Y. LAALOU
Service de prothèse conjointe
Faculté de médecine dentaire de Casablanca
Le remplacement des dents absentes par implants ostéointégrés est actuellement un moyen reconnu comme fiable et durable. Cette thérapeutique est particulièrement élégante et indiquée quand il s’agit de remplacer une dent antérieure avec des dents voisines complètement saines et que les conditions anatomiques locales quantitatives (volume osseux et gingival) et qualitatives (qualité osseuse, gencive adhérente, ligne du sourire …) Favorables permet une restauration esthétique.
PRESENTATION DU CAS CLINIQUE
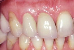
Le cas clinique présent se propose de montrer certaines conditions qui ont permis une restauration esthétique de l’incisive centrale supérieure.
Mme X Z qui a 54 ans se présente à la consultation avec des douleurs au niveau de la 11. La radiographie montre une racine où le traitement canalaire est défectueux avec la présence d’un tenon radiculaire ayant provoqué une fêlure à mi-hauteur radiculaire.
Cette racine jugée par conséquent irrécupérable est promise à l’avulsion avec le plan de traitement suivant: :
- Extraction de la racine et pose d’une prothèse provisoire amovible (P.A.P),
- Réévaluation du site après six semaines et pose d’un implant standard,
- Mise en charge après six mois d’ostéointégration,
- Surveillance et suivi réguliers.
|
|
|
|
|
|
CONCLUSION
L’indication implantaire pour le remplacement des dents antérieures doit être envisagée chaque fois que les dents adjacentes sont saines et que les conditions anatomiques locales sont favorables à un résultat esthétique satisfaisant. La prothèse provisoire à un rôle primordial dans la sculpture non chirurgicale de la fibro-muqueuse péri-implantaire dans le sens d’un profil d’émergence anatomiquement esthétique . La pléthore de piliers supra-implantaires disponibles actuellement permet un choix adapté à chaque cas clinique.
Chirurgie réalisée par Dr. C. KADIRI
|
|
|
|
|
|
|
|
|









