H. EL MERINI, M. KARAMI, S. DHAIMY, A. EL OUAZZANI, M. JABRI
Service d’Odontologie Conservatrice,
Faculté de Médecine Dentaire de Casablanca
Université Hassan II
RÉSUMÉ
L’atteinte carieuse et les traumatismes sont des causes de pertes de substances dentaires antérieures. Cette perte de substance altère inévitablement l’esthétique et entraîne le mécontentement de nos patients. L’avènement du collage et l’introduction de nouveaux matériaux composites permettent actuellement de répondre favorablement aux cas de pertes de substances antérieures en évitant le recours aux techniques prothétiques.
L’utilisation de techniques de stratification assure la reproduction fidèle de l’aspect et de la teinte de la dent. Cet article passe en revue quelques cas de pertes de substances dentaires antérieures traités au C.C.T.D Ibn Rochd de Casablanca.
Mots clés : Pertes de substances antérieures, collage, résine composite, reconstitution directe.
SUMMARY
Tooth decays and traumatisms are some reasons of losing the initial substance.
This loss damages necessarily the look and leads to annoyance within our patients. With the adhesif technique and the introduction of new composites accompanied by the use of stratifying techniques that reproduce the tooth’s shape and colour, we can currently deal successfully with the loss of the initial substance without using prosthetics.
This article presents cases of loss of the initial substance that were treated in the C.C.T.D Ibn Rochd of Casablanca.
Key words : anterior tooth loss substance, bonding, resin composite, direct restoration
INTRODUCTION
La gestion des grandes pertes de substances nécessitait le recours à des techniques prothétiques, pour la plupart du temps mutilantes.
L’apparition du collage et l’introduction des résines composites, par Bowen en 1956, ont permis une nouvelle conception de la réparation des pertes de substances antérieures.
Actuellement, les composites représentent une part importante des matériaux de la dentisterie esthétique.
L’adhésion du composite ne permet pas seulement de restituer des pertes de substances, mais de modifier fondamentalement la forme, quand elle est jugée incorrecte. Il est alors possible de fermer des diastèmes, de rectifier des teintes... tout en assurant l’intégration esthétique et fonctionnelle de la dent dans son contexte buccal.
L’existence sur le marché de composites de plus en plus performants pour le choix des teintes et des luminosités, plaide en faveur d’une méthode de stratification tridimensionnelle permettant de tirer toute la quintessence du matériau.
Cet article est une revue de quelques cas cliniques de pertes de substances antérieures traitées par collage de composite. Grâce au collage et adhésion, des techniques simples et peu onéreuses peuvent apporter la solution esthétique adéquate.
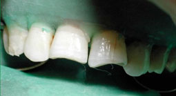
1er CAS CLINIQUE
Il s’agit d’un patient âgé de 21 ans, qui consulte pour la réfection des composites défectueux au niveau des incisives centrales supérieures.
L’examen clinique révèle, en plus des composites à remplacer,
- une mauvaise hygiène,
- un diastème supérieur,
- une fracture de l’angle distal de la 11 (Fig.1a).
Les tests de vitalité s’avèrent positifs, sans signe d’atteinte pulpaire.
L’étude du radiogramme (Fig.1b) montre:
- une radioclarté coronaire sous la radio opacité mésiale de la 11 : signe de déminéralisation confirmant la récidive de carie sous le composite,
- une radioclarté coronaire distale de la 11 et mésiale de la 21,
- une fracture distale de la 11.
Les éléments recueillis permettent d’évoquer le diagnostic de carie dentinaire secondaire profonde au niveau de ces deux dents, une fracture coronaire simple de la 11.
![]() |
![]() |
Devant l’absence d’atteinte pulpaire, il est impératif d’avoir une attitude conservatrice. Il s’agit d’éliminer la totalité des composites, d’assurer l’exérèse des tissus cariés sous jacents tout en préservant la vitalité pulpaire.
Notre geste consiste au cours de la première séance, en une dépose des obturations défectueuses, un curetage de carie et une mise en place d’un produit de coiffage à base d’hydroxyde de calcium, recouvert d’obturations étanches au verre ionomère (Fig. 2).
La réalisation du chanfrein périphérique est reportée à la séance de l’obturation définitive au composite.
Des instructions d’hygiène sont données au patient. La motivation avec la mise en place d’une bonne hygiène bucco-dentaire sont importantes pour prévenir toute autre récidive de carie.
L’efficacité des manœuvres d’hygiène est contrôlée lors de la deuxième séance avant d’entreprendre la reconstitution définitive des 11 et 21.
Avant de procéder à la restauration des dents au composite, certaines étapes opératoires, notamment l’observation de l’anatomie dentaire et le choix de la teinte sont de règle.
En effet, l’observation des dents révèle de nombreuses imperfections savamment orchestrées, telles de subtiles variations de teinte, de forme, de position, d’anatomie des bords et d’état de surface, qui amènent vie et lumière au sein de celles-ci. La dent naturelle est le modèle (1,2,3). Il s’agit d’observer les dents adjacentes intactes, de relever leurs reliefs, dépressions et leur état de surface pour donner une forme anatomique harmonieuse dans sa macro et microgéographie à la dent à reconstituer.
Le choix de la teinte se fait à la lumière du jour, sur différentes zones de la dent.
Les dents sont polychromatiques, du fait de l’existence de plusieurs tissus minéralisés. Des couches profondes de la dentine sont recouvertes d’émail (1,3,4). L’épaisseur de cet émail, différente selon que l’on se situe au niveau du collet ou du bord libre, va avoir une incidence sur la teinte de la dent et la transmission de la lumière.
Le choix des différentes couches, ayant une couleur et une opacité particulière, nécessite alors une analyse soignée. Ces couches seront montées par stratification ; cette technique utilise plusieurs teintes simulant la dentine, cœur chaud de la dent, et l’émail (1). Son concept repose sur le principe de désaturation progressive tridimensionnelle (1, 4, 5, 6, 7, 8), c'est-à-dire qu’il s’agit de superposer, à partir du cœur de la dent, zone plus foncée, des fines couches de composite de moins en moins saturées en teinte au fur et à mesure que l’on se rapproche de sa surface et de sa périphérie, sauf en direction du collet où la teinte est plus foncée.
La mise en place d’une digue sectorielle assurant l’isolation du champ opératoire s’avère un geste indispensable et incontournable (Fig.3).
Le collage repose d’abord sur le traitement chimique des surfaces dentaires (Fig.4) :
- mordançage à l’acide phosphorique à 37%, pendant 15 secondes pour l’émail et la dentine. Le mordançage est suivi d’un rinçage abondant puis d’un séchage doux. L’aspect de la surface dentaire traitée est blanc crayeux (Fig.4a),
- application d’un promoteur d’adhésion, primer, qui a pour effet de conditionner la matrice collagénique et de la préparer à recevoir la résine de collage ou adhésif. Le primer est laissé au niveau de la dentine pendant 20 secondes, puis séché avec douceur,
- Mise en place de l’adhésif, laissé pendant 20 secondes pour imprégner la matrice de collagène, il est ensuite séché, pour en éliminer l’excès, puis polymérisé.
![]() |
![]() |
La reconstitution proprement dite est entamée. Une matrice en celluloïde est placée en palatin, fixée à l’aide du pouce ou l’index de l’opérateur, la convexité de la pulpe du doigt est susceptible de reproduire la concavité de la face palatine, elle servira de support à la couche d’émail palatin (Fig.5a). Les territoires anatomiques de chaque dent sont délimités lors de la mise en place de cette couche palatine (Fig.5b). Sur cette couche d’émail palatin, vont venir s’apposer les couches de dentine.
![]() |
![]() |
Le polissage associe la création de microreliefs géographiques (1,9), élévations et dépressions, à un polissage mécanique alternant zones brillantes (jeux de lumière) et zones plus mates (jeux d’ombre) ;
Les composites polis uniquement à l'aide de disques ne peuvent pas reproduire l'anatomie de l'émail avec ses lobes et ses stries de croissance, car ils les effacent.
Le lustrage final est obtenu par l’utilisation de feutres et de pâtes à polir (5) (Fig.6).
![]() |
|
![]() |
![]() |
2EME CAS CLINIQUE
Une patiente âgée de 33 ans consulte au service des urgences, suite un traumatisme dentaire. A l’examen clinique, la 11 et 21 présentent des fractures coronaires horizontales non compliquées.
La prise en charge d’urgence consiste à réaliser une fermeture des tubuli dentinaires exposés au milieu buccal suite au traumatisme. A cet effet, des reconstitutions aux composite monochrome sont mises en place.
A une semaine, le contrôle de la vitalité pulpaire s’avère favorable ; il est positif sans signes de complication pulpaire. Les reconstitutions au composite sont rectifiées. Une fois leur forme jugée correcte par la patiente, ces reconstitutions serviront à la réalisation de la clé en silicone qui guidera la reconstitution finale des dents par technique de stratification (4) (Fig.7a).
L’empreinte des dents antérieures rectifiées est prise à l’aide d’un matériau silicone.
Après prise du matériau, l’empreinte est découpée dans le sens mésio-distal à l’aide d’une lame de bistouri ; le niveau de coupe passe par le milieu des bords libres. C’est la partie palatine de la clé qui est conservée et qui servira de guide à la stratification (Fig.7b).
Les reconstitutions au composite monochrome sont déposées. Les dents à restaurer sont chanfreinées en vestibulaire et en palatin (9,10,11,12).
Le champ opératoire est mis en place, suivi d’un mordançage acide, puis l’application des primer et adhésif est réalisé (Fig.8).
La clé en silicone est repositionnée en palatin des dents et une couche émail translucide est mise en place (14), elle aura la forme d’une coque qui recevra par la suite les lobes dentinaires, en teinte plus foncée (Fig.9a et Fig.9b).
![]() |
![]() |
![]() |
|
![]() |
![]() |
![]() |
3EME CAS CLINIQUE
L’examen clinique révèle une fracture coronaire simple (Fig. 10).
L'adhésion à l'émail est maîtrisée depuis fort longtemps. Même si l'adhésion à la dentine par l'obtention de la couche hybride (15) est d’apparition plus récente, les valeurs d'adhérence sur la dentine sont actuellement similaires à celles sur l'émail (16). Il n'est donc pas utopique d'envisager le collage du fragment dentaire fracturé après une préparation chimique et une mise en place de composite fluide.
Le collage du fragment est réalisé selon un protocole opératoire précis qui se déroule comme suit :
Après brossage prophylactique des surfaces dentaires et nettoyage du fragment récupéré, les surfaces dentaires sont traitées par un mordançage à l’acide phosphorique à 37%, suivi d’une application du primer et de l’adhésif. Le fragment dentaire reçoit le même traitement de surface (Fig.11).
L’assemblage se fait à l’aide d’un composite fluide.
Le collage du fragment dentaire, quand il est possible est la procédure qui permet le résultat esthétique le plus sûr (17).
![]() |
![]() |
![]() |
|
4EME CAS CLINIQUE
L’examen clinique montre une anomalie de forme et de structure de l’émail localisée aux deux incisives centrales. Il existe également une dyschromie de la 11 (Fig.12).
L’examen radiographique révèle un apex béant de la 11 et une parodontite apicale chronique (Fig.13).
L’examen des membres de sa famille n’a pas révélé de lésions similaires, l’origine de cette dysplasie pourrait remonter à un traumatisme des dents temporaires au cours de la formation des germes ou de l’éruption des incisives centrales permanentes.
Après une étude attentive de l’occlusion, nous avons opté pour une restauration des dents par adjonction de matériau composite dans le respect total du substrat dentaire existant, après assainissement endodontique et éclaircissement interne de la 11 (Fig.14).
![]() |
![]() |
![]() |
CONCLUSION
La reconstitution des dents antérieures doit allier au pouvoir d’expression, celui de l’observation de la nature. Elle doit permettre ainsi, de tirer toute la quintessence des matériaux composites afin de mieux les intégrer lors de nos restaurations. La demande de nos patients ne peut s’en trouver que satisfaite.
BIBLIOGRAPHIE
Stratification naturelle des composites antérieures d’une méthode nouvelle et de son application
Réa. Clin. 1998, vol9; n°3: 315-327
2- Dietschi D.
Progrès significatifs dans la technique stratifiée des restaurations antérieures en composites
Inf. Dent. 2002, n° 3 : 127-131
3- Vanini L.
Technique de stratification anatomique: restauration en résine composite des secteurs antérieurs
Inf. Dent. n° 37 nov 2006: 2291-2299
4- Zyman P.
Reconstitutions esthétiques en composite des dents antérieures : technique directe rationnelle
Inf. Dent. 2000, n° 43 : 3742-3745
5- Decup F.
Procédures cliiniques pour les restaurations composites
Réa. Clin. 2005, vol. 16 ; n°4 : 377-394
6- Dietshi D.
Layering concepts in anterior restorations
J. Adhes. Dent. 2001, 3;1: 71-80
7- Kuhn G., Colon P.
Composites antérieurs : technique de stratification simplifiée
Réa. Clin. 2003, vol. 14 ; n°4 : 409-421
8- Zyman P., Kuhn G., Colon P.
Restaurations invisibles en résines composites
Réa. Clin. 1999, vol. 10; n°2 : 271-283
9- Bassett J.
Conservative restoration of a traumatically involved central incisor.
Compend Contin Educ Dent. 2012 Apr;33(4):264-7
10- Deveaux E.
Gestion clinique de fractures incisives : reconstitutions coronaires par collage, thérapetique endodontique
Inf. Dent. 1998, n° 25 : 1785-1792
11- LeSage BP.
Aesthetic anterior composite restorations: a guide to direct placement.
Dent Clin North Am. 2007; 51 (2): 359-378
12- Terry DA., Leifelder KF.
An integration of composite resin with natural tooth structure: the class IV restoration
Pract Proced Aesthet Dent 2004; 16 (3): 235-242
13- Goracci G., Mori G.
Les différentes formes des préparations cavitaires adhésives lors des restaurations directes en composite
Inf. Dent. 1998, n° 41 : 3309-3314
14- Castany E., Pelissier B.
Restauration esthétique de deux incisives fracturées : technique directe de stratification guidée
Inf. Dent. 2000, n° 41 : 3575-3581
15- Nakabayashi N, Nakamura M, Yasuda N.
The hybrid layer as a dentin bonding mechanism
J. Esth. Dent., 1991; 3 :133-138
16- Serfaty R.
La révolution esthétique : l'adhésion en odontologie
Quintessence 1999
17- Goenka P., Dutta S., Marwah N.
Biological approach for management of anterior tooth trauma: Triple case report
J Indian Soc Pedod Prev Dent 2011;29:180-6




























