A. TAJMOUATI
Orthodontiste en privé - Casablanca
Le traitement orthodontique des patients ayant une béance dentaire antérieure continue à être un sujet de controverse dans la littérature orthodontique. La béance antérieure peut être d'origine squelettique ou dentoalvéolaire. Cette distinction n'est pas toujours claire puisque dans la plupart des cas, il existe une combinaison des deux étiologies.
Le traitement non chirurgical consiste généralement à faire des extractions pour créer une compensation dentoalvéolaire. En effet, le mouvement antérieur des molaires peut permettre une rotation antérieure de la mandibule et la rétraction des incisives supérieures entraîne une élongation coronaire de ces incisives qui nous aide dans la fermeture de cette béance.
![]() |
![]() |
|
DIAGNOSTIC
Une jeune femme âgée de 20 ans s'est présentée au cabinet avec une béance antérieure importante et une interposition linguale.
L'examen clinique (Fig. 1) révèle :
- Une déglutition atypique (interposition linguale),
- Une CI 1 dentaire,
- Des chevauchements au niveau du maxillaire supérieur,
- Un overbite négatif de -4 mm,
- Une hauteur de la face inférieure excessive.
![]() |
L'analyse céphalométrique (Fig. 2) révèle :
- Une CI 1 Squelettique,
- Une béance antérieure de 4 mm,
- Une augmentation de l'étage inférieur de la face,
- Une vestibulo-version importante des incisives supérieures et inférieures.
![]() |
PLAN DE TRAITEMENT
On a enlevé l'appareil après 18 mois de traitement actif, et on a demandé à la patiente de porter un appareil de contention de type Hawley au maxillaire et à la mandibule.
![]() |
![]() |
![]() |
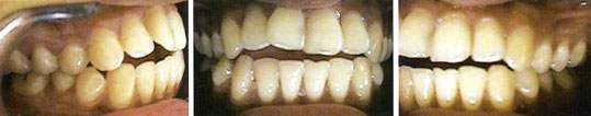
RESULTATS DU TRAITEMENT (Fig. 3,4 & 5)
Une série de mesures céphalométriques ont été réalisées pour évaluer les résultats.
En effet, la superposition des tracés cephalométriques avant et après traitement nous montre :
- Une amélioration de la compétence labiale et de l'apparence générale due à la réduction de la proalvéolie supérieure et inférieure,
- Une fermeture de la béance antérieure.En effet, l'overbite a été amélioré de -4mm à 2 mm ceci peut être attribué à l'égression et à la linguo-version des incisives supérieures et inférieures,
- Une avancé des premières molaires supérieures de 2 mm par rapport au plan ptérygoïdien tout en contrôlant leur égression,
- La hauteur de la face inférieure n'a pas été changée.
![]() |
![]() |
On a obtenu l'égression des incisives supérieures et le contrôle de l'extrusion des molaires supérieures grâce à une application judicieuse de la biomécanique. En effet, un " V-bend " antérieur produit une force égressive au niveau du groupe incisivo-canin et une force ingressive au niveau des molaires (Fig. 6).
![]() |
|
![]() |
|
CONCLUSION
Le traitement des béances dentaires antérieures est parmi les problèmes les plus difficiles à gérer pour un orthodontiste. L'utilisation judicieuse de la biomécanique est importante pour la fermeture des béances. Ceci peut être réalisé par une intrusion des molaires, extrusion des incisives ou une combinaison des deux.


















