
F. LAKEHAL
Attaché au service de Parodontologie
Faculté de Médecine Dentaire de Casablanca
La motivation à l'Hygiène Bucco-Dentaire (HBD) bien qu'elle soit indispensable avant tout acte odontologique, elle est souvent bien negligeé par les praticiens, lesquels considérent que celle-ci dépend surtout du patient et de ses habitudes.
De plus, sachant que c'est un acte non remunéré et plutôt rebarbatif, les praticiens ont tendance à considérer cette motivation comme un acte inutile sans grande incidence sur le traitement proprement dit.
Si on considérait les choses autrement ?
POURQUOI L'HBD DOIT-ELLE ETRE RECONSIDEREE ET OCCUPER LA PLACE QU'IL LUI FAUT DANS LE PLAN DE TRAITEMENT?
* Sur le plan confort du travail:
Sachant la relation de cause à effet entre une mauvaise hygiéne avec présence de plaque et le degré d'inflammation des tissus parodontaux, il est certainement plus aisé de travailler dans une bouche dite "propre" car des débris alimentaires ou un saignement sont de nature à perturber les différentes étapes d'un traitement odontologique quel qu'il soit (mise en place d'une matrice, traitement d'une carie cervicale).
* Sur le plan thérapeutique :
Nombreux sont ceux qui considérent que l'HBD est une étape pré-opératoire, donc ne faisant pas partie du traitement proprement dit .
En réalité, la motivation à l'HBD lorsqu'elle est bien conduite, peut entrainer la disparition complète de l'inflammation gingivale dans les cas debutants des maladies parodontales et une diminution notable dans les cas avancés.
Ceci veut dire que bien motiver le patient c'est déja commencer à le traiter et non le préparer à un traitement ultérieur.
* Sur le plan perenité des actes thérapeutiques :
On ne peut mesurer le succès d'un traitement qu'à long terme. Dans notre métier le succès thérapeutique dépend beaucoup du patient, il nous appartient donc en tant que praticien d'expliquer au patient le rôle actif qu'il aura à jouer.
Cet objectif ne peut être atteint que par une motivation à l'HBD bien conduite et convaincante car il s'agit de changer un comportement et pour cela, il faut être soi-même convaincu pour convaincre.
EXISTE-T-IL DES MÉTHODES À L'HBD ? LAQUELLE CHOISIR ?
Les méthodes sont nombreuses et elles concourent toutes vers le même objectif, à savoir amener le patient à un degré de compréhension où il peut juger de lui-même la relation entre sa pathologie et son degré d'hygiène.
Dans tous les cas, il doit s'établir une relation de confiance. L'ambiance doit être suffisamment détendue pour que s'établisse un dialogue fructueux et les messages concernant notamment l'HBD seront plus facilement assimilés.
![]() |
![]() |
L'approche doit être individuelle, le contenu du message doit être toujours le même. Cependant, il est nécessaire de l'exprimer peut être différemment d'un patient à un autre suivant son degré d'instruction, et sa situation sociale...
MOTIVER C'EST BIEN, AVOIR LES MOYENS C'EST MIEUX !
Motiver un patient ne doit pas se limiter à un message verbal.
Il faut savoir qu'en général le patient ne demande qu'à être convaincu, aussi est-il nécessaire de disposer d'un certain nombre de matériel pédagogique pour mener à bien cet acte très important :
- Livrets de motivation (brochures, dépliants...)
- Modèle frasaco
- Révélateur de plaque.
En conlusion, savoir traiter, c’est d’abord savoir motiver. Lorsqu’on est persuadé de ce principe, un minimum de moyens et de temps consacré à cette étape vous permet à vous en tant que praticien d’être plus sûr quant à la qualité et la pérennité des soins que vous réalisez. Elle permet également à votre patient de ressentir une sensation de bien être dans sa bouche, il a alors le sentiment d’avoir été bien traité.
![]() |
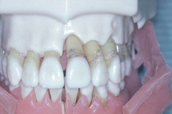
![]() |
Notez la diminution de l’inflammation simplement après motivation et contrôle de plaque par le patient.











