Z. Bentahar, F. Bourzgui, L. Ousehal, M. Baite, F. El Quars
Service d’Orthopédie Dento-Faciale
Centre de consultations et de traitements dentaires
CH Ibn Rochd de Casablanca
Université Hassan II
RÉSUMÉ
Déterminer précisément la situation d’une inclusion joue un rôle primordial dans l’application du plan de traitement orthodontique comme pour son dégagement chirurgical. Sa localisation est basée à la fois sur un examen clinique et surtout sur un bilan radiologique.
L’ensemble des techniques radiologiques actuelles permettent non seulement la localisation des inclusions dans les trois sens de l’espace mais nous offre aussi la possibilité de déterminer leur rapport avec les dents et les structures voisines.
Mots clés : inclusions, radiographie, maxillaire.
A chaque fois qu’on est devant une situation d’inclusion, il se pose le problème de la localisation. Est-elle vestibulaire ou palatine ? A quelle niveau est-elle située ? Quelle est son rapport avec les dents voisines ? Est-elle ankylosée ?…
Il existe une multitude de moyens radiologiques pour répondre à ces questions. Généralement, les techniques classiques (panoramique, rétro-alvéolaire, mordu-occlusal, téléradiographie) fournissent suffisamment de renseignements. Parfois, on est confronté à des situations où l’on a besoin de radiographies plus précises telle que la tomodensitométrie.
RÈGLES GÉNÉRALES
A chaque fois que l’on souhaite localiser une structure incluse, il convient de respecter les règles générales suivantes :
1- Toute structure incluse doit être radiographiée avec un objet ou une structure anatomique caractéristique. La modification de l’image de ces références avec les modifications de l’incidence constitue la base de la technique de localisation.
2- Lorsque la distance entre l’objet à localiser et l’objet de référence est trop faible, toutes les méthodes resteront infructueuses, apportant ainsi la preuve indirecte de la proximité des deux objets.
3- La distance film-objet fournit déjà une information :
- la structure la plus proche du film sera plus nette et moins agrandie
- la structure la plus éloignée du film sera plus floue et agrandie
4- L’objet à localiser devrait, dans la mesure du possible, être représenté sur au moins deux incidences perpendiculaires.
5- Si l’on ne peut pas avoir deux radios avec incidence perpendiculaire, on réalisera deux clichés dans le même plan. Le premier cliché sera réalisé avec une incidence orthoradiale et le second après un déplacement vertical ou horizontal du rayon directeur. Le déplacement des objets, provoqué par le déplacement du rayon directeur, renseigne sur leur position.
6- Sur un cliché panoramique, les objets situés en avant de la coupe sont flous et transversalement rétrécis, tandis que les objets en arrière de la coupe sont flous et élargis transversalement.
![]() |
![]() |
LOCALISATION RADIOLOGIQUE
Radiographie panoramique :
Fournissant une image de tranche de structure anatomique, le cliché panoramique dentaire est une tomographie de coupe épaisse. Elle permet la localisation de l’ensemble des inclusions. Une grande prudence s’impose dans le cas des canines supérieures incluses.
Elle sera, dans la mesure du possible confrontée avec d’autres radiographies du crâne, de face, de profil ou axiaux.
Modalité de localisation : les dents de référence, à savoir les prémolaires et les incisives, lorsqu’elles sont situées dans l’épaisseur de coupe sont représentées nettes et de taille normale. Une inclusion en position vestibulaire sera floue et rétrécie, et en position totalement ou partiellement palatine elle apparaîtra floue et partiellement agrandie (Fig 1, 2).
Les téléradiographies :
Permettent la localisation des inclusions selon deux plans :
- la téléradiographie de profil : représentation du sens vertical et antéro-postérieur
- la téléradiographie de face : représentation du sens vertical et transversal
- la téléradiographie axiale : représentation du sens transversal et antéro-postérieur.
La localisation des inclusions avec ce type de radiographie nécessite la confrontation de deux incidences, mais elles ne permettent pas de connaître avec exactitude ses rapports avec les racines des dents voisines et sa morphologie (Fig 3).
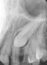
Rétro-alvéolaires :
C’est un cliché qui représente une image de superposition de plan. Ce genre d’image donne une représentation de la dent dans deux plans de l’espace, du haut en bas et de gauche à droite. Pour situer la dent dans le sens transversal il est nécessaire de prendre un second film. Deux incidences sont nécessaires : orthoradiale et excentrique.
Modalité de localisation :
- Déplacement horizontal du tube ou règle d’Ewan et Clark : deux films sont pris au même endroit, l’un avec une incidence orthoradiale et l’autre avec un rayon principal excentrique (fig 4, 6). Si l’image se déplace dans la même direction que le cône, la dent est située du côté palatin et du côté vestibulaire si l’image se déplace du côté opposé du cône.
- Déplacement vertical du tube : le même raisonnement que pour le déplacement horizontal peut être adopté. Cette fois-ci l’angulation du cône est modifiée dans le sens vertical. Là aussi, l’objet situé du côté vestibulaire se déplacera du côté opposé à la source du rayonnement. S’il est palatin, il se déplacera dans le même sens (Fig 5).
|
|
![]() |
![]() |
![]() |
| Fig 6 : Rétro-alvéolaires d’une canine incluse. Sa position palatine est confirmée par le déplacement de la dent dans le sens de la source radiologique (Service d’ODF). |
Le mordu occlusal :
C’est un cliché de seconde intention qui permet de préciser la situation antéro-postérieure et transversale. Pour la localisation des inclusions, il est souhaitable de prendre le cliché avec une incidence ortho-occlusale (rayon principal perpendiculaire au film) pour éviter le déplacement des structures (fig 7).
Ce type de cliché peut servir également comme film extra-buccal. Il pourra représenter l’étage inférieur dans le sens antéro-postérieur et vertical (fig 8).
![]() |
![]() |
Le Scanner :
Le scanner est une chaîne radiologique tomographique assistée d’un ordinateur qui mesure les densités d’un objet anatomique avec une reconstruction matricielle d’une image numérisée, visualisée selon différents contrastes.
Le scanner est de loin la technique de localisation la plus précise. Il permet non seulement une localisation précise des inclusions mais détermine également les rapports avec les dents et les structures voisines de même que leur état parodontal (ankylosées ou pas).(fig 9, 10).
CONCLUSION
La localisation des inclusions du secteur antérieur maxillaire est un défi auquel est confronté tout praticien. Cette localisation passe par un examen clinique et une connaissance de l’anatomie et des techniques radiologiques. Devant une situation d’inclusion, le clinicien ne doit pas hésiter à demander les examens nécessaires pour une bonne décision thérapeutique.
![]() |
![]() |
![]() |
|
BIBLOGRAPHIE
1- BISHARA SE.
Canines supérieures incluses.
Am J Orthod Dentofacial Orthop (édition française) 1992; 6 (3):103-114.
2- FOUCART JM, HERMANN P, JOUAN E, LOREILLE JP, PAJONI D.
10 questions d’imagerie orthodontique.
Paris : éditions S.I.D, 1996.
3- JACOBS SG.
Localization of the unerupted maxillary canine: how to and when to.
Am J Orthod Dentofacial Orthop.1999 Mar;115(3):314-22.
4- Jacobs SG.
Radiographic localization of unerupted maxillary anterior teeth using the vertical tube shift technique: the history and application of the method with some case reports.
Am J Orthod Dentofacial Orthop 1999;116(4):415-23.
5- Lacan A.
Scanner dentaire.
Paris : éditions C.D.P, 1989.
6 - Pasler FA.
Atlas de médecine dentaire de radiologie.
Paris :éditions Flammarion, 1994.
7- Vernette ME.
Uncovering labially impacted teeth: apically positioned flap and closed-eruption techniques.
Angle Orthod. 1995;65(1):23-32.
8 - Woloshyn H.
Pulpal and periodontal reactions to orthodontic alignment of palatally impacted canines.
Angle Orthod. 1994;64(4):257-64.


















