lésion osseuse ; situation globale d’un secteur donné ...) ou encore liés au praticien (expérience professionnelle et fiabilité des techniques instaurées, qualité de la relation praticien-patient…) (2).
Le présent travail a comme objectif de passer en revue, à l’aide de l’illustration d’un cas clinique, le diagnostic, le concept de traitement et la prise en charge d’une patiente âgée de 22 ans qui souffrait d’une parodontite agressive généralisée avancée qui a été traitée aux services de parodontologie, puis de prothèse adjointe du CCTD de Casablanca.
Mots clés : Parodontite agressive avancée - traitement parodontal - réhabilitation prothétique.
INTRODUCTION
Les parodontites sont des infections bactériennes qui conduisent, en l’absence de traitement, à la destruction des tissus parodontaux avec ou sans formation de poches (3). Ces destructions tissulaires sont principalement dues à une réaction inflammatoire où certaines cytokines produites par l’hôte jouent un rôle majeur. Elles sont classées en parodontites localisées ou généralisées, chroniques ou agressives (4).
Ce cas clinique illustre le diagnostic et la prise en charge parodonto-prothétique d’une patiente présentant une parodontite agressive généralisée terminale.
PRESENTATION DU CAS
La patiente, âgée de 22 ans au début du traitement, était venue en consultation au service de parodontologie du Centre de Consultations et de Traitements Dentaires de Casablanca, de son plein gré.
En fait, la patiente avait remarqué depuis plusieurs années déjà une mobilité de plus en plus marquée d’un certain nombre de dents, de même que des migrations dentaires.
L’anamnèse lors de la première consultation n’a pas rapporté de problème de santé.
Anamnèse
La patiente se plaignait de mobilités dentaires importantes, de migrations, de saignement spontané, de récessions gingivales et d’halitose.
Face à la sévérité de l’inflammation gingivale, ainsi que la présence d’un érythème linéaire, nous avons suspecté la présence d’une pathologie générale associée. Pour ce, différents examens ont été demandés, à savoir la Numération Formule Sanguine (NFS) et la glycémie à jeun qui se sont avérées normales ainsi que la sérologie HIV qui n’a pas montré de résultat positif.
La patiente n’a jamais été en consultation chez un médecin dentiste. Elle a perdu spontanément les deux prémolaires maxillaires gauches 5 mois auparavant. Elle indiquait qu’elle ne se brossait pas les dents à cause de la douleur que cela engendrait.
Résultats des examens
L’examen extra-buccal était sans particularités à l’exception des empreintes des deux incisives centrales maxillaires sur la lèvre inférieure.
L’examen intra-buccal était normal, à part les structures gingivales ainsi que la présence des empreintes des dents dans la muqueuse jugale des régions postérieures.
L’examen dentaire objectivait l’absence de 24, 25 et 41, des caries occlusales au niveau de toutes les molaires ainsi que de la 45. L’indice de plaque de Silness et Löe, 1964, s’élevait à 2,58.
La gencive présentait une inflammation sévère, un érythème marqué et une hyperplasie gingivale. Ces signes cliniques de l’inflammation intéressaient l’ensemble des deux maxillaires et étaient accentués au niveau des secteurs antérieurs (Fig.1).
|
|
|
|
|
|
| 18 | 17 | 16 | 15 | 14 | 13 | 12 | 11 | 21 | 22 | 23 | 24 | 25 | 26 | 27 | 28 | |
| MV | 6 | 5 | 9 | 10 | 8 | 8 | 4 | 4 | 4 | 8 | 5 | 5 |
3 | |||
| CV | 2 | 3 | 7 | 5 | 2 | 7 | 2 | 5 | 3 | 2 | 5 |
5 | 3 | |||
| DV | 3 | 7 | 5 | 12 | 6 | 7 | 4 | 5 | 8 | 3 | 5 | 3 | 3 | |||
| MP | 3 | 4 | 7 | 10 | 9 | 8 | 2 | 4 | 5 | 8 | 4 | 10 | 5 | |||
| CP | 2 | 2 | 4 | 10 | 7 | 5 | 2 | 5 | 3 | 6 | 3 | 7 | 2 | |||
| DP | 6 | 6 | 3 | 9 | 8 | 7 | 7 | 5 | 7 | 4 | 4 | 8 | 3 | |||
| 38 | 37 |
36 | 35 | 34 | 33 | 32 | 31 | 41 | 42 | 43 | 44 | 45 | 46 | 47 | 48 | |
| MV | 3 | 3 | 7 | 7 | 10 | 6 | 7 | 7 | 7 | 8 | 10 | 3 | 8 | 2 | 2 | |
| CV | 2 | 3 | 2 | 2 | 2 | 4 | 5 | 3 | 5 | 5 | 5 | 2 | 2 | 2 | 2 | |
| DV | 2 | 2 | 3 | 3 | 7 | 8 | 5 | 7 | 6 | 10 | 8 | 3 | 5 | 2 | 2 | |
| ML | 3 | 3 | 10 | 7 | 10 | 8 | 7 | 7 | 5 | 10 | 10 | 5 | 8 | 2 | 3 | |
| CL | 2 | 2 | 3 | 3 | 5 | 3 | 7 | 3 | 3 | 5 | 10 | 2 | 5 | 2 | 3 | |
| DL | 3 | 3 | 3 | 7 | 9 | 9 | 9 | 7 | 8 | 10 | 10 | 8 | 7 | 5 | 3 |
L’examen parodontal a révélé la présence d’une perte d’attache généralisée très marquée (Tableau I). L’indice gingival de Löe et Silness, 1963, s’élevait à 2,4.
Les atteintes de furcation (RAMFJORD 1979) étaient de degré III pour 16 et 14, degré II pour 27 et 36 et degré I pour la 46.
L’examen des mobilités dentaires (MILLER 1950) a permis de diagnostiquer des degrés 3 sur les 14, 12, 22, 23,34, 32, 31 et 44, des degrés 2 pour les 16, 15, 13, 21, 26, 33, 42, 43 et 46 alors que toutes les autres dents accusaient des valeurs correspondant au degré 1 (Fig.2).
![]() |
Le bilan radiologique long-cône objective des crêtes interproximales situées au-delà de la moitié apicale des racines, des cratères interproximaux avec disparition des lamina dura et des atteintes des furcations des 1ères molaires qui présentaient des radio-clartés (Fig. 3).
![]() |
Diagnostic
Les résultats des examens cliniques et radiologiques ont permis de poser le diagnostic d’une parodontite agressive généralisée active accompagnée de pertes d’attache profondes à terminales (INTERNATIONAL WORKSHOP FOR A CLASSIFICATION OF PERIODONTAL DISEASES 1999).
Diagnostic étiologique
Il est probable que dans ce cas, différents facteurs aient joué un rôle au niveau de l’étiologie de l’affection parodontale, à savoir, la plaque supra- et sous-gingivale (en raison de l’insuffisance de l’hygiène bucco-dentaire personnelle) et par conséquent d’un nombre très élevé de germes pathogènes.
En outre, une composante génétique ne peut pas être exclue.
Pronostic
Le pronostic est généralement réservé. Il est mauvais pour: 14, 22, 31 et 32.
Plan de traitement
Sur la base des résultats des examens, un plan de traitement comprenant quatre étapes, a été établi:
1. Thérapeutique initiale
2. Réévaluation
3. Phase curative
4. Maintenance
1. THERAPEUTIQUE INITIALE
La phase de thérapeutique étiologique a commencé par une instruction à l’hygiène bucco-dentaire conséquente et correctement mise en pratique (Fig.4,5).
Cette phase comprenait également un débridement supra- et sous-gingival complet, destiné à l’élimination du tartre et de la plaque (Fig 6). Une bithérapie à base d’amoxicilline (1,5 g par jour) et de métronidazole (750 mg par jour) a été prescrite parallèlement au surfaçage pour une durée de 10 jours.
Les dents jugées irrécupérables, à savoir 14, 22, 31 et 32, ont été extraites à ce stade également (Fig.7).
|
|
|
|
|
|
|
|
|
2. RÉÉVALUATION
6 semaines après la dernière séance de surfaçage, une réévaluation a été faite.
On constate une nette amélioration de l’état du parodonte superficiel (Fig.8). L’indice de plaque est passé de 2,58 à 0,83 et l’indice gingival de 2,4 à 1,16.
La gencive est devenue rose et plus ferme à l’exception de quelques endroits où le chevauchement entrave l’entretien d’une hygiène correcte.
L’examen du parodonte profond montre une diminution de la profondeur du sondage, une diminution des mobilités avec une accentuation des récessions dentaires (Tableau II) (Fig.9).
| 18 | 17 | 16 | 15 | 14 | 13 | 12 | 11 | 21 | 22 | 23 | 24 | 25 | 26 | 27 | 28 | |
| MV | 2 | 5 | 4 | 5 | 5 | 2 | 5 | 6 | 4 | 5 | 3 | |||||
| CV | 3 | 5 | 4 | 2 | 5 | 2 | 5 | 3 | 2 | 5 | 2 | |||||
| DV | 3 | 2 | 5 | 3 | 5 | 5 | 3 | 3 | 4 | 5 | 2 | |||||
| MP | 2 | 2 | 4 | 4 | 5 | 5 | 2 | 6 | 4 | 7 | 2 | |||||
| CP | 2 | 3 | 3 | 5 | 3 | 2 | 4 | 5 | 4 | 2 | 3 | |||||
| DP | 2 | 4 | 4 | 3 | 6 | 2 | 4 | 6 | 3 | 4 | 2 | |||||
| 38 | 37 |
36 | 35 | 34 | 33 | 32 | 31 | 41 | 42 | 43 | 44 | 45 | 46 | 47 | 48 | |
| MV | 3 | 3 | 8 | 5 | 7 | 5 | 5 | 8 | 9 | 3 | 9 | 2 | 2 | |||
| CV | 2 | 2 | 2 | 2 | 3 | 5 | 4 | 5 | 3 | 4 | 4 | 2 | 2 | |||
| DV | 3 | 3 | 2 | 2 | 4 | 8 | 5 | 8 | 9 | 3 | 4 | 2 | 2 | |||
| ML | 2 | 2 | 9 | 4 | 5 | 3 | 3 | 4 | 6 | 3 | 6 | 3 | 3 | |||
| CL | 2 | 2 | 2 | 4 | 4 | 2 | 2 | 3 | 5 | 2 | 5 | 2 | 2 | |||
| DL | 3 | 2 | 2 | 3 | 5 | 4 | 3 | 8 | 10 | 3 | 7 | 2 | 2 |
![]() |
![]() |
En raison de la perte d’attache importante et du jeune âge de la patiente, des échantillons microbiologiques ont été prélevés dans cinq sites (poches =7 mm) dans les quatre quadrants; les prélèvements ont été effectués à l’aide de pointes de papier stériles et transférés au laboratoire en vue d’une culture bactériologique. L’analyse microbiologique de la culture a révélé une proportion importante de Porphyromonas Gingivalis (>105) permettant d'apprécier le potentiel évolutif des lésions parodontales (Fig.10).
Malgré la nette amélioration de l’état parodontal, il y a persistance de beaucoup de paramètres qui influencent négativement le pronostic, notamment :
- L’importance de la perte d’attache
- Les migrations pathologiques des dents
- Les malpositions dentaires
- Les lyses terminales
Une attitude plus conservatrice n’a pas pu être envisagée puisqu’il fallait extraire aussi bien les dents présentant un pronostic mauvais ou réservé afin d’éradiquer les foyers infectieux que programmer des extractions stratégiques.
Le passage par une prothèse provisoire s’impose en attendant la solution implantaire.
3. PHASE CURATIVE
Pour des raisons esthétiques, fonctionnelles et prothétiques, l’extraction de toutes les dents maxillaires et de 36, 34, 42, 43 et 44 s’impose.
L’édentation est ressentie par la majorité des patients comme une amputation, d’où la nécessité de réaliser des prothèses immédiates.
TEMPS PROTHETIQUE
Après avoir coulé les modèles primaires, les porte-empreintes individuels sont réalisés puis rebasés avant la prise des empreintes secondaires. La relation intermaxillaire est enregistrée afin de permettre le montage des modèles sur articulateur. Le montage des dents s’est fait après remodelage de la crête maxillaire sur modèle en plâtre (Fig.11,12,13).
|
|
|
|
![]() |
TEMPS CHIRURGICAL
Après réalisation d’incisions intrasulculaires, les extractions ont été faites, la crête alvéolaire régularisée puis les lambeaux vestibulaire et lingual rapprochés à l’aide d’un surjet passé (Fig.14,15).
La prothèse immédiate a été posée en fin d’intervention, et nous avons recommandé à la patiente de ne pas la retirer avant 24 heures, pour les raisons suivantes:
- Éviter à la patiente un choc psychologique trop grand quand elle va se trouver d’un seul coup sans dents,
- Comprimer les tissus et maîtriser l’hémorragie tout en protégeant le caillot sanguin qui va servir à la reconstruction de l’os,
- Avoir l’intrados de la prothèse comme guide de la cicatrisation définitive,
- Habituer la patiente à la présence de la prothèse en bouche pendant qu'elle est anesthésiée.
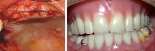
|
Fig.14: Régularisation des crêtes après extractions et mise en place des prothèses provisoires. |
Avant Après |
|
Fig.15 : Sourire de la patiente avant et après réhabilitation prothétique. |
4- Maintenance
La patiente a été suivie régulièrement pour des séances de contrôle et de maintenance pour les dents résiduelles.
DISCUSSION
Le type de maladie parodontale, l’importance de l’alvéolyse, le nombre de dents résiduelles, le volume osseux disponible, les besoins du patient et la prédictibilité du traitement sont des facteurs qui déterminent la conservation ou l’extraction dentaire (5).
Les traitements classiques des pathologies parodontales ont démontré leur efficacité (6).
Le contrôle de l’infection est la toute première étape du traitement parodontal. Il fait appel à un contrôle mécanique de la plaque par une hygiène dentaire rigoureuse (7). Pour cette patiente, une hygiène dentaire classique (même excellente) n’aurait pas été suffisante pour contrôler de manière efficace cette infection parodontale sévère.
Un nettoyage mécanique professionnel des surfaces dentaires associé aux antiseptiques (chlorhexidine à 2%) permet de rétablir une flore supra-gingivale compatible avec la santé parodontale (3).
Compte tenu du caractère agressif de la pathologie, une association amoxicilline, métronidazole a été prescrite (8) parallèlement au débridement sous-gingival.
La réévaluation parodontale est capitale, car le choix de la décision thérapeutique est très difficile chez les patients atteints de parodontites agressives avancées (9). Cependant, les extractions des dents présentant un pronostic mauvais ou réservé doivent être considérées.
L’examen clinique et radiologique montrent une destruction quasi totale des tissus parodontaux orientant vers une décision d’extractions multiples. D’autres extractions stratégiques ont été décidées. Une extraction est considérée comme stratégique si elle améliore de manière significative le pronostic des dents adjacentes (1) mais aussi celui du traitement global.
Quand une réhabilitation prothétique globale est requise, l’extraction d’une dent ne dépend pas nécessairement de son propre pronostic, mais plutôt du succès à long terme du plan de traitement global au niveau fonctionnel, esthétique et financier (10). Le nombre de dents, leur distribution sur l’arcade et leur position par rapport au couloir prothétique sont des facteurs à prendre en considération d’où la décision d’extraire ou de conserver afin de pouvoir arriver à un résultat final esthétique et fonctionnel (11).
CONCLUSION
Les parodontites agressives avancées posent un grand dilemme thérapeutique quant à extraire ou conserver les dents. Les différents paramètres cliniques et radiographiques, la demande du patient et le pronostic des différentes options thérapeutiques permettent de prendre la décision appropriée.
Des extractions stratégiques permettent de prévenir les pertes de substances importantes et de conserver une morphologie osseuse adéquate.
Un diagnostic précoce est souvent la clé pour éviter des alvéolyses sévères et limiter les conséquences relatives à cette pathologie (12). Pour les cas où le traitement n’a pas été initié à temps et où la maladie a évolué vers des stades terminaux, fonction et esthétique peuvent être restaurées par une bonne coordination parodonto-prothétique.
BIBLIOGRAPHIE
1. DAVARPANAH M, JANSEN CE, VIDJAK FM, ETIENNE D, KEBIR M, MARTINEZ H. Restorative and periodontal considerations of short clinical crowns. Int J Periodontics Restorative Dent 1998;18:424-33.
2. VAN STEENBERGHE D., MOLLY L., JACOBS R., VANDEKERCKHOVE B., QUIRYNENn M. & NAERT I. The immediate rehabilitation by means of a ready-made final prosthesis in the edentulous mandible: a 1-year follow-up study on 50 consecutive patients.
Clin Oral Implants Res 2004;15:360-365.
3. CHARON JA, MOUTON C. Parodontie médicale. 2003 - Éd. CdP
4. ARMITAGE GC. Development of a classification system for periodontal diseases and conditions.
Ann Periodontol 1999;4:1-6.
5. RUPPERT M, BERRES F, MARINELLO C. Parodontite agressive généralisée sévère et diabète instable de typeI Diagnostic, traitement, suivi Présentation d’un cas Rev Mens Suisse Odontostomatol, Vol 113: 5/2003
6. MOMBELLI A, DECAILLET F, ALMAGHLOUTH A, WICK P, CIONCA N.Thérapie parodontale efficace et simple Un concept de prise en charge basé sur l’évidence scientifique Rev Mens Suisse Odontostomatol Vol. 121 2/2011
7. SERINO G, ROSLING B, RAMBERG P, SOCRANSKY, SS, LINDHE J.
Initial outcome and long-term effect of surgical and non-surgical treatment of advanced periodontal disease. J Clin Periodontol 2001;28:910-916.
8. LAKHSSASSI N, ELHAJOUI N, LODTER JP, PINEILL JL, SIXOU M. Antimicrobial susceptibility variation of 50 anaerobic periopathogens in aggressive periodontitis: an interindividual variability study. Oral Microbiol Immunol. 2005 Aug;20(4):244-52.
9. LINDHE J, NYMAN S. Long-term maintenance of patients treated for advanced periodontal disease. J Clin Periodontol 1984;11:504-514.
10. NYMAN S, LINDHE J. A longitudinal study of combined periodontal and prosthetic treatment of patients with advanced periodontal disease. J. Periodontol 1979;50:163-169.
11. ANTOUN H, CHERFANE P. Quelle stratégie adopter face à une dent compromise : la conserver ou la remplacer par un implant? Rev Odont Stomat 2005;34:21-37.
12. MARTINEZ-CANUT P, CARRASQUER A, MAGAN R, LORCA A. A study on factors associated with pathologic tooth migration. J Clin Periodontol 1997;24:492-497.














