N. HASSEN, R. OUALHA, A. BAAZIZ, N. DOUKI
Service de Prothèse
CHU Sahloul Sousse. Tunisie
RÉSUMÉ
L’amélogenèse imparfaite est une pathologie héréditaire qui se manifeste principalement par des anomalies de structure de l’émail généralisées pouvant atteindre toutes les dents des deux dentures, temporaire et permanente. D’autres manifestations cliniques peuvent également y être associées.
Les restaurations prothétiques visent à rétablir l'esthétique et à maintenir les fonctions masticatoires et phonétiques ainsi que la longueur d’arcade et la dimension verticale d’occlusion. Les autres objectifs sont de prévenir un éventuel traumatisme psychologique dû à l’absence des dents et à l’apparition d’habitudes néfastes tels que l’interposition de la langue entre les dents, le maintien d’une déglutition infantile…
Chez l’enfant, les traitements prothétiques comprennent, soit des restaurations prothétiques fixes (anomalies de structure, anomalies de forme), soit des restaurations prothétiques amovibles (agénésies, édentations partielle ou totale).
Nous présentons le cas d’une patiente de 12 ans, atteinte d’une amélogenèse imparfaite préjudiciable d’un point de vue esthétique. Les étapes de la réalisation de restaurations prothétiques provisoires fixes et amovibles sont détaillées.
Mots clés : Enfant, Amélogenèse imparfaite, prothèse dentaire amovible, couronne.
Nous présentons le cas d’une patiente de 12 ans, atteinte d’une amélogenèse imparfaite préjudiciable d’un point de vue esthétique. Les étapes de la réalisation de restaurations prothétiques provisoires fixes et amovibles sont détaillées.
Mots clés : Enfant, Amélogenèse imparfaite, prothèse dentaire amovible, couronne.
INTRODUCTION
L’amélogenèse imparfaite est une pathologie héréditaire qui se manifeste principalement par des anomalies de structure de l’émail généralisées pouvant atteindre toutes les dents des deux dentures, temporaire et permanente qui touche selon les études de 1/700 à 1/14000 personnes (1).
Dans un contexte d’amélogenèse imparfaite, la prise en charge prothétique précoce est de règle et il faut que toutes les dents présentes postérieures soient dès que possible recouvertes de coiffes pédodontiques préformées et toutes les dents absentes soient remplacées par la prothèse amovible.
La prothèse pédiatrique en odontologie évoque encore trop souvent une intervention traumatisante non adaptée à l'âge infantile. Pourtant les conséquences majeures du manque de références occlusales, tant dans l'évolution physiologique que psychologique de l'enfant, ne laissent aucun doute sur la nécessité d'une réhabilitation prothétique.
L'évidence de la nécessité d'une intervention prothétique une fois acceptée, encore faut-il en poser les méthodes de réalisation pour une réussite optimale (2).
La conception de la prothèse devra tenir compte des phénomènes de croissance et d'éruption qui vont se produire dans un avenir proche ou lointain.
Dans un contexte d’amélogenèse imparfaite, la prise en charge prothétique précoce est de règle et il faut que toutes les dents présentes postérieures soient dès que possible recouvertes de coiffes pédodontiques préformées et toutes les dents absentes soient remplacées par la prothèse amovible.
La prothèse pédiatrique en odontologie évoque encore trop souvent une intervention traumatisante non adaptée à l'âge infantile. Pourtant les conséquences majeures du manque de références occlusales, tant dans l'évolution physiologique que psychologique de l'enfant, ne laissent aucun doute sur la nécessité d'une réhabilitation prothétique.
L'évidence de la nécessité d'une intervention prothétique une fois acceptée, encore faut-il en poser les méthodes de réalisation pour une réussite optimale (2).
La conception de la prothèse devra tenir compte des phénomènes de croissance et d'éruption qui vont se produire dans un avenir proche ou lointain.
PRÉSENTATION DU CAS CLINIQUE
Jeune patiente M.O de 12 ans s’est présentée avec une insatisfaction esthétique et une fonction masticatoire compromise.
ANAMNESE :
la patiente ne présentait aucune atteinte des phanères avec des cheveux et des ongles. L’échographie rénale n’a montré aucun signe de néphro-calcinose.
Les parents de la patiente ont signalé que le frère présentait le même tableau clinique.
Les parents de la patiente ont signalé que le frère présentait le même tableau clinique.
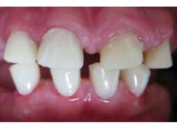
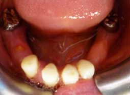
EXAMEN CLINIQUE : (Fig 1, 2, 3)
La patiente présentait une hygiène insuffisante avec accumulation de plaque et une gingivite généralisée. L’examen dentaire a montré un retard d’éruption des canines, des prémolaires et des deuxièmes molaires. Les dents sur arcade présentaient un émail mince, coloré, hypoplasique avec des fractures ; déficitaire en quantité mais correctement minéralisé, dur et brillant et exposition de la dentine par endroits. La 16 et la 26 présentaient des lésions carieuses étendues.
L’examen de l’occlusion a montré des couronnes cliniques courtes avec perte de la dimension verticale.
Le frein médian supérieur était bas situé.
L’examen de l’occlusion a montré des couronnes cliniques courtes avec perte de la dimension verticale.
Le frein médian supérieur était bas situé.
![]() |
Cliché panoramique:
Radiologiquement l’email a approximativement la même radio opacité que la dentine, mais déficitaire par endroits.
Les dents favorables à l’éruption sont : 17, 14, 15, 24, 25, 27, 34 et 4.
Les dents défavorables à l’éruption sont : 13, 23, 37, 35, 33, 43, 45 et 47.
La 11 est une dent à apex ouvert avec antécédent de luxation et de réimplantation.
Les dents favorables à l’éruption sont : 17, 14, 15, 24, 25, 27, 34 et 4.
Les dents défavorables à l’éruption sont : 13, 23, 37, 35, 33, 43, 45 et 47.
La 11 est une dent à apex ouvert avec antécédent de luxation et de réimplantation.
DIAGNOSTIC :
A partir des données cliniques et radiographiques, le diagnostic de l'Amélogenèse Imparfaite Hypoplasique selon la classification de Witkop fût posé (3).
Les conséquences de l'Amélogenèse Imparfaite sont résumées dans le diagramme suivant : (4)
Les conséquences de l'Amélogenèse Imparfaite sont résumées dans le diagramme suivant : (4)
![]() |
OBJECTIFS DU TRAITEMENT
Le traitement prothétique de l’amélogenèse imparfaite est long et complexe. Il fait intervenir des restaurations prothétiques provisoires et évolutives en fonction de la croissance de l’enfant et du stade de dentition (5).
Il s’agit dans un premier temps de coiffer les molaires permanentes afin de conserver la vitalité du complexe dentino-pulpaire, d’assurer la fin de l’apexogenèse et surtout conserver ou rétablir la dimension verticale. Les coiffes au niveau des molaires seront en acier inoxydable (6).
Il s’agit dans un premier temps de coiffer les molaires permanentes afin de conserver la vitalité du complexe dentino-pulpaire, d’assurer la fin de l’apexogenèse et surtout conserver ou rétablir la dimension verticale. Les coiffes au niveau des molaires seront en acier inoxydable (6).
En association avec ces coiffes en acier inoxydable pour molaire, les moules en polycarbonate posées sur les incisives et canines sont réalisés au fur et à mesure de l’éruption des dents permanentes atteintes contribuant à la conservation de la longueur des arcades et atténuant les préjudices esthétiques.
Si besoin, un traitement orthodontique peut être entrepris : les molaires peuvent être baguées et les boîtiers orthodontiques peuvent être fixés sans problème sur les moules en polycarbonate.
Si besoin, un traitement orthodontique peut être entrepris : les molaires peuvent être baguées et les boîtiers orthodontiques peuvent être fixés sans problème sur les moules en polycarbonate.
Dans un deuxième temps la réhabilitation par la prothèse partielle amovible présente de nombreux avantages à savoir :
• Rétablir un équilibre biomécanique,
• Maintenir l’espace,
• Restaurer l’esthétique,
• Etre modifiable en fonction de l’évolution des dents permanentes et de la croissance (réalisation de fenestrations au moment de l’éruption des dents permanentes),
• Peu onéreuse.
Le plan de traitement :
Le volet préprothétique comprend :
- Motivation à l’hygiène et enseignement d’une bonne méthode de brossage,
- Application fluorée prophylactique,
- Détartrage surfaçage radiculaire,
Traitement endodontique sur la 12, apexification sur la 11 et traitement endodontique sur les deux premières molaires permanentes maxillaires 16 et 26 (Fig 4),
- Application fluorée prophylactique,
- Détartrage surfaçage radiculaire,
Traitement endodontique sur la 12, apexification sur la 11 et traitement endodontique sur les deux premières molaires permanentes maxillaires 16 et 26 (Fig 4),
![]() |
Extraction des dents temporaires, élongation coronaire chirurgicale des secteurs antérieurs supérieur et inférieur (Fig 5) et freinectomie (Fig 6).
La phase prothétique proprement dite comprend :
1- La réalisation de coiffe pédodontique préformée sur les dents de six ans (Fig 7, 8, 9),
2- La réalisation de couronnes en polycarbonate au niveau des secteurs antérieurs (Fig 10),
3- La réalisation d’une prothèse amovible (Fig 11, 12, 13),
4- Un suivi régulier et un contrôle de l’éruption des dents (Fig 14, 15, 16, 17).
1- La réalisation de coiffe pédodontique préformée sur les dents de six ans (Fig 7, 8, 9),
2- La réalisation de couronnes en polycarbonate au niveau des secteurs antérieurs (Fig 10),
3- La réalisation d’une prothèse amovible (Fig 11, 12, 13),
4- Un suivi régulier et un contrôle de l’éruption des dents (Fig 14, 15, 16, 17).
L’apport de la prothèse : Reproduire les critères d’occlusion physiologique
En denture temporaire
- Dans le sens vertical:
L’engrènement est peu prononcé, le croisement incisif et canin est faible et le relief des dents est peu marqué.
- Dans le sens vestibulo-lingual:
L’arcade supérieure est en vestibuloclusie par rapport à l’arcade mandibulaire, et il peut exister des diastèmes entre les incisives et les canines.
- Dans le sens mésio-distal:
Chaque dent s’articule sur 2 dents antagonistes (sauf l’incisive centrale mandibulaire), les groupes molaires sont en rapport cuspides fosses et les plans terminaux ne sont pas forcément identiques à droite et à gauche (7).
D’autres caractéristiques d’occlusion temporaire sont à prendre en compte, avec un plan d’occlusion presque plat, une absence de courbes de Spee ou de Wilson, et l’axe des dents est perpendiculaire à ce plan d’occlusion. Mais l’évolution des rapports maxillo-mandibulaires au cours de la croissance doit aussi être intégrée en accompagnement de l’âge de l’enfant, et, le moment venu, il faudra reproduire l’usure des faces occlusales des dents temporaires qui permettent progressivement la propulsion mandibulaire, et le bout à bout incisif (8).
La réalisation de diastèmes au niveau du bloc incisivo-canin, le passage à une denture mixte (en adaptant si besoin des incisives permanentes mandibulaires quand la croissance en largeur est insuffisante) vont permettre à l’enfant un résultat esthétique et une progression psychologique indispensables à son intégration sociale (9).
- Dans le sens vertical:
L’engrènement est peu prononcé, le croisement incisif et canin est faible et le relief des dents est peu marqué.
- Dans le sens vestibulo-lingual:
L’arcade supérieure est en vestibuloclusie par rapport à l’arcade mandibulaire, et il peut exister des diastèmes entre les incisives et les canines.
- Dans le sens mésio-distal:
Chaque dent s’articule sur 2 dents antagonistes (sauf l’incisive centrale mandibulaire), les groupes molaires sont en rapport cuspides fosses et les plans terminaux ne sont pas forcément identiques à droite et à gauche (7).
D’autres caractéristiques d’occlusion temporaire sont à prendre en compte, avec un plan d’occlusion presque plat, une absence de courbes de Spee ou de Wilson, et l’axe des dents est perpendiculaire à ce plan d’occlusion. Mais l’évolution des rapports maxillo-mandibulaires au cours de la croissance doit aussi être intégrée en accompagnement de l’âge de l’enfant, et, le moment venu, il faudra reproduire l’usure des faces occlusales des dents temporaires qui permettent progressivement la propulsion mandibulaire, et le bout à bout incisif (8).
La réalisation de diastèmes au niveau du bloc incisivo-canin, le passage à une denture mixte (en adaptant si besoin des incisives permanentes mandibulaires quand la croissance en largeur est insuffisante) vont permettre à l’enfant un résultat esthétique et une progression psychologique indispensables à son intégration sociale (9).
DISCUSSION
À son arrivée, la patiente présente un déficit esthétique évident mais également une problématique fonctionnelle majeure avec une DVO effondrée. La seule proposition de réaliser une réhabilitation prothétique à l’âge adulte n’est bien sûr pas acceptable pour elle ni pour ses parents (10). Quand l’enfant est vu très tôt, la réhabilitation la plus souvent mise en œuvre est la prothèse adjointe:
– par son faible coût elle permet un bon accompagnement de la croissance, car elle peut être rebasée ou renouvelée à la demande,
– elle résout les problèmes liés à l’apparition des quelques dents existantes, car elle autorise d’évider la prothèse en regard,
– elle permet de remplacer les dents temporairement en cas de retard d’éruption,
– par son faible coût elle permet un bon accompagnement de la croissance, car elle peut être rebasée ou renouvelée à la demande,
– elle résout les problèmes liés à l’apparition des quelques dents existantes, car elle autorise d’évider la prothèse en regard,
– elle permet de remplacer les dents temporairement en cas de retard d’éruption,
– elle demande un peu de coopération aux parents, mais son suivi est aisé.
La réalisation doit tenir compte de l’âge de l’enfant au moment des soins, de l’évolution de sa croissance et des critères d’occlusion en denture temporaire ou permanente.
La mise en place de coiffes pédodontiques présente également l’avantage de ne nécessiter qu’une préparation à minima de la dent, répondant ainsi aux principes d’économie tissulaire. La mise en place de coiffes pédodontiques préformées le plus tôt possible au niveau des molaires temporaires permet de prévenir l'apparition des conséquences néfastes allant de l’atteinte carieuse précoce jusqu’à la perte des dents (11). De la même façon, il est souhaitable de protéger les premières molaires permanentes le plus rapidement possible après leur éruption. Il a été démontré que le risque carieux est plus élevé chez les patients présentant une amélogenèse imparfaite que dans la population générale (1). Il est également possible, après préparation minimale des dents antérieures, d’utiliser des couronnes en résine polycarbonate scellées au ciment verre ionomère (type Fuji I). Ces moules doivent être essayées et ajustées sur les dents antérieures.
Il semble important de restaurer l’esthétique antérieure avant, en effet la patiente entre dans l’adolescence et le préjudice esthétique commence à avoir des répercussions psychologiques. L’utilisation de facettes composites était contre indiquée vue la détérioration importante de l’émail avec des dents de petites tailles donc il est décidé de restaurer les incisives maxillaires et mandibulaires par des restaurations prothétiques provisoires fixes avec des couronnes préfabriquées en polycarbonate après une préparation à minima de ces dents.
Les premières molaires définitives maxillaires et mandibulaires sont toutes présentes également dans un contexte d’amélogenèse imparfaite, il semble souhaitable qu’elles soient dès que possible recouvertes de coiffes pédodontiques préformées pour les protéger et assurer en grande partie la fonction (12).
La particularité de ce cas d’amélogenèse imparfaite c’est que plusieurs dents incluses ne vont pas faire leur éruption à part les prémolaires maxillaires et les premières prémolaires mandibulaires donc on a décidé d’extraire les molaires temporaires et réaliser des prothèses partielles amovibles pour restaurer les dents absentes et stimuler l’éruption de ces prémolaires.
La mise en place de coiffes pédodontiques présente également l’avantage de ne nécessiter qu’une préparation à minima de la dent, répondant ainsi aux principes d’économie tissulaire. La mise en place de coiffes pédodontiques préformées le plus tôt possible au niveau des molaires temporaires permet de prévenir l'apparition des conséquences néfastes allant de l’atteinte carieuse précoce jusqu’à la perte des dents (11). De la même façon, il est souhaitable de protéger les premières molaires permanentes le plus rapidement possible après leur éruption. Il a été démontré que le risque carieux est plus élevé chez les patients présentant une amélogenèse imparfaite que dans la population générale (1). Il est également possible, après préparation minimale des dents antérieures, d’utiliser des couronnes en résine polycarbonate scellées au ciment verre ionomère (type Fuji I). Ces moules doivent être essayées et ajustées sur les dents antérieures.
Il semble important de restaurer l’esthétique antérieure avant, en effet la patiente entre dans l’adolescence et le préjudice esthétique commence à avoir des répercussions psychologiques. L’utilisation de facettes composites était contre indiquée vue la détérioration importante de l’émail avec des dents de petites tailles donc il est décidé de restaurer les incisives maxillaires et mandibulaires par des restaurations prothétiques provisoires fixes avec des couronnes préfabriquées en polycarbonate après une préparation à minima de ces dents.
Les premières molaires définitives maxillaires et mandibulaires sont toutes présentes également dans un contexte d’amélogenèse imparfaite, il semble souhaitable qu’elles soient dès que possible recouvertes de coiffes pédodontiques préformées pour les protéger et assurer en grande partie la fonction (12).
La particularité de ce cas d’amélogenèse imparfaite c’est que plusieurs dents incluses ne vont pas faire leur éruption à part les prémolaires maxillaires et les premières prémolaires mandibulaires donc on a décidé d’extraire les molaires temporaires et réaliser des prothèses partielles amovibles pour restaurer les dents absentes et stimuler l’éruption de ces prémolaires.
Un contrôle régulier doit être effectué avec des rectifications des PPA en fonction de l’éruption des dents et on prévoit dans l’avenir de protéger les prémolaires par des couronnes en polycarbonate ce qui va nous permettre à un âge plus avancé de réaliser un traitement global définitif par la prothèse fixée.
BIBLIOGRAPHIE
1- Aldred M., Bloch-Zupan A., Crawford P.
Amelogenesis imperfecta Orphanet Journal of Rare Disease : Avril 2007; 10.1186/1750-1172- 2:17
2- Scheffer F., Frayssé C., Dard M.
Prothèse chez l’enfant. EncyclMédChir (Elsevier, Paris), Stomatologie-Odontologie, 23-425-C-10, 1992 : 5 p
3- Aldred M.J., Savariayan R., Crawford P.J.M.
Amelogenesis imperfecta: a classification and catalogue for the 21st century. Oral Diseases 2003, 10.1034/j.1601-0825.2003.00843
4- Beslot A., Villette F.
Prise en charge précoce de l’amélogenèse imparfaite L’INFORMATION DENTAIRE - 27 janvier 2010 ; 4 -11-19
5- Wright J.T.
Analysis of a kindred with amelogenesis imperfecta : 28 APRIL 2006 : 14, 5, 366–374,
6- Fortier J.P., Villette F., Landru M.M., Aldin P.
Anomalies de structure. À propos de deux cas cliniques : importance du maintien ou du rétablissement de la dimension verticale d’occlusion. J Odonto-StomatolPédiatr 1998 ; 8 : 59-64
7- Law Kwok-Tung, Nigel M. King
The Restorative Management of Amelogenesis Imperfecta in the Mixed Dentition
J Clin Pediatr Dent 2006 ; 31(2):130-135,
8- Goodacre C.J., Brown D.T.
Prosthodontic treatment of the adolescent patient.In : McDonald RE, Avery DR eds. Dentistry for the child and adolescent. Saint-Louis : Mosby-Year Book, 1994 : 64-591
9- Demars-Fremault C, Pilipili MC, Defat MC, Majon M.
Réflexions sur la restauration prothétique chez l’enfant. Rev Belge MédDent 1992 ; 47 : 48-60
10- Lopez-Cazaux S., BARONI K., Alliot-lich B., Roy E.
Facettes composites préformées Componeer : utilisation chez un enfant présentant une amélogenèse imparfaite Clinic 2012 ; 33 ; 397-403
11- Collins M.A, Mauriello S.M, Tyndall D.A, Wright J.T.
Dental anomalies associated with amelogenesisimperfecta: a radiographic assessment. Oral Surg Oral Med Oral Pathol Oral Radiolndod.1999 Sep; 88(3):358-64.
12- Ajacques JC.
Anomalies dentaires. EncyclMédChir (Elsevier, Paris), Stomatologie-Odontologie1993, 22-032-H-10, : 16 p
Amelogenesis imperfecta Orphanet Journal of Rare Disease : Avril 2007; 10.1186/1750-1172- 2:17
2- Scheffer F., Frayssé C., Dard M.
Prothèse chez l’enfant. EncyclMédChir (Elsevier, Paris), Stomatologie-Odontologie, 23-425-C-10, 1992 : 5 p
3- Aldred M.J., Savariayan R., Crawford P.J.M.
Amelogenesis imperfecta: a classification and catalogue for the 21st century. Oral Diseases 2003, 10.1034/j.1601-0825.2003.00843
4- Beslot A., Villette F.
Prise en charge précoce de l’amélogenèse imparfaite L’INFORMATION DENTAIRE - 27 janvier 2010 ; 4 -11-19
5- Wright J.T.
Analysis of a kindred with amelogenesis imperfecta : 28 APRIL 2006 : 14, 5, 366–374,
6- Fortier J.P., Villette F., Landru M.M., Aldin P.
Anomalies de structure. À propos de deux cas cliniques : importance du maintien ou du rétablissement de la dimension verticale d’occlusion. J Odonto-StomatolPédiatr 1998 ; 8 : 59-64
7- Law Kwok-Tung, Nigel M. King
The Restorative Management of Amelogenesis Imperfecta in the Mixed Dentition
J Clin Pediatr Dent 2006 ; 31(2):130-135,
8- Goodacre C.J., Brown D.T.
Prosthodontic treatment of the adolescent patient.In : McDonald RE, Avery DR eds. Dentistry for the child and adolescent. Saint-Louis : Mosby-Year Book, 1994 : 64-591
9- Demars-Fremault C, Pilipili MC, Defat MC, Majon M.
Réflexions sur la restauration prothétique chez l’enfant. Rev Belge MédDent 1992 ; 47 : 48-60
10- Lopez-Cazaux S., BARONI K., Alliot-lich B., Roy E.
Facettes composites préformées Componeer : utilisation chez un enfant présentant une amélogenèse imparfaite Clinic 2012 ; 33 ; 397-403
11- Collins M.A, Mauriello S.M, Tyndall D.A, Wright J.T.
Dental anomalies associated with amelogenesisimperfecta: a radiographic assessment. Oral Surg Oral Med Oral Pathol Oral Radiolndod.1999 Sep; 88(3):358-64.
12- Ajacques JC.
Anomalies dentaires. EncyclMédChir (Elsevier, Paris), Stomatologie-Odontologie1993, 22-032-H-10, : 16 p










