B. BOUSFIHA, M. MTALSI, N. LAAROUSSI, S. ELARABI
Service de Pédodontie Prévention au CCTD
Faculté de Médecine Dentaire de Casablanca
Université Hassan II
RÉSUMÉ
La carie de la petite enfance est une forme sévère de carie des dents temporaires survenant chez les enfants en âge préscolaire. Elle représente un véritable problème en dentisterie pédiatrique du fait de sa progression rapide, de ses répercussions sur les dents, sur l’état général du patient et aussi de la difficulté de prise en charge des jeunes enfants.
Le diagnostic précoce de cette affection est important pour prévenir les différentes complications. Cet article fait le point sur les aspects cliniques de la carie de la petite enfance et ses conséquences. Les facteurs de risque, les stratégies thérapeutiques et préventives seront abordés ultérieurement.
Mots clés : Carie de la petite enfance - Diagnostic - Complications.
INTRODUCTION
La carie de la petite enfance (CPE), véritable problème de santé publique représente une forme spécifique et virulente des caries des dents temporaires chez les nourrissons et les enfants d’âge préscolaire. Cette affection apparaît tôt après l’éruption dentaire, elle se développe sur les surfaces lisses des dents et progresse rapidement engendrant des complications lourdes aussi bien locales que générales.
L’académie Américaine de dentisterie pédiatrique définit la carie de la petite enfance comme étant « la présence d’au moins une lésion carieuse (cavitaire ou non), d’une dent absente (pour cause de carie) ou obturée chez des enfants âgés de 71 mois ou moins (1).
Auparavant, plusieurs termes étaient utilisés pour désigner la carie de la petite enfance dont « le syndrome du biberon », « la carie du biberon », « les caries rampantes », « nursing bottle caries », « baby bottle tooth decay » (2,3). Depuis quelques années, c’est le terme carie de la petite enfance qui est utilisé, il reflète mieux le processus étiologique multifactoriel de cette affection (4) où d’autres facteurs que l’allaitement au sein ou au biberon peuvent être incriminés.
De point de vue épidémiologique, la littérature rapporte de larges variations de la prévalence de la CPE, allant de 1 à 38% chez les enfants de 1 à 2 ans et 5 à 56% chez les enfants de 2 à 3 ans (5). Au Maroc, une enquête menée en 1993 dans 25 centres de santé de Casablanca et portant sur 750 enfants d’âge préscolaire a montré que 23% des enfants de 18 à 48 mois étaient atteints de CPE (6).
La CPE touche plus les enfants issus de familles à niveau socio économique bas, de statut immigrant et de minorité ethnique, sa prévalence dans ces populations peut atteindre 90% (3).
Cet article décrit l’aspect clinique de la CPE ainsi que les répercussions de cette affection.
ASPECTS CLINIQUES
La carie de la petite enfance est caractérisée par un aspect clinique particulier des lésions touchant les dents selon le plus souvent leur séquence d’éruption. En effet, l’émail des dents temporaires en éruption est immature, poreux et susceptible à la dissolution acide générée par les bactéries cariogènes.
Le début de cette maladie carieuse est soudain et progresse rapidement à tel point que les parents à la consultation rapportent que les dents de leur enfant sont fragiles et se fracturent toutes seules connaissant peu ou pas l’affection, son mécanisme et ses causes.
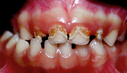
La CPE commence au niveau des surfaces lisses des incisives supérieures par une bande de décalcification blanche et opaque dans le sens de la ligne gingivale (Fig.1). Des lésions semblables peuvent s’observer aussi sur la surface occlusale des molaires ou en inter proximal des dents (7,8) et coïncident avec des dépôts de plaque bactérienne abondants. Ces lésions sont rarement décelées par les parents et par les médecins qui sont les premiers à examiner la cavité buccale des jeunes enfants et leur diagnostic repose sur l’élimination de la plaque bactérienne et un séchage soigneux des dents (4,8).
Ces taches blanchâtres de décalcification représentent ce qui est communément décrit comme étant la lésion initiale de l’émail (9), c’est le stade pré cavitaire. Au stade initial de pré cavitation, les lésions sont réversibles et la reminéralisation de l’émail est possible à condition de réduire les facteurs étiopathogéniques et de renforcer les mesures de prévention (7,8).
Si les conditions cariogènes persistent, le processus de déminéralisation progresse, la surface de l’émail affecté se fracture et la cavité de carie apparaît. Il s’agit de la carie dentinaire de couleur jaune brun ou noir qui ceinture souvent les collets dents antérieures rendant celles-ci susceptibles à la fracture coronaire (2,7)(Fig.2,3). A ce stade, les atteintes pulpaires surviennent rapidement, elles sont fréquentes et s’accompagnent de différentes complications pulpaires et ou parodontales.
Dans les cas avancés, toutes les incisives supérieures sont détruites et plusieurs dents sont atteintes (Fig.4). Les incisives temporaires mandibulaires sont épargnées et résistent au développement carieux du fait de la proximité avec les glandes salivaires sous mandibulaires et l’action nettoyante de la langue pendant le processus de succion (10).
![]() |
![]() |
![]() |
![]() |
RÉPERCUSSIONS DE LA CARIE DE LA PETITE ENFANCE
La CPE peut avoir de graves conséquences tant locales atteignant la dent ou le germe sous jacent que générales affectant le développement général de l’enfant.
➢ Les répercussions locales :
Les complications infectieuses sont fréquentes chez les enfants atteints de carie précoce et constituent souvent le motif de consultation. Différentes complications infectieuses peuvent être rencontrées.
- La pulpite ou inflammation pulpaire, celle-ci peut être réversible lorsque l’inflammation chronique causée par la carie profonde reste limitée à la chambre pulpaire camérale. Dans les cas d’inflammation pulpaire irréversible, le jeune enfant peut se réveiller le soir avec une douleur spontanée, aigüe parfois fugace (9).
- La nécrose pulpaire peut ou non s’accompagner d’une pathologie parodontale.
La nécrose pulpaire sans complication parodontale fait suite à l’atteinte pulpaire. Elle est fréquente sur une dent temporaire cariée non traitée. Sur les pluri radiculées, la nécrose est particulière, pouvant intéresser la totalité ou une partie de la pulpe radiculaire et être responsable d’une pathologie mixte associant des signes de nécrose et des signes d’inflammation pulpaire (11).
La nécrose pulpaire avec pathologie parodontale est la plus complexe et la plus grave des complications infectieuses du fait de ses répercussions possibles sur le germe de la dent permanente sous jacente et sur l’état général de l’enfant (9,11). Deux formes cliniques sont décrites (12). La forme aigue avec installation fréquente d’une cellulite et la présence d’adénopathies, de mobilité dentaire et d’altération de l’état général (Fig.5). La forme chronique étant plus fréquente avec comme manifestation clinique une congestion de la muqueuse gingivale, ou un abcès parulique ou encore une fistule sur la gencive en regard de la dent causale (11)(Fig.6).
![]() |
![]() |
|
![]() |
La pathologie de la furcation suite à l’atteinte et à la destruction progressive de la zone inter radiculaire constitue aussi une des complications infectieuses de la dent temporaire fréquemment observée chez l’enfant. (12)(Fig.7).
Si dans les cas d’inflammation pulpaire ou de nécrose pulpaire sans participation parodontale, la conservation de la dent est possible, souvent dans les situations de nécrose pulpaire avec participation parodontale, l’extraction de la dent est de règle.
En absence de traitement des pathologies pulpaires et ou parodontales, l’infection peut s’étendre aux germes des dents permanentes sous jacentes et être à l’origine de lésions irréversibles telles que les hypoplasies, les dyschromies, l’arrêt de développement de la dent de remplacement ou encore d’un kyste folliculaire refoulant le germe (11).
Les répercussions fonctionnelles :
les destructions coronaires importantes du secteur incisivo canin engendrées par les caries évolutives entraîneront des troubles de la déglutition et des perturbations de l’acquisition de la phonation. L’absence de calage antérieur, associée à une position trop basse de la langue sera à l’origine d’un proglissement mandibulaire (6).
Les répercussions esthétiques sont importantes du fait de la localisation des lésions carieuses au niveau des incisives maxillaires. Le préjudice esthétique et les difficultés de prononciation peuvent conduire l’enfant atteint par la CPE à des problèmes psychologiques et relationnels (4).
➢ Les répercussions générales :
Le retard de croissance et de développement général des enfants atteints de CPE a été rapporté, en raison des difficultés à se nourrir et à dormir, leur qualité de vie s’en trouve ainsi diminuée (13,14,15).
La prise en charge thérapeutique à l’état vigil de ces jeunes enfants atteints de multiples caries est souvent difficile sinon impossible vu leur âge et leur appréhension des soins dentaires. Ce qui explique souvent le recours à l’anesthésie générale. Les soins sont longs, compliqués et coûteux constituant un lourd fardeau pour les parents et la société (16).
Afin d’éviter toutes ces complications, il est important que le diagnostic de la CPE se fasse tôt avant la destruction coronaire, le traitement sera simple et rapide. L’identification des facteurs de risque est aussi indispensable pour pouvoir les éliminer et mettre en place les mesures préventives adéquates. Les médecins et pédiatres qui sont les premiers à voir ces enfants ont un rôle primordial dans le dépistage précoce de la CPE. C’est à travers la sensibilisation des mamans et du corps professoral sur cette pathologie, ses conséquences et ses facteurs de risque que nous pouvons espérer réduire la prévalence de la CPE au Maroc.
BIBLIOGRAPHIE
1. American Academy of Pediatric Dentistry. Policy on Early Childhood Caries (ECC): Classifications, Consequences, and Preventive Strategies. Oral Health Policies: Reference manual 2010- 2011, 32, 6: 41-44.
2. Gizani S. Aspect clinique des enfants jeunes présentant une activité carieuse importante. Inf Dent 2001, 44 : 3833-3840.
3. Slavkin Harold C. Streptococcus Mutans, early childhood caries and new opportunities. J Am Dent Assoc 1999, 130: 1787-1792.
4. Msefer S. Importance du diagnostic précoce de la carie de la petite enfance. J Can Dent Assoc 2006 : 6-8.
5. Montero MK, Douglass JM, Mathieu GM. Prevalence of dental caries and enamel defects in Connecticut Head Start Children. Pediatr Dent 2003, 25: 235-239.
6. Elarabi S, Msefer S. La carie du biberon: les habitudes de succion nutritives et la carie dentaire chez l’enfant. Esp Med 1996, 3: 487-490.
7. Misra S, Tahmassebi JF, Brosnan M. Early Childhood Caries - A Review. Dent Update 2007, 34: 556-564.
8. Drury Thomas F, Horowitz Alice M, Ismail Amid I, Maertens Marco P, Rosier Gary R, Selwitz Robert H. Diagnosing and Reporting Early Chilhood Caries for Research Purposes. J Public Health Dent 1999, 59: 192-97.
9. De La Dure-Molla M, Naulin Ifi C, Eid Blanchot C. Carie et ses complications chez l’enfant. EMC- Médecine buccale 2012 ; 7(5) :1-11.
10. Schwartz SS, Rosivack RG, Michelotti P. A child’s sleeping habit as a cause a nursing caries. J Dent Child 1993, 60: 22-25.
11. Morrier JJ, Bouvier-Duprez D, Bittar E, Duprez JP. La carie et ses complications chez l’enfant. Encycl Méd Chir (Elsevier Paris), Odontologie, 23-410C-10, Pédiatrie, 4-014-C-30, 1998, 5p.
12. Fortier JP, Demars Ch. Les pathologies pulpaires et pulpo-parodontales de la dent temporaire. Abrégé de Pédodontie. (88-99), Masson, Paris 1983.
13. American Academy of Pediatric Dentistry. Policy on Early Childhood Caries (ECC): Classifications, Consequences, and Preventive Strategies. Oral Health Policies: Reference manual 2011- 2012, 33, 6: 47-49.
14. Kagihara Lynette E, Niederhauser Victoria P, Stark M. Assessment, management, and prevention of early childhood caries. Am Acad J Nur Pract 2009, 21: 1-10.
15. Low W, Schwartz S. The effect of severe caries on the quality of life in young children. Pediatr Dent 1999, 21: 325-326.
16. Berkowitz Robert J. Causes, traitement et prevention de la carie de la petite enfance : perspective microbiologique. J Can Dent Assoc. 2003, 69 : 304-7 ;














