K. TAMDY, N. KHLIL, B. ABBASSI, J. KISSA
Service de parodontologie,
Centre de Consultations et de Traitements Dentaires CHU Ibn Rochd Casablanc
Université Hassan II
RÉSUMÉ
Les freins sont des replis muqueux, constitués par deux couches d’épithélium entre lesquels se trouve un tissu conjonctif lâche, des fibres de collagènes, des fibres élastiques, des nerfs et des vaisseaux, mais pas de fibres musculaires.
Une correction chirurgicale de ces freins pathologiques s’impose afin de prévenir l’apparition ou l’aggravation des lésions muco-gingivales et de maintenir une santé gingivale adéquate.
Le but de ce travail est d’illustrer à travers des cas cliniques colligés l’apport de la frénectomie dans la prévention et la stabilisation des lésions muco-gingivales.
Mots clés : Freins pathologiques, classification, lésions muco-gingivales, frénectomie.
INTRODUCTION
Le frein est un repli muqueux qui s'insère d'une part sur la face interne de la lèvre, et s'étend d'autre part jusqu'à la ligne muco-gingivale ou parfois même jusqu'à la papille retro-incisive (1, 2).
Les freins, de par leurs insertions et leurs dimensions, peuvent être délétères pour les tissus parodontaux, d’où l'intérêt de leur ablation dans un cadre préventif ou curatif.
La frénectomie constitue donc, une technique simple et rapide permettant de limiter les tractions frénales néfastes sur la gencive.
A travers ce travail nous allons illustrer, à travers deux cas colligés dans le service de parodontologie, l’intérêt de la frénectomie dans l’amélioration et la stabilisation de l’environnement dento-parodontal.
RAPPEL ANATOMIQUE ET CLASSIFICATION
Les différents types anatomiques des freins
On distingue quatre types de freins (2):
- Le frein maxillaire médian: issu de la face interne de la lèvre supérieure et vient s’insérer entre les incisives centrales supérieures.
- Le frein de la lèvre inférieure: issu de la face interne de la lèvre inférieure et vient s’insérer en regard des incisives inférieures, il peut être unique ou multiple.
- Les freins latéraux: situés dans la région des prémolaires supérieures et inférieures.
- Le frein de la langue: s’étend entre la pointe de la langue et le sillon alvéolo-lingual.
Classification morphologique et fonctionnelle des freins
La classification la plus utilisée en pratique clinique et qui présente une valeur diagnostique et pronostique est celle de Placek et coll (1974), qui classent les freins en fonction de leur insertion par rapport au parodonte marginal (3) :
- Frein type 1, à attachement muqueux : l’insertion se fait à la jonction muco-gingivale,
- Frein type 2, à attachement gingival : l’insertion se fait dans la gencive attachée,
- Frein type 3, à attachement papillaire : l’insertion se fait au niveau de la papille, gingivale, et la mobilisation de la lèvre entraîne un déplacement de la gencive marginale,
- Frein type 4, à attachement papillaire pénétrant : dans ce cas le frein rejoint le sommet du septum gingival et se confond avec la papille interdentaire.
DIAGNOSTIC POSITIF
Les freins de type 1 et 2 sont considérés «normaux» car ils s’insèrent à distance de quelques mm de la gencive marginale délimitant ainsi un bandeau de tissu kératinisé coronairement à l’attache du frein.
Les freins type 3 et 4 représentent les freins les plus pathogènes. Ils peuvent être diagnostiqués cliniquement en évaluant les paramètres suivants (4, 5) :
- La proximité de l’attachement du frein avec la gencive marginale et interdentaire
- Le blanchiment de la papille interdentaire ou de la gencive libre lors de la traction du frein
- La limitation des mouvements labiaux ou linguaux
- La largeur du frein au niveau de la zone d’attachement.
Physiopathologie des lésions parodontales induites par des freins pathogènes
Les freins pathologiques interviennent dans la pathogénie des lésions muco-gingivales par plusieurs mécanismes qui peuvent agir seul ou en combinaison (6):
- Interférence avec le brossage dentaire en empêchant la brosse à dent de se positionner convenablement au niveau du vestibule ce qui rend le contrôle de la plaque bactérienne aléatoire et favorise ainsi le dépôt constant de plaque et de tartre et l’installation d’une gingivite marginale chronique.
- Traction de la gencive marginale avec pénétration de la plaque bactérienne à l’intérieur du sulcus ou de la poche parodontale ce qui génère l’initiation du processus inflammatoire.
La traction exercée par les freins type 3 et 4 engendre aussi une tension mécanique sur les tissus parodontaux déplacés chirurgicalement ce qui peut compromettre la stabilité des tissus parodontaux après chirurgie parodontale.
INDICATIONS
En cas de freins à position aberrante et/ ou hyperplasiques provoquant une traction et une mobilisation importante des tissus gingivaux, une frénectomie est indiquée dans un but préventif ou curatif.
La frénectomie consiste en une élimination chirurgicale totale d’un frein pathologique, dans l’objectif d’éliminer la traction sur la gencive libre, de permettre une cicatrisation optimale des chirurgies parodontales et de permettre une fermeture stable des diastèmes.
CAS CLINIQUES
Cas n°1 :
Historique dentaire et diagnostic :
Une jeune femme de 34 ans en bon état de santé générale, consulte pour un abcès dentaire récidivant en regard de 11-21, apparitions de diastème inter-incisif entre 11 - 21 et de malpositions dentaires (Fig 1).
Le diagnostic d’une parodontite agressive généralisée a été posée devant les donnés cliniques (quantité de dépôts microbiens non corrélé avec la sévérité de la destruction parodontale), les donnés radiologique (Fig 2) (prédominance de lyses angulaires) et sur l’anamnèse (évolution rapide de la maladie parodontale, et présence d’une composante héréditaire de la maladie parodontale chez la sœur cadette).
L’abcès en regard de la 11 et 21 est un abcès parodontal aigu en rapport avec une parodontite non traitée, étant donné la présence de symptômes aigus (douleur, rougeur, tuméfaction), avec à l’examen une profondeur de sondage de 7 mm en mésio-vestibulaire de la 11, associé à un saignement et une suppuration lors du sondage.
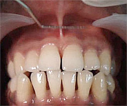
L’évaluation de l’insertion des freins, objective un frein maxillaire médian type 3 selon la classification de Placek (1974) (Fig 4), et le test de traction du frein génère un blanchiment, une mobilisation de la gencive marginale et une ouverture du sulcus.
L’insertion basse du frein maxillaire médian est associée à la présence d’une récession parodontale de 0.5 mm au niveau de la face mésiale de la 11, une atteinte parodontale profonde entre 11 et 21 et un diastème inter-incisif secondaire.
Approche thérapeutique et suivi :
Le traitement d’urgence de l’abcès parodontal en regard de la 11/21 a nécessité un drainage de l’abcès à partir de la poche parodontale: Surfaçage radiculaire localisé et irrigation sous gingivale au sérum physiologique, associé à un premier détartrage ultrasonique suivie d’une prescription de bain de bouche à base de chlorhexidine.
La thérapeutique parodontale initiale a consisté en une motivation à l’hygiène bucco-dentaire de la patiente, un détartrage et surfaçage radiculaire associé à une bithérapie à base d’amoxicilline 500mg 3 fois par jour pendant 14 jours et du métronidazole 250mg 3 fois par jours pendant 14 jours.
Lors de la réévaluation fixée à 3 mois de la thérapeutique initiale (Fig 3), on a constaté une nette amélioration des caractéristiques de la gencive (gencive ferme, festonnée, rose pâle et granitée en peau d’orange), diminution nette de la valeur du sondage et un rétrécissement spontané du diastème secondaire inter-incisif entre 11 et 21.
Dans la phase correctrice, une frénectomie a été réalisée afin de limiter la traction du frein et prévenir l’aggravation de la récession parodontale en mésio-vestibulaire de la 11.
La frénectomie s’est déroulée en plusieurs étapes : Après une mise en évidence du frein maxillaire médian par traction de la lèvre supérieure, une anesthésie para apicale de part et d’autre du frein est réalisée (Fig5). Au niveau de la gencive attachée une incision de part et d’autre de l’attache du frein est pratiquée délimitant ainsi un triangle à base apicale et dont le sommet se situe au point d’ancrage coronaire du frein (Fig 6). Au niveau de la face interne de la lèvre une dissection d’un triangle à sommet opposé est faite (Fig 7). Par suite la totalité des tissus du losange est excisée (Fig 8) et les fibres du frein sont désinserées à l’aide d’une curette parodontale ou d’un décolleur (Fig 9). A la fin de la chirurgie, les berges du losange sont rapprochées par des points de suture discontinus (Fig 10).
A un mois de la frénectomie (Fig 11), la patiente est adressée au service d’orthodontie pour un rétablissement de la fonction et de l’esthétique.
Une maintenance per-orthodontique à un intervalle régulier de 2 mois était de mise chez cette patiente (Fig 12).
Après traitement orthodontique un rappel systématique tout les trois mois était envisagé (Fig 13).
![]() |
![]() |
![]() |
![]() |
|
|
|
|
|
|
|
|
|
![]() |
![]() |
![]() |
|
Cas n°2
Historique dentaire et diagnostic :
Jeune homme de 27 ans en bon état de santé générale, consulte pour apparition de récessions parodontales, de mobilités dentaires au niveau de 31 et 41 et de malpositions dentaires secondaires.
L’examen clinique montre une quantité de dépôts microbiens non corrélé à la sévérité de l’atteinte parodontale (Fig 14), et l’examen radiographique révèle la présence de lyses osseuses à prédominance angulaire (Fig 15). Vu que l’atteinte parodontale intéresse plus que deux dents autres que les incisives et les premières molaires, le diagnostic de parodontite agressive généralisée a été retenu.
L’examen de l’insertion des freins montre la présence de frein médian inférieur type 4 (selon la classification de Placek 1974) avec attachement papillaire pénétrant (Fig16). Le frein rejoint le sommet du septum gingival et se confond sur la face linguale avec la papille interdentaire.
Lors de la mobilisation de la lèvre inférieure on assiste à une traction et une mobilisation de la gencive marginale, une ouverture du sillon gingivo-dentaire et un blanchiment de la gencive kératinisée.
L’insertion haute du frein médian inférieur constitue une entrave à l’hygiène bucco-dentaire chez ce patient en s’interférant avec le bon positionnement de la brosse à dent au niveau du vestibule, ce frein génère en plus une traction apicale des tissus parodontaux bordant les récessions parodontales au niveau de la 31 et la 41, et prédispose de ce fait à l’aggravation des récessions parodontales.
Approche thérapeutique et suivi :
Le traitement parodontal chez ce patient a consisté en une motivation à l’hygiène bucco-dentaire, un détartrage et surfaçage radiculaire et une association amoxicilline 500mg, 1Cp 3 fois par jours pendant 14 jours et métronidazole 250 mg, 1Cp 3 fois par jour pendant 14 j.
Dans la phase correctrice une frénectomie du frein médian inférieur a été réalisée.
Etant donné la présence de dimensions (épaisseur et hauteur) réduites de tissu kératinisé en regard des 31 et 41, une greffe épithélio-conjonctive de renforcement sera associée à la frénectomie (Fig17-18-19-20). Cette greffe épithélio-conjonctive aura pour objectif d’augmenter la hauteur et l’épaisseur du tissus kératinisé afin d’aider les tissus à résister à l’inflammation et de permettre la restauration du tissu gingival sur la corticale fine en regard de 31et 41, ce qui peut favoriser la reconstruction de l’os alvéolaire au cours du déplacement dentaire ultérieure par traitement orthodontique.
Une surveillance régulière tout les trois mois est instaurée chez ce patient.
![]() |
![]() |
|
|
|
|
|
|
|
|
|
DISCUSSION
De point de vu parodontal, une frénectomie serait indiquée chaque fois qu’une pathologie parodontale est mise en évidence en association avec une traction sur la gencive marginale, une ouverture du sillon gingivo-dentaire et aussi lorsque le frein constitue une entrave à l’hygiène bucco-dentaire (7,8).
C’est le cas de la première patiente, qui présente un frein pathologique type 3 (classification de Placek 1974) en association avec une récession parodontal débutante sur la face mésio vestibulaire de la 11 de l’ordre de 0.5mm. Ce frein pathologique exerce non seulement une traction sur les tissus parodontaux mais, favorise également l’ouverture du sulcus facilitant ainsi la pénétration de la plaque bactérienne et des toxines au sein de la poche parodontale ce qui permet d’entretenir le processus inflammatoire et infectieux (présence d’abcès parodontal récidivant en regard de la 11 et 21).
Le deuxième cas clinique présente également un frein pathologique de type 4 selon la classification de Placek 1974, ce frein s’insère profondément au niveau de la face lingual du septum gingival entre 41 et 31, il entrave ainsi les manœuvres d’hygiène en interférant avec un bon positionnement de la brosse à dent au niveau du vestibule, et provoque une traction apicale des tissus marginaux bordant les récessions parodontales en regard de la 31 et 41.
Dans les deux cas cliniques les freins pathologiques sont associés avec la présence de récessions parodontales évolutives.
L’association entre freins pathologiques et récessions parodontales a été décrite par plusieurs auteurs. Addy M et coll (1987) (9), ont montré que la présence d’un frein labial proche du collet peut favoriser, par manque de gencive attachée et par traction frénale, des atteintes parodontales spécifiques dans cette zone. Ces auteurs stipulent, en effet, que l’inflammation induite aussi bien par les irritants de la plaque et le traumatisme du tissu gingival, provoque la prolifération des cellules épithéliales dans le tissu conjonctif avec un effondrement de la surface épithéliale, ceci se traduit cliniquement par une récession parodontale.
Grupe et Warren (1956) (10), décrivent le frein comme étant un facteur secondaire fortement associé aux récessions parodontales
Wennström et Lindhe (1983) (11), affirment que la fréquence de récessions parodontales peut augmenter en cas de gencive attachée étroite associée à des freins iatrogènes. Rodier (1990) (12), montre une association de freins ou de brides à insertion haute dans plus de 80% des récessions. Il conclut aussi dans son étude que la fréquence et la gravité des récessions parodontales sont surtout liées à l’association de plusieurs étiologies telles que la brièveté de gencive attachée combinée avec un frein pathologique.
On peut donc conclure que la présence de freins pathologiques constitue un facteur prédisposant aux récessions parodontales, surtout si ces freins sont associés à d’autres facteurs étiologiques (absence ou faible hauteur et/ou épaisseur de gencive) (13).
La frénectomie est aussi indiquée chez l’adulte présentant un frein impliqué dans un problème parodontal plus global avec présence de poches parodontales sur les faces mésiales des incisives centrales supérieures et inférieures (14).
Les deux cas cliniques sus cités illustrent ces données de la littérature, dans le premier cas le frein médian maxillaire est associé à une poche parodontale de 7 mm en mésial de la 11 et de 5mm en mésial de la 21, et dans le deuxième cas clinique le frein médian mandibulaire est associé à la présence d’une poche parodontale de 5 mm en mésial de la 31.
Si aucune intervention chirurgicale n’est instaurée, les muscles oro-faciaux de la mimique et la mobilité des lèvres et des joues auraient tendance à mobiliser la gencive libre et favoriser l’apparition ou l’aggravation de pathologies parodontales suite à l’accumulation des bactéries et de leurs produits au fond du sulcus gingival (15).
Dans le premier cas clinique, le rétrécissement spontané du diastème secondaire inter-incisif entre la 11 et 21 a été obtenu par la thérapeutique parodontale initiale uniquement, ce constat a été également rapporté par Manor et coll (1984) à travers des cas cliniques (16).
En revanche on a remarqué que la fermeture spontanée du diastème secondaire inter-incisif chez notre patiente a été accélérée après frénectomie, en effet 3 semaines après élimination chirurgicale du frein une fermeture totale du diastème a été constatée. Ce constat est en concordance avec l’étude de Bergström et Jensen (1973) (17) qui ont conclu que la fermeture du diastème médian est plus rapide après frénectomie comparé aux sujets qui n’ont pas subit de frénectomie.
En ce qui concerne le deuxième cas clinique on a associé une greffe épithélio-conjonctivale triangulaire à la frénectomie dans le but d’augmenter la hauteur et l’épaisseur de la gencive kératinisée en regard de la 41 et 31.
Cette approche thérapeutique est décrite par plusieurs auteurs, qui préconisent au maxillaire d’associer la frénectomie à une greffe épithélioconjonctive prélevée sur un site donneur interdentaire vestibulaire adjacent, chaque fois que le frein est très volumineux et à insertion papillaire avec une zone laissée à nu très étendue et si le site est impliqué dans l’esthétique du sourire
À la mandibule une greffe gingivale classique peut être associée à la frénectomie dans l’objectif de renforcer le complexe muco-gingival et approfondir le vestibule (18,19).
CONCLUSION
L’implication des freins pathologiques dans l’étiopathogénie des lésions muco-gingivales a été bien démontrée par plusieurs auteurs. Sans correction chirurgicale, ces freins aberrants peuvent produire des complications graves sur le parodonte marginal et profond.
La frénectomie se présente dans ce cas, comme une technique thérapeutique simple et rapide pouvant répondre à des exigences esthétiques et fonctionnelles, elle assure à la fois l’élimination de la traction du frein pathologique sur la gencive libre, la cicatrisation optimale des chirurgies parodontales, et une fermeture rapide et stable du diastème médian.
BIBLIOGRAPHIE
1. Henry S W, Levin M P, Tsaknis P J. Histologic features of the superior labial frenum. J. Periodontol. 1976, 47: 25-28
2. BENOIT R, GENON P. Indications des thérapeutiques muco-gingivales chez l’enfant et l’adolescent. Rev Dent Stomat , 1985, 3:173-196
3. PLACEK M. et coll. Significance of the labial frenum attachment in periodontal disease in man. J Periodontol 1974, 45 (12): 891-894
4. Boes D, Maujean E, Pougatch P. Interrelation orthodontie-parodontologie. EMC Odontologie Elsevier Paris 1999, 23-448-A-10:1-14
5. Edwards JG. Chirurgie des tissus mous et contention orthodontique. J Edgewise 1980, 1 : 83-89
6. Gottsegen R. Frenum position and vestibule depth in relation to gingival health. School of Dental and Oral Surgery 1953, 26: 1069- 1078
7. Monnet-Corti V, Borghetti A. Chirurgie plastique parodontale et orthodontie. Journal de parodontologie et d’implantologie orale 2000, 19, n° hors-série : 253-266
8. Struillou X, Maujean E, Malet j, Bouchard P. Chirurgie muco-gingivale parodontale et péri-implantaire. EMC, odontologie 2002, 23-445-K-10: 1-11
9. Addy M et coll. A study of association of frenal attachment, and vestibul depth with plaque and gingivitis. J Periodontol 1987, 11: 752-756
10. Grupe HE, Warren RF. Repair of gingival defect by sliding flap operation. J Periodontol 1956, 27: 92-99
11. Wennström J, Lindhe J. Role of attached gingival for maintenance of periodontal health. J Clin Periodontol 1983, 10: 206-221
12. Rodier P. Recherche clinique sur l’étiopathogenie des récessions gingivales. Journal de parodontologie1990, 9, n°3 : 227-234
13. Chousterman M. Etiologies et classifications des récessions parodontales. Réalité clinique 2009, 20, n°2 : 77-86
14. Durand B M. Chirurgie mucogingivale. EMC Paris France 1994, 23-445-K-10: 1-9
15. Lang NP, Löe H. The relationship between the width of keratinized gingiva and gingival health. J Periodontol 1972, 43: 623-627
16. Manor A, Kaffe I, Littner MM . Spontaneous repositionning of migrated teeth following periodontal surgery. J Clin Periodontol 1984, 11: 540-545°
17. Bergström k et coll. The effect of superior labial frenectomy in cases with midline diastema.
Am J Orthod 1973, 63, n° 6: 633-638
18. Borghetti A Guy JP Cesano B. La frénectomie associée à une greffe gingivale triangulaire. J Parodontol 1991, 10: 373-378
19. Sherman Axinn,. Frenectomy plus free graft..The Journal of Prosthetic Dentistry 1983, 50, n° 1: 16-19
















