Z. ISMAILI, O.K. ENNIBI, R. BOUAMARA, N. BENZARTI
Service de Parodontie
Centre de Consultations et de Traitements Dentaires de Rabat - Maroc
Université Mohamed V
RÉSUMÉ
La fusée arsenicale représente la complication majeure suite à l'utilisation de l'anhydride arsénieux lors des dépulpations dentaires. Ce produit, abandonné en Europe et en Amérique, continue à faire des "ravages" au Maroc.
A travers la présentation de deux situations cliniques reçues au service de Parodontie du Centre de Consultations et de Traitements Dentaires de Rabat après escarrification pulpaire, nous tenterons de convaincre nos confrères de faire bannir ce procédé des cabinets dentaires
Mots- clés : Dépulpations dentaires, Anhydride arsénieux, Fusée arsenicale.
Abandonnée en Amérique depuis 1920, bannie en Europe depuis quelques années, l'utilisation de l'anhydride arsénieux continue à "sévir" dans notre pays et dans les cabinets de nos praticiens.
D'abord utilisé comme anesthésique dentinaire, puis comme anesthésique pulpaire jusqu'en 1905, l'anhydride arsénieux est ensuite employé pour l'escarrification de la pulpe. L'escarrification se définit comme "une nécrose iatrogène totale, médicamenteuse, aseptique de la pulpe" consécutive à l'application d'anhydride arsénieux afin de dépulper une dent (1).
Toutefois, comme le souligne LACAZEDIEU (2), "les incertitudes dans le mécanisme d'action de l'anhydride arsénieux, la "fausse" facilité et le peu de fiabilité de son emploi, les exigences biologiques et ergonomiques d'une thérapeutique chirurgicale d'exérèse tissulaire justifient l'abandon définitif de ce produit en endodontie".
A partir de deux cas colligés au Service de Parodontie du Centre de Consultations et de Traitements Dentaires de Rabat, illustrant la complication majeure rencontrée après emploi d'anhydride arsénieux : la fusée arsenicale, les auteurs tentent de sensibiliser les confrères sur les dangers de ce produit.
TECHNIQUE D’UTILISATION
L’utilisation de l’anhydride arsénieux impose une rigueur d’emploi qui ne tolère aucune faille. Un certain nombre de règles sont à respecter :
- Isoler la dent de la salive,
- Eliminer toutes traces de dentine ramollie jusqu'à avoir des pourtours nets et durs de la cavité,
- Mettre la pulpe à nu,
- Vérifier que les bords résiduels de la cavité présentent au moins deux millimètres de dentine et d’émail durs et sains,
- Réséquer tout polype gingival,
- Arrêter impérativement et complètement tout saignement ou suintement,
- Mettre en place le pansement arsenical sans compression,
- Placer une obturation provisoire parfaitement hermétique et étanche afin de réduire tout risque de fuite de l’arsenic. Le matériau de choix selon les auteurs reste le ciment aux orthophosphates, alors que l’eugénate laisse redouter une diffusion,
- Insister enfin, pour que le patient se présente au prochain rendez-vous.
Toutes ces conditions restent difficiles à vérifier totalement et toute lacune dans la rigueur du protocole peut être à l’origine de complications graves.
INCONVÉNIENTS
De plus, le recours à l'escarrification pulpaire par l’anhydride arsénieux reste chargé d'incertitudes telles que (1) :
- le degré d'escarrification tributaire de nombreux paramètres dont la masse de tissu pulpaire, l'âge pulpaire, le dosage "vague" de l'anhydride arsénieux, la durée d'application idéale …
- la persistance de douleurs pulpaires et parfois desmodontales,
- le risque de surinfections par dissémination bactérienne à partir de la surface dentinaire au sein de la pulpe nécrosée,
- le protocole opératoire extrêmement rigoureux est difficile à respecter.
OBSERVATIONS CLINIQUES
Cas n°1 :
Mlle S. B., âgée de 17 ans, en bon état de santé générale, se présente au service de Parodontie du Centre de Consultations et de Traitements Dentaires de Rabat, adressée par son praticien.
La patiente se plaint d'une légère mobilité au niveau de la 25, mais d'aucune autre symptomatologie.
D'après l'interrogatoire de la patiente et le courrier du confrère, il apparaît que Mlle S.B. a consulté son médecin dentiste en urgence pour une pulpite au niveau de la 25 suite à une carie profonde sur la face distale. Le praticien décide alors de "soulager" la patiente, par la mise en place d'un anhydride arsénieux après écornement de la chambre pulpaire et obturation de la cavité d'accès par un pansement provisoire à base d'oxyde de zinc - eugénol. Le praticien fixe rendez-vous à la patiente 3 jours après, mais celle-ci ne se représente au cabinet qu'au bout d'un mois.
Constatant les dégâts de la fusée arsenicale, le praticien élimine l'obturation et le "nécro", entreprend une irrigation abondante du canal et de la chambre pulpaire, obture la dent et met la patiente sous antibiotiques.
L'examen clinique révèle (Fig. 1 et 2) :
- une obturation provisoire occluso-distale au niveau de la 25,
- la perte de la papille interdentaire entre la 25 et la 26,
- la mise à nu du septum interdentaire qui présente un aspect blanchâtre,
- une mobilité de degré 1 de la 25.
|
|
|
|
|
|
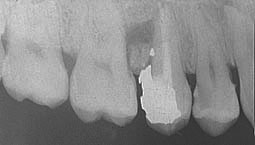
L'examen radiologique montre (Fig. 3) :
- une obturation coronaire de la 25,
- des canaux radiculaires alésés mais non obturés de la 25,
- un séquestre osseux bien délimité au niveau du septum interdentaire entre la 25 et la 26.
L'attitude thérapeutique est alors chirurgicale, avec réalisation d'un lambeau et élimination du séquestre osseux.
Après anesthésie, le lambeau est élevé laissant apparaître le séquestre osseux. Celui-ci est légèrement mobile mais reste maintenu au niveau de l'espace interdentaire (Fig. 4).
Le séquestre est éliminé après fragmentation, et la lésion est curetée (Fig. 5 et 6). Il est à souligner qu'une attention particulière est accordée à l'examen de la furcation mésiale de la 26 qui s'avère ne pas être atteinte.
|
|
|
|
|
|
Ensuite, le lambeau est repositionné et suturé (Fig. 7).
Une radiographie de contrôle est réalisée afin de vérifier le niveau osseux résiduel (Fig. 8). Ce dernier atteint la mi-hauteur radiculaire et donc permet d'établir un pronostic positif pour la 25, conditionné par un contrôle de plaque rigoureux.
La patiente est revue au bout d'une semaine pour élimination des fils de sutures et adressée de nouveau vers le dentiste traitant pour obturation canalaire et éventuelle restauration prothétique (Fig. 9).
Cas n°2 :
Il s'agit d'un jeune patient, en bon état de santé générale, qui consulte au service de Parodontie du C.C.T.D. de Rabat pour une gingivite marginale.
Lors de l'examen clinique (Fig. 10), l'attention de l'opérateur est attirée par :
- la présence d'une obturation à l'amalgame, disto-occlusale débordante au niveau de la 15,
- un séquestre osseux mobile entre la 15 et la 16.
|
|
|
|
|
|
L'examen radiologique (Fig. 11) :
- fait apparaître un traitement endodontique au niveau de la 15,
- confirme le débordement important de l'obturation à l'amalgame,
- montre un séquestre osseux bien circonscrit entre la 15 et la 16, atteignant le 1/3 apical en distal de la 15.
La présence d'un séquestre osseux interdentaire, associée à une obturation coronaire proximale et à un traitement endodontique se rapporte presque "à coup sûr" à une fusée arsenicale (MARMASSE) (1).
La décision d'une thérapeutique chirurgicale est alors adoptée comprenant l'élévation d'un lambeau, élimination du séquestre et extraction de la 15 dont le pronostic est jugé négatif.
Cependant, le patient ne pouvant se permettre la réalisation d'une prothèse de remplacement, refuse l'extraction immédiate de la 15.
Après anesthésie, un lambeau est décollé puis le séquestre est éliminé, laissant un vide important entre les racines de la 15 et la 16 (Fig. 12 et 13).
Ensuite, le tissu de granulation est cureté et les surfaces radiculaires surfacées minutieusement.
Enfin, le lambeau est remis en place et suturé.
DISCUSSION
Les deux cas cliniques que nous avons rapporté devraient à eux seuls dissuader nos confrères de recourir à l'escarrification pulpaire. Cette complication opératoire, (La fusée arsenicale), peut ne pas se limiter à la papille interdentaire ou au septum osseux avec à la clé la perte de l'organe dentaire. Elle peut s'étendre bien au delà, comme cela a été décrit dans la littérature, avec des lésions neurologiques tels que les paresthésies lorsque la dent "traitée" se trouve à proximité du nerf dentaire inférieur (COMMISSIONAT) (3) ou encore des perforations du sinus lorsque cette complication survient au niveau des molaires supérieures (MARMASSE) (1).
En effet, cette thérapeutique iatrogénique peut s'avérer très "coûteuse" pour le patient et engager la responsabilité morale et juridique du praticien.
La dévitalisation par l'anhydride arsénieux est une technique à bannir aujourd'hui. En effet, la difficulté d'assurer une étanchéité de l'obturation provisoire au niveau cervical et l'incertitude de faire revenir le patient après un délais fixé, font que le risque de survenue de la fusée arsenicale est majoré.
Aujourd'hui, l'évolution des thérapeutiques endodontiques et des produits médicamenteux employés a permis l'exclusion des escarrotiques. Leur indication se limitera exclusivement aux contre-indications formelles de l'anesthésie locale ou loco-régionale.
CONCLUSION
Le meilleur moyen de prévenir et d'éviter la survenue de cette complication reste alors, l'abandon de l'anhydride arsénieux. De plus, la disponibilité sur le marché de produits anesthésiques variés remet en question l'intérêt d'un produit aussi dangereux.
Ce plaidoyer, illustré par des cas cliniques devrait suffire à dissuader nos confrères d'utiliser ce "poison cellulaire" et les convaincre à rénover cette base de lancement qu'est la dentisterie au Maroc.
BIBLIOGRAPHIE
1 - MARMASSE, A. : Dentisterie opératoire. Paris, Baillère, edit., 1958.
2 - LACAZEDIEU, M. : Pharmacologie endodontique. In. : Endodontie clinique : LAURICHESSE, J.M. ; MAESTRONI, F. ; BREILLAT, J. Paris, Editions CdP, 1986.
3 - COMMISSIONAT, Y. : La nécrose arsenicale existe encore … je l'ai rencontrée.
Act. Odonto-stomatol.; 1991; n° 174; pp. 247-252.







