L. BERTAUD,
Chirurgien-dentiste privé,
BASSE TERRE - GUADELOUPE
RÉSUMÉ
La pathologie tumorale bénigne des maxillaires regroupe un nombre important de lésions d’étiologies variées, pour lesquelles la découverte est régulièrement fortuite, à l’occasion d’un examen radiographique de routine. Le kyste radiculo-dentaire, est une de ces lésions les plus fréquentes. Le diagnostic positif est posé après examen histologique. Le traitement est chirurgical.
Mots clés : Kyste radiculo dentaire, tumeurs bénignes des maxillaires.
INTRODUCTION
Les lésions radioclaires des maxillaires, sont des lésions fréquentes, de découverte fortuite le plus souvent, à l’occasion d’un examen radiographique de dépistage.
Elles font l’objet d’une classification codifiée, de laquelle découle une méthodologie diagnostique et thérapeutique systématique (1).
Le cas ci-après exposé, au travers d’un cas clinique de lésion radioclaire de la zone symphysaire, met en évidence les particularités de l’approche diagnostique, de la prise en charge et du suivi de ces patients.
CAS CLINIQUE
Présentation du cas :
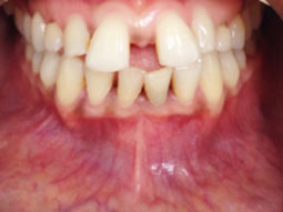
Mme E, 25 ans, est adressée pour avis et prise en charge après découverte fortuite d’une image radioclaire à contours nets de la région mandibulaire médiane, asymptomatique.
L’anamnèse rapporte un antécédent de traumatisme maxillo-facial ancien, sans prise en charge spécifique, ni suivi stomatologique. L’examen clinique ne montre aucune manifestation inflammatoire au niveau de la muqueuse en regard. La palpation permet de ressentir une dépression élastique au niveau de la zone médiane mandibulaire, en regard de la région apicale des incisives inférieures.
Il révèle également une absence de réponse au test de vitalité pulpaire sur les dents du secteur incisif et au niveau de la canine inférieure gauche, ainsi qu’une légère mobilité, non perçue par la patiente avant la consultation, pour le bloc incisif.
L’examen radiographique montre effectivement une radioclarté apicale au secteur incisivo canin mandibulaire, à contours nets, sans résorption radiculaire associée. Le cone beam réalisé précise le volume exact de la lésion, ses rapports aux apex voisins, et met en évidence la rupture de la continuité de la table externe, liée au volume lésionnel. La table linguale est par endroit érodée, mais continue (2).
![]() |
|
![]() |
![]() |
DIAGNOSTIC
La méthodologie diagnostique intègre les informations issues de l’anamnèse, de l’examen clinique, et de l’examen radiographique :
- Lésion intra osseuse circonscrite, centrée sur des apex dentaires impliqués par un traumatisme ancien,
- Test de vitalité pulpaire négatif pour les dents concernées,
- Voussure dépressible en regard,
- Confirmation scannographique de la netteté des bords de la lésion.
La synthèse des informations et observations cliniques et radiographiques collectées sont évocatrices d’un kyste radiculo-dentaire, séquellaire d’un traumatisme maxillo-facial impliquant le bloc incisivo-canin mandibulaire.
TRAITEMENT
Le plan de traitement retenu associe (3) :
- La réalisation d’une contention linguale simple, pour limiter la gêne fonctionnelle, et permettre les soins sans augmenter la mobilité pathologique des dents impliquées.
- La réalisation des traitements endodontiques des dents non vitales, c’est-à-dire 33 à 42.
- L’énucléation de la lésion par voie vestibulaire.
- La planification d’un suivi clinique et radiographique.
![]() |
|
|
|
|
|
|
|
La pièce est envoyée au laboratoire pour examen histologique, qui confirme le diagnostic de kyste inflammatoire, radiculo-dentaire.
Les suites sont simples, et le retrait des points est effectué au 8ème jour post opératoire.
Mme E est convoquée pour un contrôle à + 4 mois, pour évaluer la cicatrisation osseuse par un cliché panoramique simple, qui montre une évolution favorable, et une minéralisation satisfaisante de la vacuité mandibulaire.
Le contrôle suivant est programmé à + 1 an, afin de contrôler la parfaite cicatrisation osseuse, et l’absence de fausse récidive.
Un cone beam est également réalisé, et montre une parfaite consolidation osseuse, et la conservation d’un relief naturel au niveau mentonnier. Les régions apicales de chacune des dents est de radio densité osseuse.
![]() |
|
![]() |
|
CONCLUSION
La prise en charge de patients pour lesquels une image radioclaire est détectée au niveau des maxillaires, doit être systématique.
Lorsque la moindre suspicion de malignité est évoquée (Contours flous, résorption radiculaire associée, muqueuse en regard hémorragique, induration en regard, antécédents de pathologie cancéreuse), la consultation en milieu spécialisé est indispensable, et doit être planifiée dans les délais les plus brefs.
Lorsque l’énucléation de la lésion est retenue, il est important de planifier les étapes de la prise en charge, de la réalisation des soins préliminaires (endodontie, parodontie.) à l’organisation du suivi.
Seul l’examen histologique de la lésion permettra la pose d’un diagnostic, contributif à la planification du suivi, à la surveillance d’éventuelles récidives et à l’information du patient.
BIBLIOGRAPHIE
1. Pindborg J.J, Kramer I.R.H : Classification histologique internationale des tumeurs n°5. Types histologiques des tumeurs odontogènes, kystes et lésions apparentées des maxillaires. OMS Genève 1972.
2. Ahmad M, Freymiller E. Cone beam computed tomography: evaluation of maxillofacial pathology.
J Calif Dent Assoc. 2010 Jan;38(1):41-7.
3. RUHIN, B., GUILBERT, F. et BERTRAND, JC.
Traitement des kystes, tumeurs et pseudotumeurs bénignes des maxillaires.
Elsevier Masson, EMC-Stomatologie, 2005, 22-062-K-10.













