L'enfant H.S née en 1994 a été vue, en consultation pour un motif selon le père : Absence des dents des côtés latéraux.
L'examen clinique nous révèle une denture d'une morphologie assez particulière avec effectivement une édentation bilatérale.
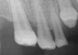
L'examen radiologique confirme le diagnostic de dysmorphie, et révèle une absence de plusieurs germes avec des formes radiculaires, sortant de la "normale".
Notre esprit s'est orienté directement vers la répercussion d'une M.S.T contractée par 1 'un des parents, chose qui a été infirmée par les parents. C'est ainsi que nous avons démarré d'autres investigations en concertations avec nos confrères pédiatres et dermatologues.
Les examens cliniques et complémentaires réalisés par ces derniers n'ont révélé aucune anomalie particulière.
![]()  | 
![]()  | 
![]()  | 
![]()  | 
![]()  | 
![]()  | 
La problématique posée par ce cas clinique est surtout l'aspect parodontal et le volume osseux qui à notre avis ne pourra pas supporter d’éventuels implants pour pallier les problèmes fonctionnels et esthétiques de la patiente.
Des prothèses adjointes transitoires seront réalisées au fur et au mesure de la croissance, en attendant l'âge adulte pour d'éventuelle reconstitution prothétique permanente.
Dans le cas d'une autre proposition thérapeutique de la part de nos consoeurs et confrères, nous resterons à la disposition de tout un chacun pour trouver la solution la plus adéquate dans l'intérêt de la patiente.
Dr. K. IDRISSI
Cabinet privé Casablanca
QUESTION :
Chers confrères,
Un patient âgé de 52 ans non-taré, s'est présenté pour une tumeur épulidienne implantée sur la gencive marginale du côté droit du maxillaire supérieur. L'examen radio ne montre aucune atteinte osseuse ou dentaire.
Après exérèse de la tumeur, le patient revient une année après, avec la même tumeur.
Veuillez, cher confrère, nous expliquer cette récidive.
Dr. R. D.
RÉPONSE :
La réponse à votre question est à priori facile, car il s'agit d'une récidive liée à une exérèse incomplète. Mais pour plus de précisions, un complément d'information est nécessaire :
1 - S'agit-il d'un diagnostic anatomopathologique ou clinique ? 2 - Le sujet est-il denté ou édenté ?
En effet, la présence des dents favorise les récidives si un surfaçage radiculaire n'a pas été réalisé ou l'exérèse a été faite à minima dans un souci de ne pas dénuder les dents.
Pr. Khazana
			












