B. BOUSFIHA*, F. ELMOUATARIF*, K. HEJJOUJI**, A. CHLYAH*, S. ELARABI*
* Service d’Odontologie Pédiatrique
Faculté de Médecine Dentaire de Casablanca.
Université Hassan II
** Médecin dentiste au secteur privé à Casablanca
RÉSUMÉ
Le collage du fragment dentaire est une procédure thérapeutique simple et particulièrement avantageuse de point de vue esthétique assurant une meilleure conservation des caractéristiques physico chimiques de la dent. Différents facteurs influencent le pronostic du collage dont la déshydratation du fragment fracturé, la technique et le matériau de collage utilisés.
Dans cet article, après un rapport de cas cliniques pris en charge au Centre de Consultation et Traitement Dentaire de Casablanca, seront présentés les différentes techniques de collage du fragment dentaire ainsi que les facteurs influençant la pérennité de ce type de traitement.
Mots clés : Fracture coronaire, collage du fragment dentaire, résine composite, adhésif dentinaire.
INTRODUCTION
Les traumatismes bucco dentaires sont fréquents chez l’enfant et constituent la première urgence en odontologie pédiatrique. Différentes formes cliniques sont rencontrées et exigent de la part du praticien un diagnostic correct et une prise en charge rapide et efficace pour préserver le pronostic vital et/ou fonctionnel de la dent.
La prévalence des fractures coronaires sur les dents permanentes est de loin la plus importante de tous les traumatismes, selon une étude cette prévalence peut atteindre 26 à 76% et concerne le plus souvent les incisives centrales maxillaires (1,2). Plusieurs facteurs peuvent expliquer la grande variation des taux de prévalence rapportés, le type et la méthodologie d’étude, la classification des traumatismes, la taille de la population, la localisation géographique et les différences culturelles et autres (3).
Les fractures coronaires peuvent être simples intéressant l’émail, la dentine sans atteinte pulpaire, le but principal et immédiat du traitement est alors le maintien de la vitalité pulpaire. Les fractures coronaires compliquées concernent les tissus durs de la dent ainsi que la pulpe et doivent être traitées le plus rapidement possible pour éviter la nécrose pulpaire et l’infection périapicale (4).
Différentes options thérapeutiques s’offrent au praticien pour reconstituer les dents fracturées, les techniques simples de reconstitution esthétique et immédiate par composite et les techniques de collage du fragment dentaire lorsque ce dernier est ramené par le patient (5). La reconstitution prothétique provisoire est envisagée dans les cas de fracture coronaire étendue précédée auparavant par un traitement endodontique.
Le collage du fragment dentaire se définit comme étant le réattachement des segments dentaires aux dents fracturées par l’intermédiaire d’un matériau adhésif. C’est un traitement conservateur simple restituant la forme, la couleur naturelle de la dent, la texture de surface, l’alignement occlusal et procurant au patient une réponse psychologique positive par la préservation de sa propre structure dentaire (6).
Tennery fût le premier à rapporter la technique de collage par mordançage du fragment dentaire en 1964, par la suite Starkey et Simonsen ont rapporté des cas semblables (6). Depuis, les techniques de collage ont connu une évolution et une diversification pour assurer la meilleure rétention et la meilleure résistance aux forces de fracture du fragment collé. Allant de la technique de collage simple à celle du chanfrein externe, de cannelure dans la dentine interne et de chanfrein après collage, les résultats concernant la résistance aux forces de fracture varient (7).
Dans cet article, seront présentés des cas cliniques de collage de fragment dentaire pris en charge aux services d’odontologie pédiatrique et des urgences du CCTD de Casablanca puis seront discutés les différentes procédures de collage, les avantages du réattachement du fragment dentaire ainsi que les facteurs influençant la pérennité du traitement.
RAPPORT DE CAS
Cas clinique 1 :
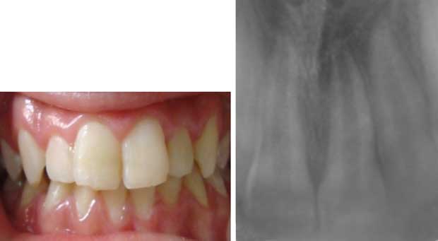
Il s’agit d’un garçon âgé de 14 ans qui a subi une chute à l’école ayant provoqué une fracture coronaire non compliquée de la 11. Le délai entre le traumatisme et la consultation était de 24 heures. Le fragment coronaire préservé au préalable dans l’eau a été ramené par le patient. Le traitement a consisté en un collage du fragment à la dent fracturée par la technique simple sans préparation supplémentaire.
Les figures 1 à 8 illustrent par ce cas clinique la technique de collage utilisée.
![]() Fig 1 : Fracture coronaire non compliquée de la 11 avec préservation du fragment dentaire.
|
|
![]() Fig 2 : Essayage du fragment dentaire.
|
|
![]() Fig 3 : Mordançage de la dent et du fragment à l’acide ortho phosphorique à 37% pendant 30 secondes.
|
|
![]() Fig 4 : Rinçage pendant 30 secondes.
|
|
![]() Fig 5 : Après séchage, application de l’adhésif au niveau de la dent et du fragment.
|
|
![]() Fig 6 : Photopolymérisation de l’adhésif sur la dent et le fragment pendant 40 secondes.
|
|
![]() Fig 7 : Collage des deux parties après mise en place du composite fluide et photopolymérisation.
|
|
![]() Fig 8 : Images du cas avant et après le collage. Résultat final après finition et polissage.
|
|
Cas clinique 2 :
Quinze heures après la survenue d’un traumatisme bucco-dentaire, une fille âgée de 9 ans s’est présentée aux urgences du CCTD de Casablanca. Une fracture coronaire amélo dentinaire au niveau de la 21 et une fracture coronaire compliquée sur la 11 ont été décelées lors de l’examen clinique. L’examen radiographique a montré l’immaturité radiculaire des deux dents.
Le collage des fragments dentaires par la technique simple a été réalisé après pulpotomie partielle sur la 11.
Les figures 9 à 13 montrent le traitement réalisé.
Fig 9 : Fracture coronaire non compliquée sur la 21 et avec exposition pulpaire sur la 11. |
|
![]() Fig 10 : Rétro alvéolaire des dents concernées par le traumatisme et les deux fragments coronaires.
|
|
![]() Fig 11 : Coiffage de la plaie pulpaire par l’hydroxyde de calcium au niveau de la 11 après réalisation de la pulpotomie partielle.
|
|
![]() Fig 12 : Collage des deux fragments par la technique simple.
|
|
![]() Fig 13 : Contrôle clinique et radiographique à 10 mois après le collage.
|
|
Cas clinique 3 :
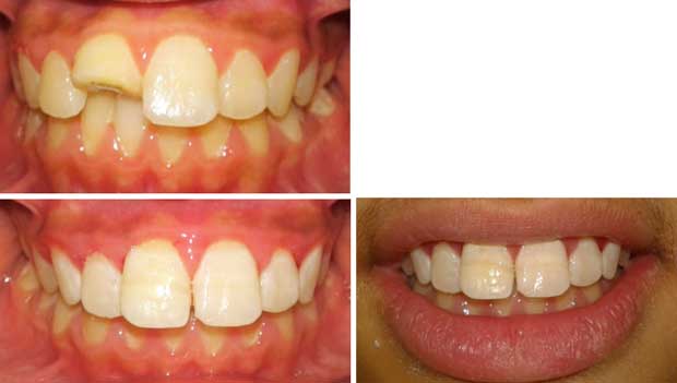
Une jeune fille âgée de 11 ans s’est présentée au service des urgences du CCTD de Casablanca, suite à une chute à l’école survenue 7 heures auparavant. L’examen clinique endobuccal a montré la présence d’une fracture coronaire avec exposition pulpaire de la 11. Le fragment fracturé était entier, conservé dans de l’eau et ramené pour le collage. La dent étant mature, un traitement canalaire fût réalisé suivi du collage dentaire par la technique de chanfrein externe.
Les étapes de réalisation de la technique de collage sont illustrées par les figures 14 à 22.
Fig 14 : Fracture coronaire profonde de la 11 et son fragment. |
|
![]() Fig 15 : Radiographie rétro-alvéolaire en pré opératoire et en post opératoire. |
|
Fig 16 : Adaptation du fragment et réalisation du chanfrein externe. |
|
Fig 17 : Mordançage dent et fragment pendant 30 secondes à l’acide ortho phosphorique. |
|
Fig 18 : Rinçage dent et fragment pendant 30 secondes. |
|
Fig 19 : Application de l’adhésif sur dent et fragment. |
|
Fig 20 : Photopolymérisation de l’adhésif. |
|
Fig 21 : Apport du composite entre le fragment et la dent pour renforcer le collage et finition. |
|
Fig 22 : Cas clinique avant et après collage. |
|
Les fractures coronaires des incisives centrales maxillaires constituent l’une des formes cliniques des traumatismes dentaires qui affectent le plus souvent les enfants et les adolescents (2). Le traitement immédiat et esthétique de ces dents fracturées est indispensable pour prévenir et éviter les répercussions psychologiques du traumatisme.
Diverses approches thérapeutiques peuvent être indiquées telles que la reconstitution coronaire par du composite, le collage du fragment dentaire, la couronne esthétique. Le choix du traitement va dépendre du site et taille de la fracture, de l’état parodontal en cas de fracture profonde, de l’exposition ou non de la pulpe, de la maturité radiculaire et de l’occlusion du patient.
Lorsque le fragment d’une dent fracturée est retrouvé sur le lieu de l’accident et quand il est conservé dans de bonnes conditions, bien adapté au trait de fracture et en bon état, le traitement de choix est son réattachement à la dent (6,8,9). Les fragments se conservent de manière adéquate dans un milieu dont l’osmolarité est proche de celle du milieu biologique, les milieux disponibles le plus facilement sont le lait U.H.T ou encore le sérum physiologique qui sont tous les deux stériles (9).
La conservation des fragments dentaires dans une solution évite leur déshydratation et leur permet de garder la couleur naturelle de la dent. Pour les cas décrits, les morceaux ont été conservés dans de l’eau, c’est ce qui explique l’absence de déshydratation et de discoloration avec un résultat esthétique satisfaisant.
Grâce à l’évolution remarquable des systèmes adhésifs et des résines composites, il est actuellement possible d’obtenir des résultats excellents de collage des fragments dentaires, mais à condition de respecter les facteurs biologiques (dent, pulpe et parodonte) ainsi que l’utilisation rationnelle des matériaux et techniques de dentisterie adhésive moderne (6).
Le collage du fragment offre plusieurs avantages, sur le plan esthétique et psychologique, il permet la conservation de la translucidité, du contour gingival, la texture de surface de la dent, et un bord incisif similaire aux dents adjacentes avec un bon rendu esthétique à moyen et long terme (7,8,10,11). Sur le plan fonctionnel, il restaure la fonction masticatoire et maintient un guide incisif physiologique (10,12). Sur le plan mécanique, Il a été montré que la remise en place de fragments dentaires fracturés à l’aide d’un système adhésif procure des performances en termes d’adhérence et de survie au moins équivalentes à la reconstitution par un matériau composite (13,14). Et enfin, sur le plan opérationnel ; c’est une technique rapide, ultra conservatrice et économique (7,11,12).
Actuellement, différentes techniques de réattachement de fragment ont été décrites dans la littérature (15,16). Le réattachement simple qui consiste à coller le fragment à la dent fracturée sans aucune préparation supplémentaire, en interposant entre les deux structures une couche d’adhésif seul ou en adjonction avec du composite fluide. Les étapes de cette technique sont présentées dans les cas 1 et 2 ; pour le deuxième cas, la procédure de collage a été précédée d’une pulpotomie partielle vue l’exposition pulpaire lors du traumatisme. En effet, le traitement de choix d’une fracture coronaire compliquée de faible étendue sur une dent immature et dont le délai n’est pas important est la pulpotomie partielle (8).
Pusman et coll ont évoqué la nécessité de rajouter des préparations pour augmenter la rétention du fragment collé (17). Les méthodes de préparation citées sont le biseau du fragment et de la couronne dentaire, la cannelure dans la dentine interne, le chanfrein externe et la technique de surcontour. Chacune de ces techniques possède des avantages et des inconvénients (7,8,17).
Le collage par la technique de chanfrein externe consiste à réaliser une petite préparation amélaire de 1 mm de profondeur au niveau de la dent et du fragment à l’aide d’une fraise diamantée à bout arrondi (16,18). Cette méthode assez simple, fut utilisée pour le cas 3 pour lequel, les étapes de réalisation sont décrites.
Pour la technique de cannelure interne, avant le réattachement, une rainure de 1mm de profondeur et de 1mm de largeur est préparée sur la surface interne, aussi bien au niveau du fragment qu’au niveau de la dent, l’agent de liaison est appliqué sur les deux surfaces, suivi par le placement de la résine composite dans la cannelure. Le fragment est ensuite réattaché, les excès de composite éliminés et chaque surface dentaire est photopolymérisée pendant 60s (17).
La technique de surcontour comprend le réattachement du fragment selon la technique simple suivi par la préparation d’une cavité en forme de soucoupe d’une profondeur de 0.5 mm, à l’aide d’une fraise boule diamantée au niveau du trait de fracture pour contribuer à la pérennité de la restauration (17,18). Cette cavité sera ensuite restaurée par du composite (19).
Quelque soit la méthode utilisée, le contrôle de l’occlusion ainsi que la finition à l’aide de fraises à finir le composite et de disques type Soflex® s’avèrent nécessaires pour obtenir un bon état de surface et un résultat esthétique satisfaisant.
De point de vue pérennité, le collage du fragment a fait l’objet de plusieurs études qui ont évalué sa résistance à la fracture (7,20). Ainsi, selon Reis et coll cité par Macedo et coll (7), le réattachment simple sans aucune préparation n’offre que 37,1% de résistance à la fracture par rapport à celle d’une dent intacte. Par contre, la technique de chanfrein externe assure une résistance à la fracture de 60,6%, les deux autres techniques de surcontour et de cannelure interne procurent respectivement une résistance de 97,2 et 90,5%. A la lumière de ces résultats, il est clair que l’efficacité du collage de fragment dentaire dépend de la technique de préparation et du type de matériel adhésif et résine composite utilisés. En effet, les systèmes adhésifs à mordançage préalable assurent une meilleure adhésion que les systèmes adhésifs auto-mordançant (17,21), de même l’adjonction de composite fluide entre les deux structures dentaires permet un meilleur renforcement et une meilleure résistance du collage (17,18,22,23).
Aujourd’hui, avec l’amélioration des différentes techniques de collage ainsi que la disponibilité d’une diversité de matériaux, le réattachement du fragment est une approche thérapeutique conservatrice qui procure d’excellents résultats, à condition de respecter l’utilisation d’un protocole rigoureux avec un champ de travail sec et de choisir des matériaux de dentisterie adhésive convenables.
BIBLIOGRAPHIE
- Viduskalne I, Care R. Analysis of the crown fractures and factors affecting pulp survival due to dental trauma. Stomatologija, Baltic Dental and Maxillofacial Journal, 2010 ; 12: 109-115
- Sargod Sh S, Bhat Sh. A 9 year follow-up of a fractured tooth fragment reattachment. Contemprary Clinical Dentistry, 2010 ; 1:243-245
- Faus-Damiá M, Alegre-Domingo T, Faus-Matoses I, Faus-Matoses V, Faus-Llácer V-J. Traumatic dental injuries among schoolchildren in Valencia, Spain. Med Oral Patol Oral Cir Bucal, 2011 ; 1,16 (2):e292-5.
- Anil K. Single visit reattachment of fractured incisal edges using different post systems. Med. J. Arm. Forc. Ind, 2013 :04-011
- Aggarwal V, Logani A, Shah N. Complicated crown fractures- management and treatment options. Int. Endod. J, 2009 ; 8 :740-753
- Vishwanath B, Faizudin U, Jayadev M, Shravani S. Reattachment of Coronal Tooth Fragment: Regaining Back to Normal. Hindawi Publish Corporat, 2013 ; 5:186-191
- Macedo GV, Diaz PI, Fernandez CA DE O, Ritter AV. Reattachment of Anterior Teeth Fragments: A Conservative Approach. J Esthet Restor Dent, 2008 ; 20:5–20
- DIAZ J. A. Crown fractures in maxillary central incisors : 24 months follow-up and clinical outcome in Children. Int. J. Odontostomat, 2008 ; 2(1):83-94
- M. Traumatismes et collage. Paris, Académie de Dentisterie Adhésive, 2008 : 46-47
- Mukesh K. Esthetic rehabilitation using natural teeth –Case reports. J. Int Oral Health, 2011 ; 3 (5) : 75-80
- Terry DA. Adhesive reattachment of a tooth fragment : The biological restoration. Pract Proced Aesthet Dent, 2003 ; 15(5) : 403-409
- Sujatha I, Prasannalatha nadig, Mangala MG. Instant Esthetics for Complicated Crown Fracture of Maxillary Anterior Teeth - Case Reports. Indian Journal of Multidisciplinary Dentistry, 2011 ; 1(4) :231-235
- Andreasen FM, Noren JB, Andreasen VO. Long term survival of fragment bonding in the treatment of fractured crowns : A multi-center clinical study. Quint Int, 1995 ; 26 :660
- Farik B. Drying and rewetting anterior crown fragment prior to bonding. Endod Dent Traumatol 1999 ;15:113-116
- Georgia V, Macedo D, Diaz D. Reattachment of anterior teeth fragments : A conservative approache. J Esthet.Rest. Dent, 2008 ; 20:5-20
- Irfan A. Comment traiter une incisive centrale maxillaire fracturée. Med Dent Pract, 2010 ; 65 :10-15
- Pusman E, Zafer C. Cehreli, Altay N, Unver B, Saracbasi O, Ozgun G. Fracture resistance of tooth fragment reattachment: effects of different preparation techniques and adhesive materials. Dental Traumatol 2010; 26: 9–15
- Abdulkhayum A, Munjal S. In vitro evaluation of fracture strength recovery of reattached anterior fractured tooth fragment using different reattachment techniques. J Clin Diagn. Res, 2014 ; 8(3) : 208-211
- Charland R, Mackay P, Mercier R, Shoghikian E, Aubre N, Gagnon S, Salvail P, Champagne M. Traumatismes des dents antérieures permanentes : Fractures coronaires. J Ordre dent Québec, 2007 ; 44:63-68
- Divakar HD, Nayak M , Shetty MR. Changing concepts in fracture reattachment of teeth - A case series. Endodontology
- De Munck J, Van Landuyt K. A critical review of the durability of adhesion to tooth tissue : methods and results. J Dent Res, 2005 ; 84:118-32
- Erhardt M, Cavalacante L, Pimenta La. Influence of phosphoric acid pretreatment on self-etching bond strengths. J Esthet Rest Dent, 2004 ; 16:33-40
- Van Landuyt KL, Kanumilli P, De Munck J, Peumans M. Bond strength of a mild self-etch adhesive with and without prior acid-etching. J. Dent, 2006 ; 34:77-85.








Fig 9 : Fracture coronaire non compliquée sur la 21 et avec exposition pulpaire sur la 11.











