F.Z. ELMOUATARIF, B. BADRE, S. ELARABI
Service de Pédodontie Prévention
Centre de Consultation et Traitement Dentaire (CCTD) Casablanca MAROC
Faculté de médecine dentaire de Casablanca
Université Hassan II
RÉSUMÉ
La maladie de Glanzmann (ou thrombasthénie de Glanzmann) est la thrombopathie congénitale la mieux connue. Dans cette affection, la transmission suit un mode autosomique récessif.
Elle est due à des anomalies quantitatives et/ou qualitatives de l'intégrine alphaIIb bêta3. Ce récepteur d'adhérence des cellules est essentiel pour l'agrégation plaquettaire et permet la formation d'un clou hémostatique en cas d'altération des vaisseaux lors d'une blessure.
Le diagnostic repose sur les saignements muco-cutanés avec l'absence d'agrégation plaquettaire en réponse aux stimuli physiologiques, associés à une numération et une morphologie plaquettaire normales.La maladie de Glanzmann est une pathologie rare, souvent rencontrée dans un contexte de consanguinité. Le tableau clinique de la thrombasthénie de Glanzmann est variable : certains patients présentent seulement quelques ecchymoses alors que d'autres ont des hémorragies fréquentes, sévères et parfois fatales. Les manifestations bucco-dentaires de cette maladie sont : pétéchies, ecchymoses et gingivorragies.
Bien qu'elle soit une maladie hémorragique sévère, la maladie de Glanzmann, lorsqu'elle est bien prise en charge, est associée à un pronostic très favorable.L'observation rapportée va illustrer la prise en charge bucco-dentaire d’un enfant présentant cette maladie.
Mots clés : Thrombasthénie de Glanzmann, soins dentaires, précautions.
INTRODUCTION
La thrombasthénie de Glanzmann est une dysfonction plaquettaire causée par une anomalie génétique qui peut toucher différents gènes. Ces gènes codent pour un groupe de protéines normalement reliées entre elles et présentes à la surface des plaquettes : il s’agit du complexe glycoprotéique IIb/IIIa (ou récepteur du fibrinogène). Lorsque ce récepteur est absent ou qu’il ne fonctionne pas correctement, les plaquettes ne collent pas (ne s’agrègent pas) les unes aux autres au siège de la lésion, ce qui entrave la coagulation du sang.Des hémorragies cutanéo-muqueuses sévères et un temps de saignement allongé en sont les caractéristiques (1, 2.)
La thrombasthénie de Glanzmann, est à l’origine d’hémorragies plus ou moins importantes, apparaissant dès l’enfance.
Le mode de transmission de la maladie de Glanzmann est autosomique récessif, ce qui signifie que les deux parents doivent être porteurs du gène défectueux même s’ils ne sont pas atteints de la maladie et le transmettre à leur enfant. Comme tous les troubles qui se transmettent de cette façon, il est plus répandu dans les régions du monde où le mariage entre proches parents est commun. La thrombasthénie de Glanzmann affecte autant les hommes que les femmes (1,2).
La prise en charge odontostomatologique des enfants atteints de ce trouble est difficile à cause du risque hémorragique élevé.
Dans cet article, nous discutons, à travers le rapport d’un cas clinique, les critères diagnostiques, les manifestations cliniques, et les modalités évolutives de la prise en charge bucco-dentaire de la thrombasthénie de Glanzmann.
RAPPORT D’UN CAS
Imane ; âgée de 8 ans, a été adressée au service de pédodontie du CCTD de Casablanca par son médecin traitant de l’hôpital pédiatrique pour des problèmes de saignements gingivaux spontanés et récurrents depuis un mois.
La petite fille est issue d’un mariage consanguin sans antécédents pathologiques particuliers. L’enfant présente sur le plan général une thrombasthénie de glanzmann diagnostiquée à l’âge de 3 ans suite à des hémorragies gastriques.
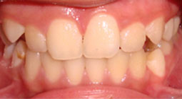
L’examen de la cavité buccale a mis en évidence une inflammation gingivale associée à une mobilité importante des 2 èmes molaires temporaires (55, 65) (Fig. 1,2,3).
Des caries amélo-dentinaires au niveau des premières molaires permanentes et une tâche brune au niveau de la face vestibulaire de la 44 ont été également observées.
Le traitement d’urgence a consisté, en concertation avec son médecin traitant, en l’extraction des 2èmes molaires temporaires mobiles responsables du saignement.
Pour ceci, une préparation de la patiente était nécessaire et qui a consisté en la prescription d’Exacyl®, d’une antibiothérapie de couverture débutée deux jours avant son rendez vous et à continuer 5 jours après, ainsi qu’une transfusion des plaquettes le jour de l’intervention. Les extractions ont été réalisées une heure après la transfusion.
La prise en charge proprement dite de la petite fille a consisté tout d’abord en une désinfection de la cavité buccale ; une anesthésie para-apicale puis l’extraction soigneuse des dents pour éviter toute fracture des tables osseuses. Les saignements associées à l’extraction ont été gérés par la mise en place au niveau de l’alvéole du Surgicel® avec une compression manuelle pendant 5 min et la mise en place d’une gouttière thermoformée afin de protéger les sites d’extraction.
Les conseils post opératoires à savoir une alimentation liquide et une réduction de l’effort physique ont été communiqués à la patiente et à la maman afin de donner une attention particulière au site d’extraction pour éviter une éventuelle hémorragie.
La patiente a été revue le lendemain de l’intervention puis une semaine après, pour contrôler les sites d’extraction et veiller à la bonne cicatrisation.
Ultérieurement des restaurations préventives et des scellements de puits et fissures ont été réalisés au niveau des 1 ères molaires permanentes avec l’application de vernis fluoré et prescription de bain de bouche fluoré.
Un enseignement à l’hygiène buccodentaire a été prodigué à la patiente et à la maman afin de prévenir les lésions carieuses et les atteintes parodontales.
![]() |
![]() |
![]() |
![]() |
![]() |
![]() |
DISCUSSION
La thrombasthénie de Glazmann est une thrombopathie autosomique, récessive, rare, due à une anomalie quantitative des glycoprotéines IIb et IIIa occasionnant des hémorragies cutanéo-muqueuses révélatrices du diagnostic à un âge précoce.
La thrombasthénie de Glanzmann comporte trois degrés de sévérité, selon l’ampleur de la déficience des plaquettes en glycoprotéine IIb/IIIa (1,2,3) : Glanzmann de type I où il y a moins de 5% de complexes en surface, Glanzmann de type II : 10 – 20% de récepteurs en surface ; présence de fibrinogène intra plaquettaire, alors que GlanzmannIII variant : au moins 50% de la quantité normale de complexe en surface et présence de fibrinogène intra plaquettaire ; l’agrégation plaquettaire existe mais d’intensité réduite.
Notre patiente s’inscrit dans la catégorie de Glanzmann de type II.
Les manifestations de la maladie de Glanzmann varient d’une personne à l’autre. Habituellement, les premiers signes de la maladie se remarquent pendant l’enfance, les personnes atteintes de la TG peuvent présenter des ecchymoses au moindre choc ou lors de contusions minimes, alors que le purpura est très fréquent sans cause apparente. Les saignements varient de bénins à potentiellement mortels. Ces saignements intéressent aussi les muqueuses du nez et de la bouche et sont généralement difficiles à maitriser (1,4,5,6,7).
La maladie a été diagnostiquée chez la patiente suite à son hospitalisation dans un service pédiatrique dûe à une hémorragie gastrique.
En effet, l’hémorragie peut être causée par un traumatisme ou un incident en apparence bénin, tel que le fait d’éternuer, de pleurer ou de tousser, de percer une dent et d’avoir le rhume. Le suintement de la plaie peut durer de nombreuses heures... voire des jours (4).
Le traitement de cette affection repose principalement sur une action rapide et adéquate. Afin d’éviter l’allo-immunisation des plaquettes ; des mesures thérapeutiques doivent être prises à savoir des procédures d’hémostase locale pour prévenir ou atténuer un syndrome hémorragique modéré (4,8).
L’administration du facteur VIIa recombinant (Niastase MC) est de plus en plus utilisée autant qu’alternatif thérapeutique pour les patients atteints de Thrombasthénie de Glanzmann réfractaire à la transfusion plaquettaire (1,4,8,9).
Quant à la prise en charge odontostomatologique optimale des patients atteints de TG, elle est guidée par une collaboration étroite avec l'hématologue afin :
- D’évaluer la gravité du trouble, les complications associées, l’ancienneté et la nature exacte du traitement ;
- De planifier efficacement les actes chirurgicaux ;
- D’envisager toutes les précautions médicales (antibiothérapie, Choix des moyens d’hémostase, modification de la posologie du traitement médicamenteux...).
Lors des soins dentaires chez les enfants atteints de ce trouble d’hémostase, Il est important de prévenir les blessures accidentelles de la muqueuse orale en protégeant les tissus mous par l’utilisation de la digue. Il est aussi justifié d’utiliser une anesthésie avec vasoconstricteur pour le bon déroulement de l’acte, l’anesthésie régionale, quant à elle, doit être évitée car il y a un risque d’hématome (6,10).
Les traitements endodontiques peuvent être réalisés, mais en cas de persistance de saignement au niveau canalaire ; une obturation à l’hydroxyde de calcium est conseillée.
La réalisation d’appareillages amovibles chez les enfants atteints de Thrombasthénie de Glanzmann ne constitue pas une contre indication. Néanmoins, ils doivent être confortables, stables, rétentifs et à bord lisses (10).
Concernant les actes Chirurgicaux ; la nature et la sévérité des désordres sanguins ainsi que le degré invasif du traitement dentaire détermine le besoin des différentes mesures prophylactiques systémiques (transfusion des plaquettes ou le facteur recombinant) en association avec les mesures hémostatiques locales. (10)
Les patients atteints de thrombopénie modérée ou sévère ; avec un nombre de plaquettes entre 50000 à 100000 Ul et 25000 et 50000 Ul respectivement sont des sujets qui peuvent provoquer un saignement excessif et prolongé ; ils doivent être pris en charge sous transfusion plaquettaire et en milieu hospitalier (10).
En cas d’extractions chirurgicales, la séparation des dents doit être raisonnée afin de préserver l’os sous-jacent et minimiser l’implication des espaces anatomiques, et pour éviter des infections secondaires et des saignements post opératoires, un curetage de l’alvéole doit être réalisé avec rigueur en éliminant tous le tissus de granulation (10,13) Les saignements associés aux extractions dentaires peuvent être contrôlés par la mise en place des éponges hémostatiques imprégnées ou non par l’acide tranexamique ou l’acide aminocaproique au niveau de l’alvéole (10). Le recours à des éponges en gélatines résorbables reste un bon moyen pour contrôler le saignement (10,12). Les sutures doivent être faites avec un fil résorbable et l’application d’une pression digitale durant 10 min sur le lambeau est suggérée (10).
La mise en place d’une gouttière thermoformée peut être recommandée pour permettre une meilleure protection locale du site, elle doit être réalisée au préalable.
Une prescription de l’acide tranexamique par voie orale doit être faite durant la période post opératoire après tout acte chirurgical (1j avant et 5j à 7j après) (8).
Pour les mesures hémostatiques,différents produits d’action locale ou générale peuvent être utilisés grâce à leurs effets sur la stabilité du caillot (6,8,10,11).
La période post opératoire est cruciale pour prévenir les saignements (10). Des recommandations générales doivent être communiquées au patient pour une meilleure attention au site chirurgical.
L’utilisation de bains de bouche antibbrinolytique est souhaitée un jour après un traitement chirurgical (extraction ou traitement parodontal), à base d’un rinçage avec 10ml de solution d’acide tranexamique 4 -5%, quatre fois par jour pendant 2 j. le rinçage peut dépasser une période de 2-5 j et arriver à 8 j.
Quand le patient consulte pour un saignement faible ou modéré d’origine muqueux ; les moyens locaux et les médicaments antifibrinolytiques peuvent être suffisants (Tableau 1) (10).
|
Agent hémostatique
|
Nom commercial
|
Posologie
|
Effets
|
|
Desmopressine
|
IV : Minirin
|
IV : 0,3microg / Kg
IM:150à 300 microg |
• Analogue synthétique de la vasopressine ; augmente l’adhésion et l’agrégation plaquettaire
• Utilisé si l’acide tranexamique seul n’est pas efficace. |
|
Agents antifibrinolytiques : acide tranexamique
|
IM : Octim spray
|
Voie orale : 20mg / Kg
Voie locale : bain de bouche : 10 ml pour 5% |
• Inhibe la fibrinolyse et maintient l’intégrité du caillot
• Résultat meilleur dans TG |
|
Cellulose oxydée regénérée
|
Exacyl
|
|
|
|
Colle de fibrine
|
Surgicel
|
|
Associé à un agent antifibrinolytique orale, elle permet d’achever l’hémostase
|
|
Compresse de collagéne d’origine bovine
|
Pangen
|
|
Appliquée sur le site hémorragique, le collagène exogène participe au processus d’hémostase permettant l’adhésion plaquettaire
|
|
Colles hémostatiques
|
Tissucol Kit
Beriplast |
|
• Traitement adjuvant destiné à favoriser l’hémostase locale
• Réservées à l’usage hospitalier. |
Tableau1 : Différents produits assurant l’hémostase
La prévention buccodentaire est primordiale pour ces patients, elle permet de maintenir une bonne santé buccodentaire par :
- Le brossage biquotidien avec un dentifrice fluoré ;
- La brosse à dent doit être d’une texture médium ou souple pour ne pas provoquer des saignements ;
- Les visites dentaires régulières tous les 6 mois peuvent dépister des problèmes dentaires précocement.
CONCLUSION
La thrombasthénie de Glanzmann reste une maladie rare, nécessitant une prise en charge rigoureuse et multidisciplinaire parce que les syndromes hémorragiques peuvent être graves et mortels.
BIBLIOGRAPHIE
1. Nurden A T. ‘Glanzmann thrombasthenia’ .Orphanet Journal of Rare Diseases 2006 ;(1) :10
2. Elalamy I. «Thrombopathies acquises et congénitales »
EMC, Hématologie, 13-021-A-10, 2006.
3. Yadalom U. « Periodontal considerations for Glanzmann’s thrombasthenic patient »
J indian Soc Periodontal 2008, 12 (1)
4. Lupien G. ,Amesse C. , Bissonette D. « La Thrombasthénie de Glanzmann : Une maladie héréditaire de la coagulation du sang »
Société canadienne de l’hémophilie, Novo Nordisk,2001.
5. Bashawri L. ,Qatary A. , Fawaz N. « Glanzmann’sThrombasthenia »
Bahrain Med Bull 2005, 27( 3).
6. Kenneth M., Hargreves P A . « Surgical preparation: anesthesia&hemostasis »
Endodontic Topics 2005, 11 : 32 - 55.
7. Sebastiano Ch. , Bromberg M. , breen K. « Glanzmann’sthrombasthenia: report of a case and review of the literature »
Int J Clin Exp Pathol 2010;3(4): 443-447.
8. Bolton-Maggs P.,Chalmers E. « A review of inherited platelet disorders with guidelines for their management on behalf of the UKHCDO »
British Journal of Haematology 2006, 135 : 603 - 633.
9. Heng JooNg, Lai Heng. « Recombinant activated clotting factor VII (rFVIIa) in the treatment of surgical and spontaneous bleeding episodes in hemophilic patients »
Vascular Health and Risk Management 2006:2(4) 433–440
10. VassilopoulosP. ,PalcanisK. « Bleeding disorders and periodontology »
Periodontology 2000, 2007, 44 : 211- 223.
11. Brewer A.,Correa M E.
« Guidelines for dental treatment of patients within herited bleeding disorders »
World Federation of Hemophilia, 2006, No 4.
12. TosettoA., Balduini C L. ,Cattaneo M. « Management of bleeding and of invasive procedures in patients with platelet disorders and/or thrombocytopenia: Guidelines of the Italian Society for Haemostasis and Thrombosis (SISET) »
Thrombosis Research 2009, 124 : e13 –e18
13. Larras P., Ahossi V., Freysz M. « Conduite à tenir chez le sujet à risque hémorragique. » EMC (Elsevier Masson SAS, Paris), Odontologie, 23-760-A-08, 2008.













