O. ANANE, S. BOUZOUBAA, AM. KHAZANA, I. BENYAHYA
Service d’Odontologie Chirurgicale, CCTD
Faculté de Médecine Dentaire de Casablanca
Université Hassan II de Casablanca
RÉSUMÉ
Les abcès cérébraux correspondent à des suppurations focales d’origine infectieuse développées au sein du parenchyme cérébral. Bien que peu fréquents chez l’immunocompétent : 2,6 pour 1000 hospitalisations et entre 1 à 8 personnes sur 100000 aux Etats Unis, ils doivent être évoqués et diagnostiqués rapidement pour une prise en charge thérapeutique efficace (1, 2).
Tout comme pour l’endocardite bactérienne, la prévention impose le dépistage et l’éradication des foyers infectieux bucco-dentaires malgré qu’il soit difficile de déterminer une classe de patient dit à risque comme on peut le faire pour l’endocardite (3, 1).
Ce travail rapporte le cas d’une femme âgée de 31 ans, adressée par son neurochirurgien au service de Chirurgie Orale pour une cellulite sous-mylohyoïdienne gauche évoluant depuis 2 jours.
La patiente a été hospitalisée 2 mois auparavant en urgence suite à des abcès cérébraux avec hémiplégie droite totale, accompagnée d’aphasie dont la porte d’entrée n’a jamais été retrouvée.
Ce travail a pour objectifs de détailler la démarche diagnostique et thérapeutique face à un abcès cérébral d’origine dentaire.
Mots clés : Abcès cérébral, infections focales, bactériémie.
INTRODUCTION
Les foyers infectieux bucco-dentaires peuvent provoquer des bactériémies et être à l’origine d’infections à distance (4).
Un acte invasif en odontologie peut être la cause d’une septicémie entrainant une infection focale pouvant engager le pronostic vital (5).
En ce qui concerne le traitement des parodontopathies, Horliana et coll. (2014) ont montré que le détartrage et le surfaçage radiculaire sont liés dans 50% environ des cas à une bactériémie (6).
Les abcès cérébraux représentent dans 20 à 30% des cas la complication secondaire d’un foyer infectieux provenant de l’oreille ou de la sphère orale (péri-apical, parodontal ou péricoronaire) ; ces abcès sont consécutifs à la translocation hématogène de bactéries.
Ce sont des complications graves pouvant engager le pronostic vital (6).
Il peut y avoir, en dehors d’un contexte neurochirurgical, deux origines possibles (7) :
- Soit une propagation d’un germe par contiguïté provenant d’un foyer septique de voisinage (50 % des cas),
- Soit une dissémination hématogène (25 % des cas), à partir d’un foyer à distance,
- Dans 25 % des cas aucune étiologie n’est retrouvée (1).
Par ailleurs, ils peuvent être responsables de séquelles neurologiques plus ou moins sévères après la guérison (8).
OBSERVATION
Nous rapportons le cas d’une femme âgée de 31 ans, adressée par son neurochirurgien au service de chirurgie orale pour une cellulite sous-mylohyoïdienne gauche évoluant depuis 2 jours.
A l’interrogatoire, la patiente a révélé qu’elle a été hospitalisée 2 mois auparavant en neurochirurgie suite à des abcès cérébraux avec hémiplégie droite totale accompagnée d’aphasie.
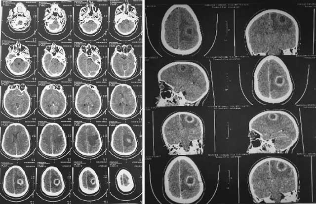
Une TDM cérébrale sans et avec injection de produit de contraste a été prescrite, et dont le résultat était en faveur d’un processus occupant l’espace pariétal gauche (Fig. 1 et 2) dont les caractéristiques et le comportement après injection de produit de contraste évoquent en premier une origine tumorale ou infectieuse probable.
La numération formule sanguine et la biochimie sanguine ont révélé une hyperleucocytose ainsi qu’une importante augmentation de la Protéine C Réactive (CRP).
Le traitement a consisté en une craniotomie suivie d’une ponction drainage chirurgicale et prélèvement pour examen anatomopathologique et bactériologique.
Le traitement médical comportait ;
- Une antibiothérapie IV à large spectre (Pénicilline G + Métronidazole pendant 15 jours) suivie par une antibiothérapie Per Os (Quinolones pendant 20 jours + Métronidazole pendant 45 jours),
- Héparine HBPM 0,4 pendant 30 jours,
- Antiépileptiques Gardénal® pendant 30 jours,
- Prednisolone pendant 5 jours.
![]() |
|
|
L’examen anatomopathologique objective un aspect histologique d’une encéphalite abcédée sans caractère inflammatoire spécifique (Fig. 3).
Examen cytobactériologique : Présence de Fusobacterium à Gram négatif et forte suspicion d’anaérobie (Fig. 4).
Une recherche de la porte d’entrée a été réalisée dès la sortie de la phase aigüe comportant ; un bilan ORL et une radiographie thoracique (fig. 5). Les résultats des 2 examens ont été sans particularité.
![]() |
|
![]() |
![]() |
L’interrogatoire la patiente a rapporté qu’un détartrage et surfaçage radiculaire a été réalisé 15 jours avant l’apparition des symptômes cérébraux.
L’examen clinique exobuccal a montré une légère asymétrie faciale (légère tuméfaction sub-mandibulaire gauche) et une absence d’adénopathies à la palpation des aires ganglionnaires cervico-faciaux (fig. 6 et 7).
L’examen endobuccal a révélé une 38 enclavée en mésio-version, une atteinte carieuse au niveau de la face distale sista 2.4 de la 37 avec un léger comblement du vestibule en regard.
On a noté aussi une 48 enclavée en mésio-version et une 47 délabrée en état de racines.
Selon la patiente les lésions carieuses datent de plusieurs années (fig. 8 et 9).
![]() |
![]() |
Sur la radiographie panoramique, réalisée le jour de la consultation, on a noté : des images radioclaires péri-apicales au niveau de la 37 et la 48, une image radioclaire péricoronaire sous la couronne de la 38 ainsi qu’une radioclarté englobant les 2 racines résiduelles de la 47 (fig. 10).
PRISE EN CHARGE BUCCO-DENTAIRE
L’apparition d’une tuméfaction faciale juste quelques mois après la prise en charge pour des abcès du cerveau a motivé le neurochirurgien afin d’adresser la patiente au service de chirurgie orale pour une éventuelle prise en charge et recherche de la porte d’entrée probable des abcès cérébraux.
Le traitement médical préconisé été une antibiothérapie associant amoxicilline 1g (2 fois par jour) et métronidazole 500mg (3 fois par jour) pendant 7 jours et la patiente a été revue 3 jours après pour une extraction chirurgicale de la 38 enclavée et la 37.
Une ré-intervention à j+7 pour l’extraction de la 48 enclavée ainsi que les racines de la 47.
La patiente a été ensuite revue chaque semaine pendant 2 mois.
COMMENTAIRES
Dans la littérature, on trouve de nombreux travaux mettant en exergue la gravité et les conséquences des infections à distance d’origine bucco-dentaire (3).
Le cas clinique présenté ci-dessus implique que même chez des patients en bon état de santé général, des épisodes de bactériémie peuvent entraîner une complication grave telle qu’un abcès cérébral.
Il s’agit d’une affection rare ; une infection suppurative du parenchyme cérébral entourée d'une capsule vascularisée (9).
L'incidence des abcès cérébraux aux États-Unis est de 1 personne sur 100000 et représente 1 pour 10000 du total des hospitalisations (10).
Le taux de mortalité avant l’apparition de la tomodensitométrie était de 30 à 50% malgré le traitement antibiotique. Après l’avènement de la tomodensitométrie le taux de mortalité a baissé considérablement pour atteindre les 15% au début des années 90 (11).
Les abcès cérébraux restent particulièrement préoccupants jusqu’à nos jours en raison des séquelles qu’ils peuvent provoquer et du taux de mortalité de 8,3%.
Joseph Y et col (12) dans une revue de la littérature ont trouvé moins de 20 rapports de cas d’abcès cérébraux d'origine dentaire.
Alan A. M et col (2) sur une série de 60 : Dans 56,4% des cas, il y avait des signes évidents de maladie dento-parodontale avant le développement de l’infection intracrânienne.
Dans notre cas, la patiente présente des foyers infectieux chroniques et un détartrage surfaçage radiculaire a été réalisé 15 jours avant le début des symptômes.
Si l’on considère les origines orales possibles des abcès intracrâniens, il s’avère selon une revue systématique de la littérature que c’est principalement la parodontite et les caries avec complications périapicales qui entrent en ligne de compte (2). A cet égard, l’extraction dentaire est la procédure thérapeutique préalable la plus fréquente.
La Fusobacterium qui a été identifié comme responsable dans notre cas clinique correspond à des bâtonnets Gram négatifs qui sont eux aussi fréquemment retrouvés dans les infections à distance d’origine dentaire.
Le motif de consultation le plus fréquent est constitué par des céphalées, modérées ou sévères, persistantes, augmentant progressivement en intensité, accompagnées de troubles aphasiques (3, 6). La fièvre n’est présente que dans 50 % des cas. Un tiers des patients développent des crises convulsives de type épileptique (13).
Il apparaît difficile de déterminer une classe de patient dit à risque comme on peut le faire pour l’endocardite d’Osler.
En effet, l’incidence des abcès cérébraux n’est pas plus importante chez les patients ayant des antécédents de pathologie cérébrale, encéphalites, méningites ou de traumatisme que dans la population générale (1).
CONCLUSION
Un abcès cérébral d’origine dentaire est rare en l'occurrence ses caractéristiques cliniques sont souvent non spécifiques ; ainsi le diagnostic peut être retardé (14).
La plupart des symptômes des patient sont des maux de tête, des nausées et des vomissements. Cependant, la fièvre et les signes neurologiques sont notamment absents aux premiers stades (5).
Une fois le diagnostic posé, le traitement consiste en 3 volets : l’administration d'antibiotiques à large spectre, le drainage du pus et l'éradication du foyer infectieux en cause (15).
Il est à noter que cette dernière composante invite les médecins dentistes à porter une plus grande attention à l'identification et le traitement des sources probables d’infections odontologiques à l’origine des abcès cérébraux (12).
BIBLIOGRAPHIE
1 – J. Bally et al. Abcès cérébraux d’origine dentaires à propos de 2 cas. AOS 2009, 248 : 361-367.
2 - Alan A. Moazzam et al. Intracranial bacterial infections of oral origin. Journal of Clinical Neuroscience 22 (2015) 800–806.
3 – Sylvie B et al. Abcès cérébraux d’origine dentaire, une porte d’entrée à ne pas méconnaitre : à propos d’un cas. Med Buccale Chir Buccale 2005 ;11 :175-80).
4 - TC Clifton, S Kalamchi. A case of odontogenic brain abscess arising from covert dental sepsis. Ann R Coll Surg Engl 2012; 94: e41–e43.
5 – Sung Y. P et al. Brain abscess due to odontogenic infection : a case report. J Korean Assoc Oral Maxillofac Surg 2014 ;40 :147-151.
6 – Johan P.W et al. Abcès cérébral après un traitement parodontal. Swiss Dental Journal SSO Vol.126 – 10 :2016.
7 - Antonio Azoubel Antunes et col. Brain Abscess of Odontogenic Origin. The Journal of Craniofacial Surgery & Volume 22, Number 6, November 2011.
8 - C. Page et al. Abcès et empyèmes intracrâniens d’origine ORL. An Otolaryngol Chir CervicoFac, 2005, 122-3, 120-126.
9 - Lumbiganon P, Chaikitpinyo A. Antibiotics for brain abscesses in people with cyanotic congenital heart disease (Review). The Cochrane Library 2013, Issue 3.
10 - MA Corson et col. Are dental infections a cause of brain abscess? Case report and review of the literature. Oral Diseases (2001) 7, 61–65.
11 - Tara F. Renton et col. Cerebral abscess complicating dental treatment. Case report and review of the literature. Australian Dental Journal 1996;41:(1):12-15.
12 - Joseph Yang et al. Brain abscess potentially secondary to odontogenic infection : case report. Oral And MaxilloFacial Surgery Vol. 117 No. 2 February 2014.
13 - Christopher J. Haggerty et col. Actinomycotic Brain Abscess and Subdural Empyema of Odontogenic Origin: Case Report and Review of the Literature. J Oral Maxillofac Surg 70:e210-e213, 2012.
14 - Chun-An Cheng MD. Complete resolution of a solitary pontine abscess in a patient with dental caries. American Journal of Emergency Medicine 31 (2013) 892.e3–892.e4.
15 – Ben Hadj Hassine M, Oualha L, Derbel A, Douki N. Cerebral abscess potentially of odontogenic origin, case report in dentistry. Hindawi Publishing Corporation Case Reports in Dentistry, Volume 2015, 4 pages.














