A. OUAZZANI
Cabinet privé, Casablanca
Membre titulaire de la SMODF
PRÉSENTATION DU CAS CLINIQUE
Il s’agit de l’enfant A.M.A, qui s’est présenté dans notre cabinet à l’âge de 11 ans. Le motif de sa consultation était à la fois esthétique et fonctionnel.
|
|
![]() |
![]() |
Analyse céphalométrique
avant traitement Mars 2000 SNA 87°
SNB 85° ANB 2° GoGn/SN 30° Occl/SN 13° I/NA 33°/7mm i/NB 38°/8mm FMA 29° IMPA 102° i/Apog 7 mm AoBo -3 mm |
DIAGNOSTIC
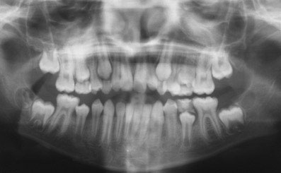
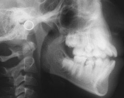
Ce jeune patient présentait un schéma de classe I squelettique normodivergent (Fig. 1, 2, 3). Sur le plan occlusal, il présentait une classe 2 dentaire bilatérale, une biproalvéolie incisive sévère, une béance antérieure, ainsi qu’un articulé inversé entre 26 et 36. Les 12 et 22 étaient de taille réduite (Fig. 4, 5, 6).
Sur le plan fonctionnel, nous avons noté une succion du pouce nocturne, et une déglutition de type infantile avec interposition linguale.
Enfin, son profil était convexe avec une projection des tissus mous vers l’avant (Fig. 7, 8).
![]()
|
|
![]() |
![]() |
OBJECTIFS DE TRAITEMENT
- Eliminer l’étiologie,
- Redresser les incisives et fermer la béance,
- Corriger la classe 2 dentaire,
- Rétablir une occlusion fonctionnelle,
- Harmoniser l’esthétique faciale.
![]() |
![]() |
![]() |
![]() |
PLAN DE TRAITEMENT
En raison du repositionnement incisif important, nous avons opté pour l’extraction de 14/24 et 34/ 44.
Nous avons utilisé un appareil multi-attaches, avec une barre palatine et une force extra-orale haute, pour procurer un ancrage molaire maxillaire et contrôler le sens vertical.
Des élastiques intermaxillaires ont été utilisés à la demande, à différentes étapes du traitement.
La contention a été assurée par des plaques thermoformées.
Enfin, le traitement a duré 24 mois.
|
Analyse céphalométrique après traitement Mars 2002 SNA 86° SNB 84° ANB 2° GoGn/SN 32° Occl/SN 12° I/NA 26°/5mm i/NB 24°/4mm FMA 28° IMPA 87° i/Apog 2mm AoBo -2mm |
|
|
|
|
![]() |
|
APPRÉCIATION DES RÉSULTATS
A l’examen des documents de fin de traitement, nous pouvons constater que le patient présente une parfaite occlusion de classe 1 molaire et canine (Fig. 12,, 13, 14). Les incisives supérieures et inférieures ont été fortement redressées sur leurs bases osseuses, ce qui a permis la fermeture de la béance antérieure (Fig.3,12,13).
Le patient a également subi une croissance équilibrée du maxillaire et de la mandibule, ceci a favorisé le maintien de la classe I squelettique et le contrôle du sens vertical (Fig.17).
Enfin, le résultat esthétique est satisfaisant avec un profil harmonieux et totalement relâché (Fig.14,15).
![]() |
![]() |
ANALYSE CÉPHALOMETRIQUE (STEINER)



NB : Ces estimations servent de guide seulement. Elles doivent être modifiées selon les cas proposés




















