R. BOUHLAL
Cabinet privé – Tétouan
RÉSUMÉ
Le but de ce travail est de montrer à travers un cas clinique que les exigences esthétiques du patient doivent être considérées au premier plan. Etant donné l’importance de l’encombrement dentaire, le schéma de croissance verticale et le problème fonctionnel pouvant aggraver la rotation mandibulaire postérieure, le cas ne peut être résolu que par une décision d’extraction de 4 prémolaires.
PRÉSENTATION DU CAS CLINIQUE
Il s’agit de Y. T. qui était âgé de 12 ans 9 mois quand il s’est présenté en consultation pour un motif esthétique.
![]() |
![]() |
EXAMEN CLINIQUE
A l’examen exobuccal, on a noté un visage harmonieux, avec absence d’asymétrie de la face et présence d’incompétence labiale (Fig.1 - 2).
![]() |
![]() |
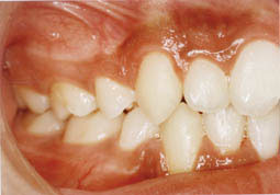
A l’examen endobuccal, il y a un encombrement dentaire avec les canines supérieures en position ectopique.
L’évaluation des arcades dentaires montre une relation de classe I molaire et canine avec un maxillaire en V, ce qui signe une mandibule verrouillée (Fig. 3-4-5).
L’évaluation esthétique de la denture par rapport à la face semble normale et centrée avec cependant une légère déviation des milieux . La lèvre supérieure découvre les dents supérieures et le patient a un sourire gingival.
EXAMENS COMPLÉMENTAIRES
La radiographie panoramique ne montre pas de problèmes particuliers concernant les dents à part l’encombrement dentaire (Fig. 6).
La téléradiographie de profil montre qu’il s’agit d’un cas de classe I squelettique de type dolichofacial.
Il y a encombrement des voies aéro-pharyngées avec une incompétence labiale, ce qui confirme la respiration buccale. Tous les signes structuraux sont en faveur d’une rotation postérieure de la mandibule (Fig. 7).
![]() |
![]() |
OBJECTIFS DU TRAITEMENT
- Tout d’abord l’élimination de l’encombrement dentaire vu que c’est le problème majeur du patient.
- Ensuite corriger la mésio-rotation des premières molaires supérieures, faire de l’expansion maxillaire et reformer les arcades.
- Enfin rétablir la fonction respiratoire nasale et la déglutition atypique.
PLAN DE TRAITEMENT
En dépit de son aspect dolichofacial et de ses problèmes fonctionnels, le patient se souciait uniquement de son encombrement dentaire.
Le traitement multi-attache a duré 26 mois et a consisté à extraire les 4 premières prémolaires avec un ancrage maximum au maxillaire et à la mandibule.
Il a été préconisé aussi la rééducation respiratoire et linguale.
Les fonctions générales de la mécanique consistent à procéder au contrôle du sens transversal, tout au long du traitement, faire le nivellement dentaire, le recul canin et le regroupement incisif.
La contention du sens transversal sera assurée par un arc transpalatin après dépose du quad hélix et d’une plaque de Hawley après débagage afin de garder la correction du sens transversal. Cette contention sera maintenue jusqu’à la sortie des dents de sagesse (Fig 8 à 13).
![]() |
![]() |
![]() |
![]() |
![]() |
![]() |
ÉVALUATION DU RÉSULTAT
L’occlusion statique et dynamique est satisfaisante malgré le fait que ce patient n’a pas résolu son problème respiratoire.
L’examen radiologique à 19 ans confirme les
résultats occlusaux et esthétiques.
Cependant le tracé céphalométrique et les superpositions à cet âge montrent qu’il n y a pas eu de rotation postérieure de la mandibule, que le profil esthétique s'est amélioré et que l’étage vertical a augmenté (Fig. 14 à 16).
Le tableau de comparaison montre les valeurs céphalométriques à 6 ans d’intervalle, après la mise en place des dents de sagesse (Fig. 17).
Probablement, l’amygdalectomie aurait résolu ce problème mais le patient n’a pas accepté l’intervention.
CONCLUSION
Le traitement orthodontique entrepris a permis une nette amélioration de l’esthétique répondant au motif de consultation du patient, sans toutefois une récidive de l’encombrement dentaire puisque les dents de sagesse sont en place (Fig. 18 à 23).
|
Axe Facial
Profondeur Facial Plan Mandibulaire HFI HFT Arc Mandibulaire Convexité i/APog I-APog Mc Horris Mc Namara Perpendiculaire sous-nasale
T1 = 12 ans 9 mois
T2 = 18 ans 9 mois |
T1
76°
87° 32° 53° 70° 32° +5 22° +3 91° +2 -7 +4 -1 -13 |
T2
78
88° 28° 57° 71° 31° +3 33° +5 84° +2 -3 +3 +1 -14 |
|
Fig. 17 : Tableau de comparaison |
![]() |
![]() |
![]() |
![]() |
![]() |
![]() |
![]() |
![]() |



























