M. HIMMICHE, M. DOGHMI
Secteur privé – Rabat
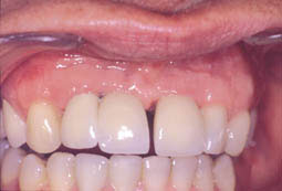
Patiente de 36 ans ayant perdu 12, 11, 21 suite à un accident de la voie publique à l’âge de 18 ans.
Elle porte une PAP avec une fausse gencive ne restituant ni la forme ni le diastème originel (Fig. 1).
La patiente utilise une colle pour la rétention de la PAP (Fig. 2).
|
|
|
|
|
|
Après étude clinique et examens complémentaires, mise en place de 3 implants (système Brånemark) dans le secteur antérieur (12 base étroite, 11 et 21 base standard) (Fig. 3).
La temporisation pendant la phase de l’ostéointégration a été assurée par un bridge provisoire collé respectant le diastème (Fig. 4 et 5).
|
|
|
|
|
|
Il a été procédé à l’ouverture de l’articulé par mise en place de plaques de surélévation sur les secteurs PM et M pour préserver les faces palatines des dents maxillaires (Fig. 6).
À 6 mois, désenfouissement des implants et pose immédiate des piliers définitifs confectionnés à partir de l’empreinte de position réalisée lors du stade 1 chirurgical.
|
|
|
Avant stade 2, dépose du bridge collé et des plaques de surélévation (Fig. 7).
Piliers définitifs en place : 12 pilier céramisé au collet, 11 et 21 pilier ceradapt (Fig. 8).
Mise en place des provisoires et sutures pour guider la cicatrisation mucogingivale (Fig. 9).
À 3 mois du stade 2, pose des prothèses définitives répondant aux doléances de la patiente :
Diastème et incisives centrales à base large (Fig. 10 et 11).
CONCLUSION
L’empreinte de position des implants lors du stade 1 chirurgical va permettre de confectionner des piliers et des prothèses provisoires respectant le profil d’émergence pour guider la maturation tissulaire.
A la fin de la maturation tissulaire, réaliser les prothèses définitives.







