S. BENCHEKROUN , K. IDRISSI KAITOUNI, Y. LAALOU
Cabinet privé – CASABLANCA
A la suite d’un traumatisme répété sur les incisives supérieures, un traitement adéquat n’a pu être prodigué après le second choc (absence du praticien habituel pour une longue période). L’échec du traitement d’apéxification et surtout la formation des granulomes péri apicaux ont rendu impossible toute tentative de conservation de ces dernières.
Devant cette situation, extraire et garder la place pour des implants ou substituer les centrales par les latérales, un choix a du se faire : celui de la substitution était le plus adapté aux différentes exigences.
Cette présentation montre le suivi de la patiente depuis l’âge de 7 ans, âge du traumatisme, puis la substitution de ses incisives centrales par les latérales, d’une manière passive puis orthodontiquement avec l’avulsion des deuxièmes prémolaires inférieures pour remédier à la CL II 1 qu’elle présentait. Le cas est terminé par la coronoplastie des latérales et des canines supérieures et à l’âge de 16 ans par la réalisation des facettes en céramique sur les latérales.
PATIENTE DE 8 ANS EN CLASSE II 1
|
|
|
|
|
|
Plan de traitement :
Après le traumatisme : au lieu de l’extraction des dents saines (1ères prémolaires supérieures), avulsion des centrales supérieures dont la conservation était devenue impossible (Fig.1 à 4).
Une prothèse pédodontique sur bague molaire a été réalisée. Elle avait un double objectif : palier au problème psychologique causé par l’avulsion chirurgicale des incisives et guider la mésialisation spontanée des latérales (évolution des canines) par un meulage proximal et progressif sur la prothèse (Fig. 5 à 10).
|
|
|
|
|
|
![]() |
![]() |
![]() |
![]() |
![]() |
![]() |
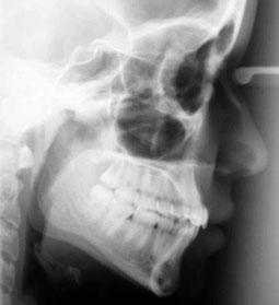
Téléradiographie de fin de traitement : position correcte des incisives (Fig. 18).
|
|
` |
![]() |
![]() |
Fin de traitement ODF : Classe I molaire, Classe I prémolaires supérieures / canines inférieures.
Les couronnes des latérales (centrales) sont malgré tout plus courtes que celles des canines (latérales), les canines ont eu un torque de manière à diminuer la bosse canine de même pour les premières prémolaires afin de cacher leur cuspide palatine (Fig. 20 à 24).
Des rajouts de composite sur les incisives latérales ont été fait au fur et à mesure de la maturation parodontale (Fig.25).
|
|
|
|
|
|
|
|
|
![]() |
![]() |
|
|
|
|
|
|
|
|
|
![]() |
![]() |
![]() |
CONCLUSION
Le grand avantage aussi, c’est que la solution choisie a permis à la patiente de trouver un équilibre fonctionnel et esthétique assez tôt (avant l’âge adéquat pour les implants).















`

























