M. ELFAROUKI, N. KHLIL, J. KISSA
Service de parodontologie
Faculté de médecine dentaire de Casablanca - Maroc
Université Hassan II
RÉSUMÉ
Une association clinique et épidémiologique indéniable et bidirectionnelle existe entre le diabète et les parodontites. L’expérience clinique montre que les patients diabétiques, notamment les mieux contrôlés, constituent de bons candidats aux thérapeutiques parodontales. Toutefois la prise en charge de ces patients ne vise pas toujours à obtenir le luxe thérapeutique, le praticien cherche dans la plupart des cas le compromis thérapeutique visant à stabiliser la maladie parodontale tout en évitant de porter préjudice à l’équilibre du diabète.
Si ceci est valable pour toutes affections de la cavité buccale, l’association du diabète avec une parodontite agressive, avec toutes ses composantes microbienne et de susceptibilité génétique, rend les paramètres de prise en charge plus délicats et le choix thérapeutique plus difficile à mettre en œuvre.
Mots clé : Parodontite agressive, patient diabétique, maladie parodontale, cas clinique.
INTRODUCTION
La parodontite agressive est caractérisée par une perte d’attache et une destruction osseuse rapide, une agrégation familiale des cas, et un état de santé généralement sain. Elle peut se présenter sous deux formes cliniques : une forme localisée qui a un début péri pubertaire, une réponse anti-inflammatoire importante face aux agents infectieux, et se manifeste spécifiquement au niveau des premières molaires et des incisives et au moins deux autres dents permanentes. Une forme généralisée qui affecte des personnes de moins de trente ans, parfois plus, présente une réponse anti-inflammatoire pauvre face aux agents infectieux, une nature épisodique de la perte d’attache et de la destruction osseuse, et une perte d’attache interproximale généralisée affectant au moins trois dents permanentes autres que les premières molaires et les incisives (1,2).
Dans sa pratique quotidienne, le médecin dentiste peut être confronté à des cas de parodontites survenus chez un terrain présentant une maladie systémique.
Certaines pathologies systémiques peuvent avoir une incidence sur l’étiopathogénie, sur l’évolution et sur la prise en charge de la maladie parodontale (3).
En effet, certaines conditions systémiques, ayant des effets généraux sur l’ensemble du corps, sont maintenant considérées comme des facteurs secondaires qui modulent l’apparition de la maladie parodontale. Le diabète est l’un des exemples (4).
Dans ces conditions particulières, il revient au médecin dentiste de prendre les décisions relatives au diagnostic et au traitement de la maladie à la lumière des conditions particulières présentées par le patient et après avoir pris l’avis du médecin traitant.
Le rapport du cas clinique ci-après passe en revue le diagnostic, les étapes du traitement et les particularités de la prise en charge d’une jeune patiente diabétique (diabète type 1) souffrant d’une parodontite agressive généralisée.
CAS CLINIQUE
La patiente C.M âgée de 24 ans est venue accompagnée de sa maman pour nous consulter au service de parodontologie de Casablanca pour une Inflammation gingivale généralisée avec un Saignement spontané associée à une récession de la papille entre 11 et 12 entrainant l’apparition de diastèmes entre les dents.
C’est une jeune étudiante de niveau socio économique moyen, et très soucieuse de son état de santé buccodentaire.
La maman précise qu’elle a eu les mêmes signes depuis son jeune âge et qu’elle a perdu toutes ses dents très précocement.
Anamnèse médicale :
La patiente rapporte qu’elle est diabétique insulino dépendante depuis son jeune âge.
Le contact avec son médecin endocrinologue confirme que son diabète est bien équilibré.
Anamnèse locale :
Les premiers signes évoluent de manière rapide depuis une année. Aucune consultation dentaire n’a été faite auparavant.
La patiente rapporte qu’elle ne se brosse pas ces dents de façon régulière, et qu’elle se brosse ses dents avec une brosse à dents même ancienne.
![]() |
![]() |
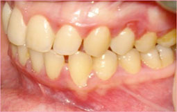
Examen clinique : (fig. 1.2.3.)
Le premier élément à constater après ouverture buccale, est l’hygiène très faible de la patiente avec la présence d’importants dépôts de plaque et de tartre. L’indice de plaque a été estimé à 2,37 alors que l’indice gingival de Silness et Loe était de 2,5.
La gencive est d’aspect inflammatoire, turgescente, saignante au moindre contact, avec présence de diastème et de récession papillaire entre 12 et 11 (fig 1, 2).
Sur le plan dentaire, on note la présence des caries occlusales superficielles sur 16, 26, 27, 34, 36, 46, 47 avec égression de la 11.
L’examen du parodonte profond est résumé dans les tableaux suivants : (tableau 1 et 2) et (fig3)
Après l’analyse de ces tableaux et du scharting on constate :
• La présence de poches profondes sur toutes les dents,
• Que la récession entre la 11 et la 12 est associée à une poche très profonde de 13 mm,
• La présence de perte d’attache avec une fissure gingivale sur la 24.
![]() |
![]() |
![]() |
Examen radiographique :
Le bilan radiographique long cône montre des lyses osseuses marginales à profondes à prédominance angulaires réparties sur la plupart des dents (Fig.4).
La récession papillaire associée au diastème entre la 11 et la 21 peut être facilement expliquée par la lyse profonde entre ces deux dents
Diagnostic :
Les données cliniques et radiologiques associées à un terrain susceptible génétiquement et médicalement (diabète) vont dans le sens d’une parodontite agressive généralisée dans un contexte de diabète insulino dépendant équilibré (5).
![]() |
Pronostic :
Le pronostic global peut être jugé favorable, en raison de l’âge de la patiente, l’équilibre de son diabète, et son degré de motivation (6). Cependant, le pronostic de certaines dents, plus particulièrement la 11, 12 et la 24 peut être jugé réservé à cause du degré de lyse osseuse et la qualité du parodonte (classe 4 de Maynard et Wilson).
Avant d’entamer le traitement, la patiente a été avertie de la possibilité d’aggravation des récessions entre la 11 et la 12 et sur la 24 (7, 8).
Objectifs du traitement :
En raison de l’âge jeune de la patiente, l’objectif principal du traitement était la conservation de toutes les dents et la création de conditions permettant d’assurer une bonne hygiène et de permettre un équilibre du diabète. Ces objectifs peuvent être atteints, d’une part, par la réduction des profondeurs des poches et, d’autre part, par la réduction, ou l’élimination des germes parodonto- pathogènes (6).
Plan de traitement initial :
Pour répondre à nos objectifs de traitement, le plan de traitement suivant a été adopté :
La prise en charge ne nécessite pas de précautions particulières selon son médecin endocrinologue qui a confirmé que la patiente est diabétique insulino dépendante bien équilibrée.
1- Une thérapeutique initiale étiologique selon le principe de désinfection globale de la cavité buccale (one stage Full mouth desinfection) a été réalisée comprenant (9):
• Une motivation à l’hygiène bucco-dentaire,
• Un Détartrage, et un surfaçage des poches parodontales sous irrigation abondante à la chlorhexidine,
• Des Soins de caries,
• Une antibiothérapie à base d’Amoxicilline 500 mg 3 fois par jour et du métronidazole 250mg 3 fois par jour pendant 15 jours.
![]() |
![]() |
2- La réévaluation deux mois après a montré les résultats suivants (fig. 5 ):
L’inflammation gingivale a nettement régressé et les valeurs de sondage sont en réduction. On note aussi la persistance de quelques poches supérieures à 5 mm avec persistance de saignement sur : 16, 26, 36, 11, 12 (tableau 3 et 4).
Les récessions entre la 11 et la 12 et sur la 24 sont devenues plus importantes.
A partir des résultats de la réévaluation, nous avons proposé le Plan de traitement de la phase curative qui comprend :
• Des lambeaux d’accès sur: 16, 26, 36 (fig.6),
• Une réévaluation post chirurgicale,
• Le traitement de la récession de la 12 par une réduction orthodontique associée ou non aux moyens chirurgicaux,
• Une maintenance parodontale.
|
|
Contrôle après 9 mois :
Après 9 mois, on note une nette réduction des poches parodontales avec une valeur maximale de sondage de 3 mm.
Par contre on note une aggravation de la récession sur la 12 et la 11 (fig.7).
Sur le plan radiologique, on note une bonne cicatrisation osseuse entre la 11 et la 12 (fig. 8).
Vu le diabète que présente la patiente ainsi que le degré de lyse osseuse entre la 11 et la 12, la solution chirurgicale n’a pas été adoptée pour le traitement de cette récession.
Après concertation pluridisciplinaires entre parodontie / orthodontie / prothèse conjointe et après avoir eu le consentement de la patiente, notre attitude face à la récession et le diastème entre la 11 et la 12 était l’abstention.
![]() |
|
![]() |
|
DISCUSSION
Compte tenu de la situation parodontale complexe de la patiente au début du traitement et du fait qu’elle présentait une maladie systémique, à savoir un diabète de type I, plusieurs paramètres doivent être pris en considération dans la prise en charge de cette patiente (10).
Le diabète sucré englobe plusieurs affections ayant certaines caractéristiques communes, y compris une faible tolérance au glucose et une réduction du métabolisme des lipides et des glucides (11).
Parmi les effets du diabète sucré au niveau systémique, nous retrouvons :
- Une modification de la paroi vasculaire (micro et macro angiopathies),
- un défaut au niveau du chimiotactisme, de l’adhérence et la phagocytose des leucocytes à l’origine d’une diminution de la résistance de l’hôte.
Au niveau buccal, le diabète est à l’origine de perturbations multiples ayant des répercussions néfastes en particulier sur le parodonte (10, 12).
Plusieurs publications scientifiques confirment que le diabète mal contrôlé, peut présenter un important facteur de risque dans l’étiologie des maladies parodontales (13).
Au niveau parodontal, Le diabète peut en effet engendrer (14)
- Une augmentation de l’activité collagénolytique destructrice des tissus gingivaux et du ligament parodontal,
- Une diminution de la synthèse de collagène,
- Une baisse de la synthèse des composants de la matrice osseuse,
- Et un retard de la cicatrisation.
La maladie parodontale est connue comme étant la sixième complication du diabète (10). Plusieurs études ont montré que l’incidence de la destruction des tissus parodontaux est plus importante chez les patients diabétiques que chez les non diabétiques. Ainsi, Dans une étude sur 1426 personnes, il s’est avéré que le diabète sucré est corrélée positivement à la maladie parodontale avec un odds ratio de 2,32 (Grossi et coll 1996) (17).
Cependant, il a été suggéré qu’un traitement parodontal adéquat chez le patient diabétique peut être bénéfique dans la réduction des complications du diabète (10,15,16).
On comprend ainsi, qu’en plus de la susceptibilité génétique de la patiente et de son hygiène buccale médiocre, le diabète peut constituer un facteur de risque et de pronostic à considérer dans notre cas.
Après les séances de débridement parodontal, les indices d’inflammation gingivale se sont nettement améliorés, ceci peut être expliqué par la grande collaboration de la patiente et par l’équilibre de son diabète.
Malgré les bons résultats obtenus sur le plan gain d’attache et réduction de l’inflammation, l’aggravation du trou noire entre la 11 et la 12 dérange la patiente.
La discussion avec l’orthodontiste a permis de conclure que le traitement orthodontique ne va pas être la solution idéale vu que tous les paramètres de finition que recherche un orthodontiste dans son traitement sont présents dans notre cas clinique, et qu’il est inutile de perturber l’équilibre de sa denture par un appareillage orthodontique.
La solution chirurgicale par technique de chirurgie plastique ou par technique de régénération tissulaire a été écartée vu l’importance de la résorption osseuse à ce niveau et l’état général de la patiente qui risque de compromettre une bonne cicatrisation (10).
CONCLUSION
La relation réciproque entre le diabète et les maladies parodontales rend la prise en charge du patient diabétique plus particulière et oblige le médecin dentiste à réaliser un traitement de compromis à la recherche d’une stabilité maximale des paramètres cliniques sans toutefois s’investir dans des thérapeutiques plus sophistiquées.
BIBLOGRAPHIE
2- G. ARMITAGE , M. CULLINAN. Comparison of the clinical features of chronic and aggressive periodontitis. Periodontol 2000, 53, 2010,( 12–27)
3- M. REDDY. Reaching a better understanding of non-oral disease and the implication of periodontal infections, Periodontol 2000, 44, 2007, (9–14)
4- M. FREMONT, C. MICHEAU. Relations entre maladies systémiques et maladies parodontales. LE FIL DENTAIRE, N°31, mars 2008
5- M. Ruppert, F. Berres et C. Marinell., Parodontite agressive généralisée sévère et diabète instable de type I Diagnostic, traitement, suivi Présentation d’un cas . Rev mens suisse 1 1 3 : 5 / 2 0 0 3
6- N. Samet, A.Jotkowitz. Classification and prognosis evaluation of individual teeth—A c omprehensive approach. Quintessence Int 2009;40: (377–387)
7- J. Charon. Lithotritie parodontale non chirurgical., LE FIL DENTAIRE N°19 JANVIER 2007
8- P. ADRIAENS , L. ADRIAENS, Effects of nonsurgical periodontal therapy on hard and soft tissues. Periodontol 2000, 36, 2004, (121–145)
9- W.TEUGHELS, C.DEKEYSER, M. VAN ESSCHE, M QUIRYNE. One-stage, full-mouth disinfection: fiction or reality?, Periodontol 2000, Vol. 50, 2009, (39–51)
10- M. RHISSASSI, L.ABDELLAOUI, N.BENZARTI. prise en charge parodontale des patients diabétiques. Rev. Odonto.Stomat, mai 2006, (121- 134)
11- H. NASSAR, A. KANTARCI , T. VAN DYKE. Diabetic periodontitis: a model for activated innate immunity and impaired resolution of inflammation. Periodontol 2000, 43, 2007, (233–244)
12- L. Kuo_, A. Polson, T. Kang, associations between periodontal diseases and systemic diseases: A review of the inter-relationships and interactions with diabetes, respiratory diseases, cardiovascular diseases and osteoporosis. Public Health 122, (2008), ( 417–433)
13- S Bjelland, P Bray,N Gupta, R Hirsch†, Dentists, diabetes and periodontitis, Aust Dent Journal 2002; 47:(3): (202-207)
14- Seymour GJ, Ford PJ, Cullinan MP, Leishman S, Yamazaki K. Relationship between periodontal infections and systemic disease. Clin Microbiol Infect. 2007;13 Suppl (4:3-10)
15- RG. Nelson. Periodontal disease and diabetes. Oral Dis. 2008; 14:(204-5.)
16- F.-J Silvestre , L. Miralles et al . Type 1 diabetes mellitus and periodontal disease: Relationship to different clinical variables, Med Oral Patol Oral Cir Bucal. 2009 Apr 1;14 (4):(E175-9.)
17- Grossi et coll. Response to Periodontal. Therapy in diabetics and Smokers. J. Clin. Periodontol. 1996, 67, 10 : 1094-1101

















