I. MEDHIOUB ; H. HAMMOUDA ; N. BEN BELGACEM ; R. ZAIRI ; T. MAMLOUK ; A. ZINELABIDINE
Service d’orthopédie dento-faciale, CHU Farhat Hached, Sousse
Faculté de Médecine dentaire de Monastir
Université de Monastir, Tunisie
RÉSUMÉ
L'objectif principal de cette étude était de déterminer l'occurrence de la résorption radiculaire des dents permanentes adjacentes associée aux canines maxillaires incluses, et d'identifier un modèle prédictif pour la RR à l'aide de variables orthopantomographiques, dans l'intention de réduire la nécessité d'une imagerie supplémentaire par tomographie à faisceau conique (CBCT).
Matériel et méthodes : L'échantillon était composé de 70 patients consécutifs (43 femmes et 27 hommes, âge moyen 17,03 ans). 90 canines maxillaires incluses et les dents adjacentes ont été analysées à l'aide de radiographies panoramiques et CBCT. Les analyses univariables et multivariables ont été évaluées respectivement avec le test de Khi 2, le test t de Student et l'analyse de régression logistique binaire.
Résultats : la prévalence de la résorption radiculaire au niveau des dents adjacentes à la canine incluse était plus fréquente chez les femmes que chez les hommes (ratio de 1,8), mais sans association significative. Aucune relation n'a été trouvée entre le sexe, le type, le côté, la position bucco-palatine de la canine incluse et la résorption radiculaire. Il existe une relation statistiquement significative entre les canines situées en position mésiale par rapport à la ligne médiane de l'incisive latérale et la résorption radiculaire sur les incisives maxillaires. Par conséquent, on peut affirmer que la résorption de la racine adjacente causée par des canines maxillaires incluses est d'autant plus importante que la position de la couronne de la canine et de la racine de l'incisive latérale est proche. Dans ce modèle de prédiction, l'âge du patient, la position mésio-distal et l'inclinaison de la couronne de la canine sont des facteurs prédictifs de la RR.
Conclusion : Le modèle de prédiction final de la RR basé sur les radiographies panoramiques disponibles pourrait être utile pour justifier la nécessité d'un examen CBCT supplémentaire.
Mots clés : canines maxillaires incluses, résorption radiculaire, incisive latérale, Cone Beam Computed Tomography, maxillaire, modèle de prédiction.
INTRODUCTION
L’inclusion de la canine maxillaire est une anomalie d’éruption fréquente. Après la troisième molaire mandibulaire, cette dent est la plus fréquemment incluse avec une prévalence variant de 1,7 à 5,4% dans la population générale et diffère selon les différentes populations (1).
L'absence de contrôle et le retard dans la prise en charge peuvent entraîner différentes complications telles que le déplacement des incisives adjacentes, la formation de kystes folliculaires, l'ankylose de la canine, la résorption des racines des dents adjacentes, le raccourcissement de l'arcade dentaire et/ou des combinaisons de ces complications (2). La résorption radiculaire des dents permanentes adjacentes est l'une des complications les plus importantes et les plus fréquentes.
Un diagnostic approprié, une analyse prédictive précise et une intervention précoce sont susceptibles de prévenir ces effets indésirables.
La résorption radiculaire des dents permanentes adjacentes est l'une des complications les plus importantes et les plus fréquentes.
L'étiologie exacte de la résorption radiculaire associée aux canines maxillaires incluses est inconnue. Plusieurs facteurs étiologiques ont été envisagés, tels que la pression de la canine en éruption, l'activité folliculaire, les forces orthodontiques, la génétique, les traumatismes, les insuffisances de développement des racines immatures et leur sensibilité aux enzymes de résorption (3,4,5).
Plusieurs études ont évalué la prévalence, la localisation et la sévérité de l'impaction de la canine maxillaire et de la RR dans diverses régions et populations ethniques du monde entier (6).
À notre connaissance, aucune étude n'a été menée pour identifier la prévalence et la gravité de la RR associée à une canine maxillaire impactée dans la population tunisienne.
Par conséquent, cette étude rétrospective vise à identifier la prévalence de la RR au niveau des dents permanentes adjacentes associées à une canine maxillaire incluse, d'évaluer sa sévérité, en utilisant le CBCT, dans un échantillon de la population orthodontique tunisienne, ainsi que de mettre en évidence les facteurs de risque de la RR et d'élaborer une formule de prédiction pour la résorption radiculaire causée par les canines incluses, basé sur des paramètres évalués sur des radiographies panoramiques 2D, dans le but d’anticiper le diagnostic de la RR et de bien choisir le moment de l’intervention.
MATÉRIELS ET MÉTHODES
Il s’agit d’une étude rétrospective à visée analytique réalisée chez les patients qui ont consulté le service d’orthopédie dento-faciale à CHU Farhat Hached de Sousse.
Echantillon :
Population d’étude :
- - L’approbation du comité d’éthique de CHU Farhat Hached a été obtenue avant le début de l’étude.
- - Ainsi, ont été retenus 70 patients, parmi lesquels 43 femmes et 27 hommes, leurs âges variant de 12 et 24 ans (âge moyen :17.03 ans), avec un total de 90 canines incluses.
- - Tous les patients ont consulté le service d’orthopédie dento-faciale de CHU Farhat Hached Sousse de janvier 2016 à Mai 2022.
ll s’agit d’une étude rétrospective à partir de radiographies ayant été réalisées entre les années 2016 et 2022.
Critères d’inclusion :
-
- Les patients tunisiens garçons et filles âgés au moins 12 ans,
-
- Inclusion de la canine maxillaire uniquement uni ou bilatérale,
-
- Bon état de santé générale,
-
- Radiographie panoramique réalisée,
-
- Indication et réalisation d’un CBCT.
Critères d’exclusion :
- Les patients ayant déjà eu ou ayant un traitement orthodontique ou o,rthopédique,
- Age < à 12 ans,
- - Des pathologies systémiques ou syndromiques,
- - Une autre inclusion à l’arcade maxillaire et/ou mandibulaire,
- - Une résorption secondaire à un traumatisme ou pathologies pulpaires.
Recueil des données :
Toutes les radiographie panoramiques sont analysés sur un négatoscope conventionnel par un seul et même examinateur.
Les CBCT ont été analysé à l’aide d’un logiciel ‘’ DICOM“.
Mesures - variables étudiées.
1- Inclusion uni ou bilatérale
Dans un premier temps, nous avons évalué le caractère uni ou bilatéral de l‘inclusion des canines incluses maxillaires.
2- Évaluation de la localisation vestibulo-palatine
La méthode consiste à évaluer la position de la face antérieure de la couronne de la canine par rapport aux dents adjacentes (la référence étant ici l’incisive latérale) sur une vue para-sagittale «et/ou une vue transversale, afin de déterminer la localisation de la canine, soit en vestibulaire, soit en palatin, comme l’a décrit l’équipe de Lai dans une étude menée en 2013. (Fig 1,2,3,4) (7).
|
Fig 1: Inclusion palatine, vue para-sagittale. |
Fig 2: Inclusion palatine, vue transversale. |
|
Fig 3: Inclusion vestibulaire, vue para-sagittale. |
Fig 4: Inclusion vestibulaire, vue transversale. |
3- Évaluation de la localisation mésio-distale
La méthode des secteurs d’Ericson S. et Kurol J modifiée par Lindauer et ses collaborateurs a été utilisée. Elle consiste à déterminer sur une radiographie panoramique la position de la pointe canine par rapport à l’incisive latérale.
- - Le secteur I : correspond à la zone dans laquelle la canine incluse apparaît distale à l'incisive latérale et ne chevauche pas la racine de l'incisive latérale.
- - Le secteur II : est mésial au secteur I, mais distal à l'axe longitudinal de la bissectrice de l'incisive latérale.
- - Le secteur III : est mésial au secteur II, mais distal à la tangente mésiale de la racine et de la couronne de l’incisive latérale.
- - Le secteur IV : est mésial au secteur III (Fig 5) (8).
|
Fig 5: Technique des secteurs par Lindauer et ses collaborateurs. |
|
|
Fig 6: Angulation de la canine maxillaire incluse (angle α, β, γ ). |
|
4. Évaluation de l’inclinaison de la canine incluse
L’inclinaison des canines incluses a pu être objectivée grâce aux radiographies panoramiques dont nous disposions pour chaque patient (Tableau I, Fig 6) (9).
|
Angle α |
L’inclinaison des canines incluses a pu être objectivée grâce aux radiographies panoramiques dont nous disposions pour chaque patient (Tableau I, Fig 9). (88) |
|
Angle β |
Inclinaison de la canine par rapport à l'axe de l'incisive Latérale |
|
Angle γ |
Inclinaison de la canine par rapport au plan d’occlusion (ligne horizontale qui passe par le bord de l'incisive centrale permanente et la première molaire permanente du côté considéré) |
Tableau I: Angulation de la canine.
5. Largeur de chaque follicule canin maxillaire
- • La largeur a été définie comme la plus grande distance entre la couronne de la canine maxillaire et la périphérie du follicule.
- • La distance a été mesurée dans le plan transversal sur les coupes axiales au niveau du CBCT à 1 mm près.
- • Ensuite, cette largeur maximale du follicule dentaire de la canine a été classée par intervalles de 1 mm en 4 grades (10):
- - Grade 1: de 0 à 1 mm (Fig 7),
- - Grade 2: de 1 à 2 mm (Fig 8),
- - Grade 3: de 2 à 3 mm (Fig 9),
- - Grade 4: > à 3 mm (Fig 10).
|
Fig 7: Follicule canin grade 1. |
Fig 8: Follicule canin grade 2. |
|
Fig 9: Follicule canin grade 3. |
Fig 10: Follicule canin grade 4. |
6. Contact physique entre la canine et les dents adjacentes
Sur chaque CBCT de chaque patient, grâce aux coupes transversales et para-sagittales, nous avons pu observer ou non la présence d’un réel contact physique entre la canine incluse et les dents adjacentes (Fig 11et 12).
Un contact direct entre la couronne de la canine et la racine d’une dent adjacente est noté si la distance entre la canine maxillaire incluse et la dent adjacente est inférieure à 1 mm (11).
|
Fig 11: Contact physique canine/incisive latérale : |
Fig 12: Contact canine/incisive. latérale : |
7. Quantification de la résorption
Pour chaque canine incluse, nous nous sommes axés sur les coupes transversales des CBCT en jouant sur le contraste et en utilisant un agrandissement plus important. Nous avons évalué la présence ou non de résorptions radiculaires sur les dents adjacentes aux canines incluses (les incisives latérales le plus souvent, mais aussi les incisives centrales ou encore les premières prémolaires maxillaires). Ces résorptions se matérialisent par une discontinuité du contour des racines des dents adjacentes, donnant un aspect un peu « rongé » de celles-ci.
Les variables mesurées étaient :
- • La sévérité de la résorption radiculaire est évaluée d’après la Classification d’Ericson et Kurol: (12)
- - Aucune résorption : surfaces radiculaires intactes, à l'exception de la perte de cément
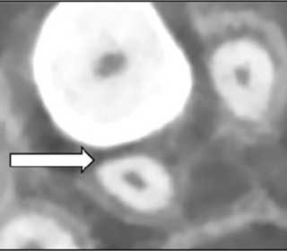
- - Résorption légère : atteinte jusqu'à la moitié de l'épaisseur de la dentine radiculaire (Fig 13).
- - Résorption modérée : atteinte supérieure à la moitié de l'épaisseur de la dentine radiculaire mais sans exposition la pulpaire (Fig 14).
- - Résorption sévère : en cas d’atteinte pulpaire (Fig 15).
- • La localisation verticale de la résorption radiculaire : tiers cervical, moyen, apical ou une combinaison de plusieurs niveaux.
|
Fig 13: Résorption radiculaire légère. |
Fig 14: Résorption radiculaire modérée.
|
|
Fig 15: Résorption radiculaire sévère.
|
Analyse statistique des données
Toutes les données collectées ont été saisies sur ordinateur par le logiciel SPSS 22. L’analyse statistique descriptive des variables quantitatives a été assurée en donnant pour chaque variable des paramètres de position (moyenne) et des paramètres de dispersion (écart-type) pour présenter les résultats.
Dans l’analyse univariée l’association entre la variable dépendante et les co- variables qualitatives a été évaluée par les test de khi-2 et de Fisher exact, tandis que les variables quantitatives ont été évaluées par le test t de Student.
Ensuite, une analyse multivariée a été effectuée en utilisant un modèle de régression logistique binaire. À partir de cette analyse, nous avons établi un modèle de prédiction pour la résorption radiculaire.
Pour évaluer les performances de ce modèle, nous avons tracé une courbe ROC (Receiver Operating Characteristic) en utilisant différents seuils de classification, afin de déterminer la capacité du modèle à discriminer les cas de résorption radiculaire de manière efficace.
La normalité de distribution de l’échantillon a été étudiée avec les tests de Shapiro- Wilk et Kolmogorov-Smirnov.
Le seuil de signification statistique a été fixé à 5%.
RÉSULTATS
Description de l’échantillon :
Soixante-dix patients comprenant 43 filles (60 %) et 27 garçons (40%) âgés de 12 et 24 ans avec une moyenne d’âge de 17.03 +-2,818 ans ans sont inclus dans cette étude.
Dans notre étude, nous avons constaté que l'incisive latérale était la dent la plus fréquemment touchée par la résorption radiculaire avec un pourcentage de (61.1%), ensuite, l'incisive centrale est la seconde dent la plus touchée, avec un pourcentage de (11,1%). Enfin, la première prémolaire présente un taux plus bas de résorption radiculaire, avec un pourcentage de (2,2%).
Notre étude a montré une prédominance des RR légères, représentant 58,2% des cas, tandis que les RR modérées ne constituaient que 31,8% des cas (Tableau III).
Les données descriptives de l'échantillon sont présentées dans (Tableau II).
|
Patients |
N = 70 |
||
|
Canines incluses |
N = 90 |
||
|
Age |
Moyenne 17,03 ans et un écart type de 2,818 ans |
||
|
Sexe |
Garçon |
27 (38.6%) |
|
|
Fille |
43 (61.4%) |
||
|
Type d’inclusion |
Unilatérale |
50 (71.4%) |
|
|
Bilatérale |
20 ( 28.6%) |
||
|
Coté d’inclusion |
Gauche |
43 (47.8%) |
|
|
Droite |
47 (52.2%) |
||
|
La position de la canine incluse dans le sens V°P |
Vestibulaire |
49 (54.4%) |
|
|
Médiane |
1 (1.1%) |
||
|
Palatine |
40 (44.4%) |
||
|
La position de la canine incluse dans le sens M°D |
Secteur I |
22 (24.4%) |
|
|
Secteur II |
21 (23.3%) |
||
|
Secteur III |
15 (16.7%) |
||
|
Secteur IV |
32 (35.6%) |
||
|
Angulation de la canine incluse |
Angle α |
26.7 +/-17,523 |
|
|
Angle β |
35.29 +/-17,639 |
||
|
Angle γ |
58.54 +/-17,660 |
||
|
Le contact entre la canine incluse et les dents adjacentes |
Incisive latérale |
Oui |
59 (65.6%) |
|
Non |
31 (34.4%) |
||
|
Incisive centrale |
Oui |
12 (13.3%) |
|
|
Non |
78 (86.7%) |
||
|
Première prémolaire |
Oui |
2 (2.2%) |
|
|
Non |
88 (97.8%) |
||
Tableau II : Les données descriptives de l'échantillon.
|
Incisive latérale |
Incisive centrale |
Première prémolaire |
Total |
||||||
|
N |
% |
N |
% |
N |
% |
N |
% |
||
|
Résorption radiculaire |
Absente |
35 |
38.9 |
80 |
88.9 |
88 |
97.8 |
203 |
75.1 |
|
Présente |
55 |
61.1 |
10 |
11.1 |
2 |
2.2 |
67 |
24.9 |
|
|
Sévérité de la résorption |
Légère |
27 |
32.1 |
10 |
20.2 |
2 |
10.7 |
39 |
58.2 |
|
Modérée |
28 |
33.3 |
0 |
2.4 |
0 |
1.2 |
28 |
41.8 |
|
|
Sévère |
- |
- |
- |
- |
- |
- |
- |
- |
|
|
Localisation |
Apicale |
18 |
32.7 |
2 |
20 |
2 |
2.3 |
22 |
32.8 |
|
Médiane |
31 |
56.4 |
8 |
80 |
- |
- |
39 |
58.2 |
|
|
Cervicale |
3 |
5.45 |
- |
- |
- |
- |
3 |
4.5 |
|
|
Apicale + Médiane |
3 |
5.45 |
- |
- |
- |
- |
3 |
4.5 |
|
Tableau III : Données descriptives sur la présence de résorptions radiculaires et leur sévérité.
Résultat analytique
1- Facteurs associés à la résorption des dents adjacentes (Analyse univariée)
L’analyse uni variée montre que les angles α, γ et β sont des facteurs statistiquement significatifs pour les incisives latérales et centrales avec respectivement (p<10-3, p<0.01)) (Tableau IV).
|
Prévalence de la résorption radiculaire |
|||||||||
|
Incisive latérale |
Incisive centrale |
Première prémolaire |
|||||||
|
RR (+) |
RR (-) |
P |
RR (+) |
RR (-) |
p |
RR (+) |
RR (-) |
p |
|
|
Sexe: n (%) |
0.331 |
0.488 |
0.530 |
||||||
|
Fille |
37(67.3) |
20(57.1) |
5 (50) |
52(65) |
2(100) |
55(62.5) |
|||
|
Garçon |
18(32.7) |
15(42.9) |
5 (50) |
28(35) |
0 (0) |
33(37.5) |
|||
|
Age: moyenne |
18,02 |
15.20 |
<10-3 |
17.40 |
16.86 |
0.562 |
15.50 |
16.95 |
0.462 |
|
Type d’inclusion n (%) |
0.847 |
0.102 |
0.501 |
||||||
|
Unilatérale |
31(62) |
19(38) |
3(6.0) |
47 (94) |
2(4.0) |
48(96) |
|||
|
Bilatérale |
24(60) |
16(40) |
7(17.5) |
33(82.5) |
0(0) |
40(100) |
|||
|
Côté d'inclusion n (%) |
0.580 |
0.184 |
0.495 |
||||||
|
Droite |
30(63.8) |
17(36.2) |
3(6.4) |
44(93.6) |
2(4.3) |
45(95.7) |
|||
|
Gauche |
25(58.1) |
18(41.9) |
7(16.3) |
36(83.7) |
0(0) |
43(100) |
|||
|
Position de la canine incluse dans le sens M°D n (%) |
<10-3 |
NA |
NA |
||||||
| Prévalence de la résorption radiculaire | |||||||||
|
Incisive latérale |
Incisive centrale |
Première prémolaire |
|||||||
|
Secteur 1 |
18(78.3) |
5(21.7) |
0 (0.0) |
23(100) |
1(4.3) |
22(95.7) |
|||
|
Secteur 2 |
10(47.6) |
11(52.4) |
0(0,0) |
21(100) |
1(4.8) |
20(95.2) |
|||
|
Secteur 3 |
2(14.3) |
12(85.7) |
0(0,0) |
14(100) |
0(0,0) |
14(100) |
|||
|
Secteur 4 |
5(15.6) |
27(84.4) |
10(31.3) |
22(68.6) |
0(0,0) |
32(100) |
|||
|
Position de la canine incluse dans le sens V°P n (%) |
NA |
NA |
NA |
||||||
|
Vestibulaire |
30(61.2) |
19(38.8) |
6(12.2) |
43(87.8) |
0(0) |
49(100) |
|||
|
Médiane |
1(100) |
0(0) |
0(0,0) |
1(100) |
0(0) |
1(100) |
|||
|
Palatine |
24(60) |
16(40) |
4(10) |
36(90) |
2(5.0) |
38(95) |
|||
|
Angle α moyenne |
33.42 |
16.14 |
<10-3 |
41,50 |
24.85 |
0.004 |
29,00 |
26,65 |
0.852 |
|
Angle β moyenne |
42.36 |
24.17 |
<10-3 |
49,50 ±17,26 |
33,51 ±16.96 |
0.006 |
37,00 ±26.87 |
35,25 ±17,60 |
0.891 |
|
Angle γ moyenne |
51.84 |
69.09 |
<10-3 |
43,7 ±17,12 |
60.4 ±16.92 |
0.004 |
56,00 ±26,87 |
58,6 ±17,62 |
0.838 |
|
Contact canine incluse /racines des dents adjacentes |
<10-3 |
<10-3 |
1 |
||||||
|
Prévalence de la résorption radiculaire |
|||||||||
|
Incisive latérale |
Incisive centrale |
Première prémolaire |
|||||||
|
Oui N (%) |
55(93.2) |
4(6.8) |
1(1.3) |
77(98.7) |
0(0,0) |
2(2,3) |
|||
|
Non N (%) |
0(0) |
31(100) |
9(75) |
3(25) |
2(100,0) |
86(97,7) |
|||
|
Largeur du sac folliculaire de la canine incluse |
NA |
NA |
NA |
||||||
|
Grade 1 |
6(18.2) |
27(81.8) |
0(0,0) |
33(100) |
0(0) |
33(100) |
|||
|
Grade 2 |
17(85) |
3(15) |
0(0,0) |
20(100) |
1(5.0) |
19(95) |
|||
|
Grade 3 |
30(85.7) |
5(14.3) |
9(25.7) |
26(74.3) |
1(2.9) |
34(97.1) |
|||
|
Grade 4 |
2(100) |
0(0) |
1(50) |
1(50) |
0(0,0) |
2(100) |
|||
Tableau IV: Facteurs associés à la résorption radiculaire des dents adjacentes: (Analyse univariée).
Il y a une association significative entre l’âge et la résorption radiculaire au niveau des incisives latérales (p<10-3).
Les patients ayant un contact entre la canine incluse et les incisives sont plus susceptibles d’avoir une résorption radiculaire (p<10-3).
L’association est positive et statistiquement significative entre la résorption radiculaire de l’incisive latérale et la position de la canine incluse dans le sens mésio-distale (p ≤ 10-3).
Il n'y avait pas d’association entre la résorption radiculaire des dents adjacentes et les facteurs suivants :
- - Le sexe,
- - Le type et le côté d’inclusion,
- - La position de la canine maxillaire incluse dans le sens V°P,
- - Le grade des follicules.
|
P |
Odds Ratio (OR) |
IC 95% d’OR |
||
|
Angle α |
0,023 |
1.059 |
[1,008, 1,112] |
|
|
Age |
<10-3 |
1.927 |
[1,394, 2,6 |
|
|
La position de la canine dans le sens M°D |
Secteur I/II (référence) |
- |
- |
- |
|
Secteur III/IV |
0,004 |
8,591 |
[1,997, 36,951] |
|
|
Secteur I (référence) |
- |
- |
- |
|
|
Secteur II |
0.206 |
- |
- |
|
|
Secteur III |
0.009 |
12.001 |
[1.851, 77,797] |
|
|
Secteur IV |
0.029 |
6.148 |
[1,203, 31,421] |
|
Tableau V: Les facteurs de risque de la résorption radiculaire (Analyse multivariées) par le modèle: Régression logistique binaire.
2- Régression logistique binaire
Parmi les 12 variables retenues dans le modèle de prédiction multivariée final (tableau XVIII), l’âge, l’angle α et l’analyse sectorielle de Lindauer sont de puissants prédicteurs de la RR (Tableau V)
- • La formule de prédiction de la probabilité de présence d'une RR :
Probabilité de RR = 1/(1+exp-µ)
Avec l’équation de la fonction discriminante :
µ = -12,973+(0.656*âge) + (0.057*angle α)+ (2.151*la position de la canine dans le sens M°D)
• Angle α = valeur angulaire
• La position de la canine dans le sens M°D = 1 si la canine est en secteur III ou IV et = 0 si la canine est en secteur I ou II
Pour évaluer les performances de ce modèle, nous avons tracé une courbe ROC en utilisant différents seuils de classification, afin de déterminer la capacité du modèle à discriminer les cas de résorption radiculaire de manière efficace.
Le coefficient de détermination entre l’équation de la fonction discriminante et la résorption radiculaire réel a été estimé à R2 = 0.650
L’analyse de la courbe ROC a révélé que l’aire sous la courbe était bon 92,2%.
La valeur seuil limite (cut off point) donnant à la fois la meilleure sensibilité (90,9%) et la meilleure spécificité (82,9%) a été sélectionnée pour une valeur de (-0,1625) (Fig 16).
La fonction discriminante était statistiquement significative (p < 0,001). La formule avait correctement prédit la RR chez 86,7% des sujets.
|
Fig 16: La Courbe ROC du modèle de prédiction final issu de l’analyse multivariée. |
DISCUSSION
Outre les troisièmes molaires, l'impaction des canines maxillaires est le trouble d'éruption le plus fréquent en denture permanente avec une prévalence variant 1,7 à 5,4% dans la population générale et diffère selon les différentes populations (1).
Résorptions radiculaires
1. Prévalence de la résorption radiculaire :
Nos résultats indiquent un taux de 61,1% de canines incluses qui provoquaient une RR des dents adjacentes, comme révélé dans le tableau III.
Cette proportion est plus élevée que celle observée dans la population chinoise et française, où les taux étaient respectivement de 50,7% et 48,2% (13,14).
Cependant, elle est inférieure à l'incidence de la résorption des dents adjacentes observée dans la population jordanienne et américaine, qui était de 74% et 77,8%, respectivement (15,16).
Par ailleurs, la prévalence des dents adjacentes touchées est de 24,9% dans notre échantillon. Cette incidence est inférieure aux taux rapportés dans la littérature.
Ces variations pourraient être dues à des différences dans les échantillons de population, les méthodologies d'évaluation ou d'autres facteurs spécifiques à chaque étude.
2. Sévérité de la résorption radiculaire :
Du côté de la « canine incluse », on a constaté que 59,6% des résorptions radiculaires étaient légères, alors que seulement 34,6% étaient modérée (Tableau III).
Cette prédominance de résorptions légères excède les résultats d’une méta-analyse de 2018 portant sur 18 études, concluant que les résorptions radiculaires seraient majoritairement légères (43,2%), et sévères dans 30,9% des cas (17).
Ce résultat est en désaccord avec Ericson et Kurol (1987) (30) qui ont constaté que la moitié des incisives latérales résorbées et un sixième des incisives centrales des incisives centrales résorbées présentaient une RR sévère. Plus tard, Ericson et Kurol (2000) (18) ont rapporté un pourcentage encore plus élevé de RR sévère dans leur étude avec 60% des incisives latérales et 43 % des incisives centrales présentant une RR qui expose la pulpe.
3. Localisation de la résorption radiculaire :
Nos résultats montrent que les tiers apical et médian étaient les plus résorbés dans notre échantillon avec respectivement (56.4% ; 32.6%)
Cette constatation est en désaccord avec Ericson and Kurol (19) qui ont trouvé que 82% des incisives latérales était atteint au niveau du tiers médian et 13% au niveau apical.
Yan et coll ont constaté que dans population chinoise, le tiers apical était le plus atteint ce qui était cohérent avec nos résultats.
Contrairement aux populations de la race blanche, la prévalence de la RR au niveau du tiers médian était la plus importante tandis qu’une proportion minime se situait apicalement et cervicalement.
Ces divergences dans la prévalence des localisations de la RR entre différentes études pourraient résulter de variations dans les méthodologies d’imagerie utilisées, les critères de classification des résorptions ou des variations liées à l’ethnicité.
Les facteurs prédictifs de la résorption radiculaire
1. Le sexe
En étudiant la relation de causalité entre la résorption radiculaire des dents adjacentes et le sexe du patient, aucune corrélation significative entre le sexe des patients et la résorption radiculaire des dents adjacentes n’a été observée dans notre étude avec respectivement ( p=0,331 pour l’incisive latérale ); (p= 0,986 pour l’incisive centrale)(Tableau IV), qui sont conformes à ceux obtenus dans des différentes études pour lesquelles il n’y avait pas de différence significative entre les hommes et les femmes pour la prévalence de la résorption radiculaire (20,21).
En revanche, Ericsson 1987, Aberquan et coll (22) et Chaushu et coll (7) trouvent une association significative entre le sexe et la prévalence de la résorption radiculaire. cachuso trouve un risque 4,2 fois plus élevé de développer des résorptions radiculaires sévères auprès des individus de sexe féminin et Kim (19) un risque 4 fois plus important.
2. Age :
Dans notre étude, on a trouvé une association statistiquement significative (p<10-3) entre la RR des dents adjacentes et l’âge du patient, (tableau IV), ce qui est en désaccord avec Rafflenbeul et coll (23), Ericson et Kurol (24) et Lai et al. (7) qui ont démontré qu’il n’existe pas de corrélation entre l’âge du patient et la résorption radiculaire.
En outre l’analyse de régression logistique binaire a dévoilé une association significative entre 3 facteurs prédictifs et la RR des dents adjacentes : l’âge, l’inclinaison de la canine incluse par rapport à la ligne médiane (angle α)et sa position dans le sens M°D ce qui n’est pas le cas pour plusieurs auteurs.
D’après l’analyse multivariée, l’augmentation de l’âge d’un an est lié à une augmentation du risque de la RR presque de 2 fois (OR =1.927 p <10-3 ; IC à 95% d’OR [1,394 ,2,663] (Tableau V).
Il semble raisonnable de confirmer qu’un temps d’impaction important associé à une canine incluse presque horizontale, localisée en secteur III ou IV et en contact intime avec la dent adjacente pourrait induire la RR.
3. Position V°P de la canine incluse :
Dans notre étude, aucune association positive ou négative entre la présence de résorptions radiculaires au niveau des dents adjacentes et la position vestibulo-palatine de la canine n‘a été démontrée. Ce qui est en accord avec les résultats de Yan et coll et F. Rafflenbeul et coll. (2012) (Tableau IV) (11,23).
D’ailleurs selon Kim, en considérant la position de la racine de l'incisive latérale dans le logement de l'os alvéolaire, il est évident qu'il y a une plus grande zone d'os spongieux vers le côté palatin de la racine de l'incisive latérale qu'entre l'os cortical buccal et la racine. Par conséquent, lorsque la canine incluse est placée en position buccale, la dent incluse semble appliquer une plus grande force sur la racine de l'incisive latérale que lorsqu'elle est placée en position palatine, en raison de l'espace insuffisant.
4. Position M°D de la canine incluse :
Dans notre échantillon, les canines localisées dans les secteurs III et IV aient causé la RR des dents adjacentes dans une proportion significative, atteignant 70,9%.
Une différence statistiquement significative a été observée entre les cas présentant la RR au niveau des incisives lorsque la canine était localisée en secteur I et II par rapport à ceux en secteur III et IV (p =0.004) (Tableau IV).
Ces observations sont cohérentes avec les résultats obtenus dans des études antérieures sur la population asiatique (25,14,11).
Selon Rafflenbeul et coll. (23), la gravité du déplacement, mesurée par la position de la couronne de la canine dans les secteurs I à IV, était significativement associée à la RR des incisives latérales uniquement, avec un risque plus élevé de développement de la RR lorsque la canine est localisée en secteurs III et IV.
L'analyse multivariée dans votre étude a révélé qu'une canine incluse localisée en secteur III ou IV augmente 8 fois le risque de RR par rapport à une canine localisée en secteur I et II (Tableau V).
Des études antérieures telles que celle d'Ericsson et Kurol (26) ont également confirmé cette observation en montrant qu'une superposition de ≥ 50% entre la canine incluse et l'incisive latérale (secteur III et IV) augmentait le risque de la RR.
Ces constatations renforcent l'idée que la position et la superposition des canines incluses par rapport aux dents adjacentes, en particulier dans les secteurs III et IV, jouent un rôle crucial dans le développement de la RR et justifie la demande du praticien pour le CBCT pour une démarche diagnostique plus approfondie et aider à planifier les interventions nécessaires pour minimiser ces complications.
5. Angulation de la canine incluse :
Nos résultats sont en accord avec les conclusions d'Ericsson et Kurol (1988) (26) concernant l'angle α, montrant qu'un angle ≥ 25° entre la canine incluse et la ligne médiane augmente le risque de la RR de 50%.
Il y avait des divergences avec les résultats de Lai et Lui, qui n'ont pas trouvé d'association significative entre l'inclinaison de la canine par rapport à la ligne médiane et la RR.
Dans notre étude, il est notable que, pour la première fois, nous avons développé une formule de prédiction de la RR à partir d'une analyse multivariée.
D'après cette analyse multivariée effectuée, l'angle α, l’âge et l'analyse sectorielle de Lindauer ont été identifié comme des facteur de risque potentiels associés à la RR des dents adjacentes avec respectivement (p=0.023, p<10-3 ; p= 0.004).
Cette analyse révèle un Odds Ratio (OR) de 1,059 pour l'angle α.
Cela signifie que pour chaque unité d'augmentation de l'angle α, le risque de RR des dents adjacentes augmente de 1,059 fois.
En revanche, Guarnieri (27) trouve que l'angle β est un facteur prédictif plus important que l'analyse sectorielle de Lindauer pour évaluer le risque de RR.
Selon ses constatations :
Un angle β supérieur à 54° est associé à Une canine localisée en secteur II, III ou IV accroît la probabilité de RR (>61%).
À l'inverse, un angle β inférieur à 18° associé à une canine en secteur I présente une probabilité de RR négligeable (<0.06%).
Ces résultats mettent en évidence l'importance de l'angle α , de la localisation des canines dans le sens M°D et un temps d’impaction important dans la prédiction de la RR. Ces conclusions peuvent aider les orthodontistes et les médecins dentistes à évaluer et à anticiper le risque de résorption chez les patients en se basant sur ces paramètres spécifiques.
6. Sac folliculaire de la canine maxillaire incluse et résorption radiculaire :
Notre étude n'a pas montré d’association significative entre la largeur du follicule dentaire des canines maxillaires incluses et la présence de RR au niveau des dents adjacentes ce qui est également cohérent avec les résultats rapportés dans la littérature (28,29).
Des études antérieures ont suggéré qu'un follicule dentaire hypertrophié ou actif et la pression causée par les canines maxillaires incluses étaient responsables de la résorption radiculaire des incisives maxillaires (5,30).
Cependant, dans une étude de tomodensitométrie réalisée par Ericson et coll. (5) (n=107 enfants), les auteurs ont confirmé que le follicule dentaire d'une canine incluse n'entraîne pas de résorption de l'incisive permanente adjacente, et la résorption ne semble pas liée à la largeur et à la forme du sac folliculaire.
Dans la même étude, le follicule semble provoquer la résorption du contour parodontal de l'incisive latérale pendant l'éruption et la résorption de la racine de la canine caduque sous-jacente (5).
Nos résultats sont cohérents avec ces données m
ontrant, par le biais de l'imagerie CBCT, que le follicule dentaire de la canine incluse peut fréquemment exposer les racines des incisives maxillaires en raison de son guidage au cours de l'éruption et ce en détruisant les contours parodontaux sans résorber les tissus durs des racines des incisives (5,30).
Un lien de causalité entre l'élargissement des follicules dentaires et la résorption radiculaire a été discuté.
Ericson et Kurol ont rapporté une incidence de follicules hypertrophiés dans 23% des cas. Ils ont également comparé le groupe présentant des résorptions radiculaires à un groupe contrôle avec des canines incluses qui n'ont pas causé de RR de l'incisive, ce qui leur a permis de conclure que l'élargissement folliculaire n'était pas un facteur étiologique (19,30).
En effet, ce follicule peut empêcher le contact direct entre l'émail de la canine et le cément de la racine de l'incisive. Des études morphologiques et histologiques ont
montré que le follicule dentaire de la canine expose souvent la racine de l'incisive adjacente pendant l'éruption sans résorber le cément ni les tissus durs de celle-ci si l'éruption se déroule normalement (19,31).
Le mécanisme de la RR suite à une inclusion canine et les facteurs impliqués dans le processus ne sont pas clairs. Les résorptions peuvent être causées par une pression physique due à la migration de la canine incluse (31,32). Lors de l'éruption de la canine maxillaire, la barrière alvéolaire de l'incisive adjacente sera temporairement résorbée (5) et la couche protectrice normale de cémentoblastes et de fibres de collagène disparaîtra et s'ouvrira pour les dentinoclastes.
D’autres auteurs pensent que les cavités sur les racines des incisives permanentes causées par la résorption se sont produites à proximité des follicules et des couronnes des canines en éruption. Sur le site de résorption, le follicule dentaire de la canine était mince ou manquant, mais par ailleurs élargi.
Lorsqu'il y avait un espace dans le follicule entre la racine nue de l'incisive et la couronne de la canine, la racine de l'incisive n'était pas résorbée. La taille et la forme du follicule en dehors de la zone de contact ne diffèrent pas entre les cas où la racine est résorbée et ceux où elle ne l'est pas. Ce résultat suggère que d'autres facteurs impliqués dans le processus d'éruption, et non pas le follicule dentaire, sont à l'origine de la résorption de la racine de l'incisive.
7. Contact physique entre canine incluse et dents adjacentes :
Dans notre étude, la présence de RR au niveau de l’incisive centrale et latérale était significativement corrélée avec une relation de contact entre les canines maxillaires incluses et les dents adjacentes avec (p<10-3) (Tableau IV).
Cette relation de contact (la proximité physique de moins de 1 mm), est conforme à ce qui a été rapporté dans la littérature comme le plus grand facteur prédictif d’apparition de RR (23,11). Ces résultats sont confirmés par la méta-analyse de Schroder et coll. qui révèle que la RR des incisives maxillaires est corrélée à leur contact avec les canines maxillaires lors de leur éruption (6).
Selon Yan et coll. (11), les mécanismes biologiques expliquant pourquoi la proximité physique augmente le risque de résorption radiculaire n’ont pas été étudiés de façon systématique. Dans leur étude, une mesure "en contact" a été attribuée lorsque les limites de la couronne de la canine incluse et de la racine adjacente étaient à moins de 1 mm.
Un critère pratique pour les mesures quantitatives à partir d'images CBCT et cliniquement acceptable.
Cette proximité < 1 mm permet de supposer que la RR au niveau des racines adjacentes pourrait être causée par des dommages physiques directs, une pression accrue au niveau du cément et de la dentine, ou de la présence de molécules résorptives concentrées provenant du follicule de la canine en éruption.
Parce que nos images radiologiques ne peuvent pas refléter les détails cellulaires et moléculaires, ces mécanismes potentiels restent conjecturels jusqu'à ce qu'ils soient confirmés par de futures études histologiques et biologiques (11).
La relation étroite entre le contact physique entre la couronne de la canine incluse et la RR des dents adjacentes indique que la couronne est responsable de l'éruption. Grâce au traitement orthodontique, il est bien connu que la pression physique sur les tissus durs induit une activité cellulaire dans la membrane parodontale et la formation de dentinoclastes et d'ostéoclastes.
Ces observations vérifient indirectement la théorie selon laquelle la pression active pendant l'éruption de la dent permanente, en tant que partie du mécanisme éruptif, est le facteur qui déclenche la résorption de la racine de l'incisive. La forte association entre la résorption de la racine de l'incisive et le contact avec la canine adjacente en éruption, constatée dans cette étude, soutient cette théorie.
CONCLUSION
Notre étude a montré qu’un temps d’inclusion important associé à une angulation accentuée de la canine incluse , localisée en secteur III ou IV ou encore un contact physique entre la canine incluse et la dent adjacente sont des facteurs de risque de la résorption radiculaire.
La demande du CBCT est justifiée à l’association de ces facteurs de risque.
Une surveillance régulière des canines incluses et l'évaluation des facteurs de risque de la résorption radiculaire, associées à un traitement interceptif adéquat, peuvent constituer une alternative à un traitement compliqué ultérieur. Et un bon pronostic pour les dents adjacentes.
BIBLIOGRAPHIE
1. Mitsea A, Palikaraki G, Karamesinis K, Vastardis H, Gizani S, Sifakakis I. Evaluation of lateral incisor resorption caused by impacted maxillary canines based on CBCT: a systematic review and meta-analysis.
Children (Basel) 2022;9:1006.
2. Shafer WG, Hine MK, Levy BM.
A textbook of oral pathology, 4th edition.
Philadelphia: WB Saunders; 1984.
3. Arens DE.
An alternative treatment for severely resorbed maxillary lateral incisor: A sequela of ectopic eruption.
J Endod 1998;21:95-100.
4. Becker
The orthodontic treatment of impacted teeth, 2nd edition.
London: Informa Healthcare; 2007.
5. Ericson S, Bjerklin K, Falahat
Does the canine dental follicle cause resorption of permanent incisor roots? A computed tomographic study of erupting maxillary canines.
Angle Orthod 2002;72:95-104.
6. Schroder AG, Guariza-Filho O, De Araujo CM, Ruellas AC, Tanaka OM, Porporatti AL.
To what extent are impacted canines associated with root resorption of the adjacent tooth? A systematic review with meta-analysis.
J Am Dent Assoc 2018;149:765-77.
7. Lai CS, Bornstein MM, Mock L, Heuberger BM, Dietrich T, Katsaros C. Impacted maxillary canines and root resorptions of neighbouring teeth: A radiographic analysis using cone-beam computed tomography.
Eur J Orthod 2013;35:529-38
8. Lindauer SJ, Rubenstein LK, Hang WM, Anderson WC, Isaacson RJ.
Canine impaction identified early with panoramic radiographs.
J Am Dent Assoc 1992;123:91-7.
9. Warford JH, Grandhi RK, Tira DE.
Prediction of maxillary canine impaction using sectors and angular measurement.
Am J Orthod Dentofacial Orthop 2003;124:651-5
10. Chaushu S, Kaczor-Urbanowicz K, Zadurska M, Becker A. Predisposing factors for severe incisor root resorption associated with impacted maxillary canines.
Am J Orthod Dentofacial Orthop 2015;147:52-60.
11. Yan B, Sun Z, Fields H, Wang
Maxillary canine impaction increases root resorption risk of adjacent teeth: A problem of physical proximity.
Am J Orthod Dentofacial Orthop 2012;142:750-7.
12. Ericson S, Kurol
Resorption of incisors after ectopic eruption of maxillary canines: A CT study.
Angle Orthod 2000;70:415-23.
13. Cuminetti F, Boutin F, Frapier
Predictive factors for resorption of teeth adjacent to impacted maxillary canines.
Int Orthod 2017;15:54-68.
14. Liu D, Zhang W, Zhang Z, Wu Y, Ma
Localization of impacted maxillary canines and observation of adjacent incisor resorption with cone-beam computed tomography.
Oral Surg Oral Med Oral Pathol Oral Radiol Endod 2008;105:91-8.
15. Alemam AA, Abu Alhaija ES, Mortaja K, Al Tawachi
Incisor root resorption associated with palatally displaced maxillary canines: Analysis and prediction using discriminant function analysis.
Am J Orthod Dentofacial Orthop 2020;157:80-90.
16. Desmond JE, Glover
Estimating sample size in functional MRI (fMRI) neuroimaging studies: statistical power analyses.
J Neurosci Methods 2002;118:115–28.
17. Schroder AG, Guariza-Filho O, De Araujo CM, Ruellas AC, Tanaka OM, Porporatti AL. T
to what extent are impacted canines associated with root resorption of the adjacent tooth? A systematic review with meta-analysis. J Am Dent Assoc 2018;149:765-77.
18. Almuhtaseb E, Mao J, Mahony D, Bader R, Zhang
Three-dimensional localization of impacted canines and root resorption assessment using cone beam computed tomography.
J Huazhong Univ Sci Technolog Med Sci 2014;34:425-30.
19. Ericson S, Kurol
Incisor resorption caused by maxillary cuspids. A radiographic study.
Angle Orthod 1987;57:332-46.
20. da Silva Santos LM, Bastos LC, Oliveira-Santos C, Da Silva SJ, Neves FS, Campos PS.
Cone-beam computed tomography findings of impacted upper canines.
Imaging Sci Dent 2014;44:287-92.
21. Ucar FI, Çelebi AA, Tan E, Topcuoğlu T, Sekerci
Effects of impacted maxillary canines on root resorption of lateral incisors.
J Orofac Orthop 2017;78:233-40.
22. Alqerban A, Jacobs R, Lambrechts P, Loozen G, Willems
Root resorption of the maxillary lateral incisor caused by impacted canine: A literature review.
Clin Oral Invest 2009;13:247-55.
23. Rafflenbeul F, Gros CI, Lefebvre F, Bahi-Gross S, Maizeray R, Bolender Prevalence and risk factors of root resorption of adjacent teeth in maxillary canine impaction, among untreated children and adolescents.
Eur J Orthod 2019;41:447-53.
24. Ericson S, Kurol J.
Incisor root resorptions due to ectopic maxillary canines imaged by computerized tomography: A comparative study in extracted teeth. Angle Orthod 2000;70:276-83.
25. Kim Y, Hyun HK, Jang
The position of maxillary canine impactions and the influenced factors to adjacent root resorption in the Korean population.
Eur J Orthod 2012;34:301-6.
26. Ericson S, Kurol
Resorption of maxillary lateral incisors caused by ectopic eruption of the canines: A clinical and radiographic analysis of predisposing factors.
Am J Orthod Dentofacial Orthop 1988;94:503-13.
27. Guarnieri R, Cavallini C, Vernucci R, Vichi M, Leonardi R, Barbato Impacted maxillary canines and root resorption of adjacent teeth: A retrospective observational study.
Med Oral Patol Oral Cir Bucal 2016;21:743-50.
28. Cahill
Eruption pathway formation in the presence of experimental tooth impaction in puppies.
Anat Rec 1969 164:67-78.
29. Marks SC, Schroeder HE, Andreasen
Theories and mechanisms of tooth eruption.
In: Andreasen JO, Kölsen-Pedersen J, Laskin DM, editors. Textbook and Color Atlas of Tooth Impactions.
30. Ericson S, Kurol
Radiographic examination of ectopically erupting maxillary canines.
Am J Orthod Dentofacial Orthop 1987;91:483-92.
31. Ericson S, Kurol
CT diagnosis of ectopically erupting maxillary canines - a case report.
Eur J of Orthod 1988;10:115-21.
32. Fricain JC, Bodard AG, Boisramé S, Cousty S, Lesclous
Référentiel internat - Chirurgie orale.
Paris: Espace ID; 2017.























