M. HIMMICHE, M. DOGHMI
Secteur privé. Rabat
Les fractures radiculaires sous prothétiques sont plus fréquentes sur les dents dépulpées. Les fractures surviennent sur les dents porteuses de reconstitution corono-radiculaire (RCR). Elles mettent en jeu le pronostic de l’élément dentaire et parfois des reconstitutions plurales.
Signes cliniques :
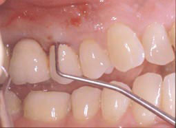
- Abcès parodontal récidivant avec fistule chronique,
- Sondage ponctuel profond en V et P ou L,
- Mobilité de la prothèse, axiale et horizontale, mobilité 2 à 3 (Fig. 1, 2).
|
|
|
Signes radiologiques :
Présence d’une lyse latérale à la racine. Cette lyse peut s’étendre jusqu’à l’apex simulant une lésion peri apicale (Fig. 3, 4).
![]() |
![]() |
Étiologie :
- Non respect de l’anatomie radiculaire et coronaire lors de la préparation (Affaiblissements des parois radiculaires),
- Forme inadéquate de l’élément intracanalaire (Vis) (Fig. 5, 6, 7, 8) et (Fig. 9, 10, 11, 12).
|
|
![]() |
|
|
|
|
|
![]() |
|
|
|
Conséquences :
Les fractures radiculaires sous prothétiques sont à l’origine d’une perte de substance et d’une destruction de la table osseuse (Fig.13, 14, 15).
|
|
|
|
|
|
CONCLUSION
L’utilisation des ancrages intra canalaires doit obéir à des normes de préparation canalaire en fonction de l’anatomie radiculaire.
- Ne pas affaiblir la paroi radiculaire,
- Utiliser un élément intra canalaire n’exerçant aucune pression sur les parois canalaires avec scellement non compressif.
BIBLIOGRAPHIE
1- Porzier. J - Benner. L - Radiguet. J - Losfeld. R. Reconstitutions préprothétiques immédiates des dents dépulpées. Les cahiers de prothèse n°63 septembre 1988.
2 - David J. Baraban. The restoration of endodontically treated teeth : An update. J prosthet dent 1988, 59, 523 - 557.
3 - Hunter. A.J, - Feiglin. B and - Williams. J. F. Effects of post placement on endodontically treated teeth. J prosthet dent 1989, 62, 166-72.
4 - Ko Chign-Chang, Chu Chung-Sheng. Kwok- Hung Chung, and Maw - Chang Lee. Effects of posts on dentin stress distribution in pulpless teeth. J prosthet dent 1992, 68, 421-427.
5 - Pierrisnard. L - Augereau. D-Degrange. M. Comportement mécanique des structures dentaires et osseuses. Les cahiers de prothèse n° 87 septembre 1994.
6 - Pierrisnard. L - Augereau. D- Degrange. M - Barquins. M. Comportement mécanique des structures dentaires et osseuses. Les cahiers de prothèse n°88 décembre 1994.











